| UNIPROT | Q6IE75 |
| Иммуноген | RPB812Ra01-Recombinant Beta Secretase 2 (BACE2) |
Polyclonal Antibody to Beta Secretase 2 (BACE2) (PAB812Ra01)
Реактивность подтвержденная:
крыса
Источник (хозяин):
кролик
Валидировано для:
IHC
WB
Характеристики
Техническое описание
| Русское название | PAB812Ra01 Поликлональное антитело к BACE2 (крыса) <Cloud-Clone,Китай> |
| Каталожный номер | PAB812Ra01 |
| Название антигена | Beta-Site APP Cleaving Enzyme 2 (bACE2) |
| UNIPROT | Q6IE75 |
| Иммуноген | RPB812Ra01-Recombinant Beta Secretase 2 (BACE2) |
| Английские синонимы | AEPLC, ALP56, ASP1, ASP21, BAE2, CDA13, CEAP1, DRAP, Beta-Secretase 2, Aspartic-like protease 56 kDa, Aspartyl protease 1, Down region aspartic protease, Memapsin-1 |
Реактивность подтвержденная Нужна другая реактивность? |
крыса |
| Реактивность предсказываемая | человек, мышь |
| Источник (хозяин) | кролик |
| Клональность | поликлональное |
| Рекомбинантное | нет |
| Готовое к использованию | нет |
| Концентрация | 0.5 мг/мл |
| Конъюгат | По запросу: HRP, biotin, PerCP, PE, Cy3, FITC, Cy7, Cy5.5, PE-Cy5, PE-Cy7, PerCp-Cy5.5, APC, Cy5, PE-Cy3, PE-Cy5.5, APC-Cy7, Biotin-APC, FITC-Biotin, TRITC, APC-Cy5, AF488, AF594, AF405, AF555, AF700, AF647, AF750 |
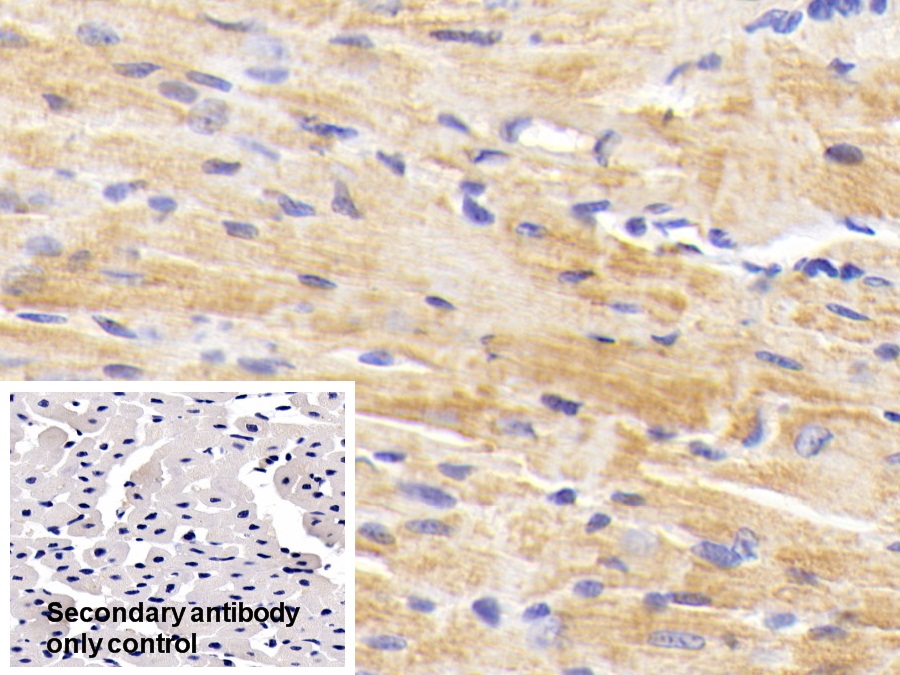
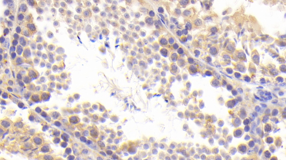
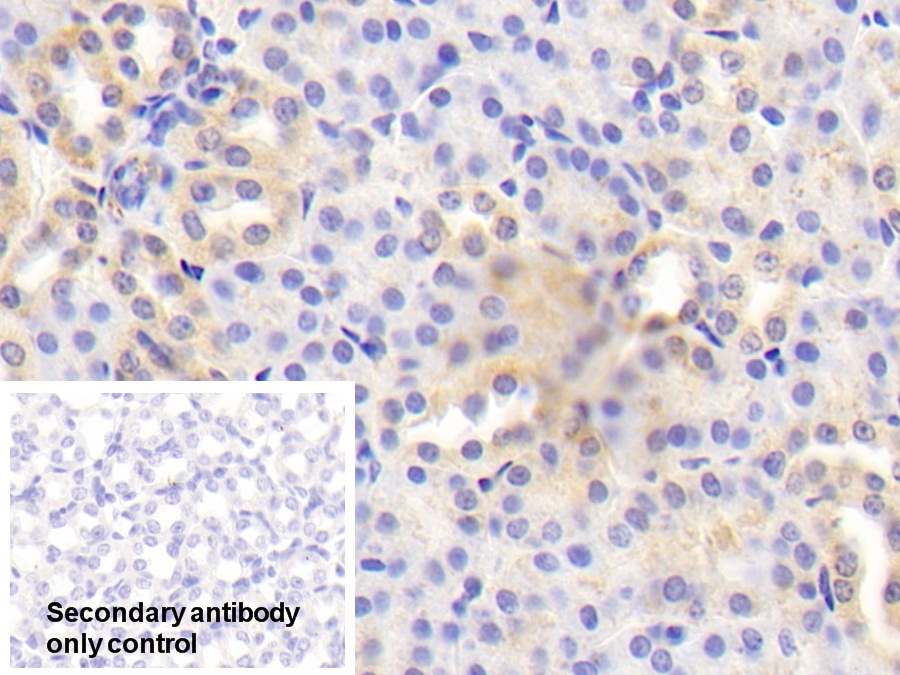
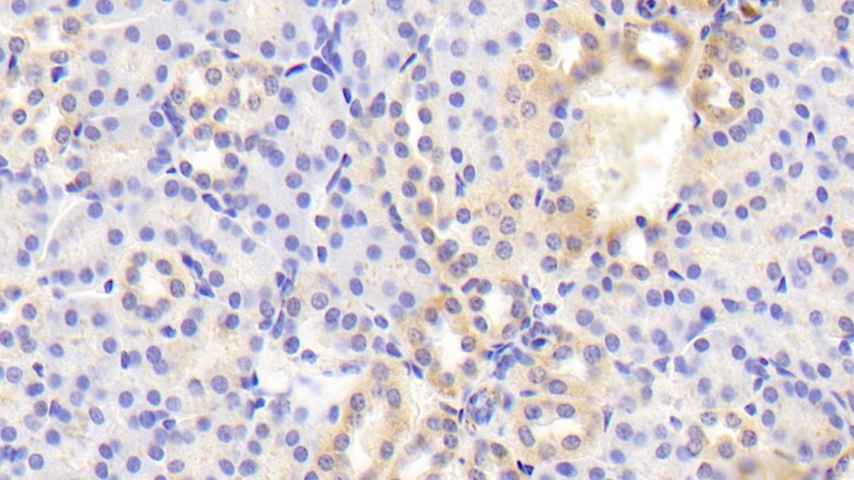
| Валидировано для | IHC WB Иммуногистохимия; Вестерн-блоттинг |
| Рекомендуемые разведения | WB: 0.01-2 мкг/мл; IHC: 5-20 мкг/мл; Оптимальное разведение определяется конечным потребителем |
