| UNIPROT | Q93088 |
| Иммуноген | RPG464Hu01-Recombinant Betaine Homocysteine Methyltransferase (BHMT) |
Polyclonal Antibody to Betaine Homocysteine Methyltransferase (BHMT) (PAG464Hu01)
Реактивность подтвержденная:
человек
Источник (хозяин):
кролик
Валидировано для:
FCM
IHC
WB
Характеристики
Техническое описание
| Русское название | PAG464Hu01 Поликлональное антитело к BHMT (человек) <Cloud-Clone,Китай> |
| Каталожный номер | PAG464Hu01 |
| Название антигена | Betaine Homocysteine Methyltransferase (BHMT) |
| UNIPROT | Q93088 |
| Иммуноген | RPG464Hu01-Recombinant Betaine Homocysteine Methyltransferase (BHMT) |
| Английские синонимы | Betaine—homocysteine S-methyltransferase |
Реактивность подтвержденная Нужна другая реактивность? |
человек |
| Реактивность предсказываемая | мышь, крыса |
| Источник (хозяин) | кролик |
| Клональность | поликлональное |
| Рекомбинантное | нет |
| Готовое к использованию | нет |
| Концентрация | 0.5 мг/мл |
| Конъюгат | По запросу: HRP, biotin, PerCP, PE, Cy3, FITC, Cy7, Cy5.5, PE-Cy5, PE-Cy7, PerCp-Cy5.5, APC, Cy5, PE-Cy3, PE-Cy5.5, APC-Cy7, Biotin-APC, FITC-Biotin, TRITC, APC-Cy5, AF488, AF594, AF405, AF555, AF700, AF647, AF750 |
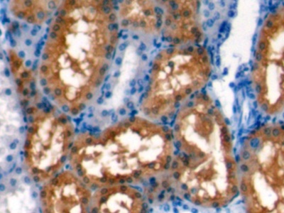
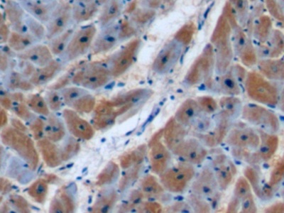
| Валидировано для | FCM IHC WB Проточная цитометрия; Иммуногистохимия; Вестерн-блоттинг |
| Рекомендуемые разведения | WB: 0.01-2 мкг/мл; IHC: 5-20 мкг/мл; ICC: 5-20 мкг/мл; FCM: 20 мкг/мл; Оптимальное разведение определяется конечным потребителем |
| Метод очистки | Антигенспецифическая аффинная хроматография с последующей аффинной хроматографией с белком А |
| Состав буфера | PBS, pH7.4, 0.02% NaN3, 50% глицерин |
| Условия доставки | термобокс с аккумуляторами холода |
| Условия хранения | Сразу после получения аликвотировать и хранить при -20ºС до 24 месяцев. Для частого использования хранить при +4ºС не более 2 недель. Избегать повторения циклов замерзания/оттаивания |
| Срок хранения | 24 месяца |
| Производитель | Cloud-Clone Corp. |
| Ссылка на страницу товара на сайте производителя | http://www.cloud-clone.com/products/PAG464Hu01.html |
|
Артикул
|
Наименование |
Производитель
|
|---|
|
Артикул
|
Наименование |
Производитель
|