| Метод очистки | Антигенспецифическая аффинная хроматография с последующей аффинной хроматографией с белком А |
| Состав буфера | 0.01M PBS, pH7.4, 0.05% Proclin-300, 50% глицерин |
| Условия доставки | термобокс с аккумуляторами холода |
| Условия хранения | Сразу после получения аликвотировать и хранить при -20ºС до 24 месяцев. Для частого использования хранить при +4ºС не более 2 недель. Избегать повторения циклов замерзания/оттаивания |
| Срок хранения | 24 месяца |
| Производитель | Cloud-Clone Corp. |
| Ссылка на страницу товара на сайте производителя | http://www.cloud-clone.com/products/PAB812Ra01.html |
|
Артикул
|
Наименование |
Производитель
|
|---|
|
Артикул
|
Наименование |
Производитель
|
|---|
|
Артикул
|
Наименование |
Производитель
|
|---|
|
Артикул
|
Наименование |
Производитель
|
|---|
Акции и предложения
Популярные продукты:
Anti-Transferrin Receptor (TFR) Monoclonal Antibody (FAB171Hu08)
Источник (хозяин): мышь
Реактивность подтвержденная: человек
Валидировано для: FCM
Реактивность подтвержденная: человек
Валидировано для: FCM
Bovine Cadherin 18(CDH18) ELISA kit (E11C1539)
Организм: корова
Sheep Serpin B10(SERPINB10) ELISA kit (E14S0360)
Организм: овца
Canine Serpin B10(SERPINB10) ELISA kit (E08S0360)
Организм: собака
Goat Serpin B10(SERPINB10) ELISA kit (E06S0360)
Организм: коза
Human Serpin B10(SERPINB10) ELISA kit (E01S0360)
Организм: человек
Диапазон определения: 250-5000 пг/мл
Чувствительность: 1 пг/мл
Диапазон определения: 250-5000 пг/мл
Чувствительность: 1 пг/мл

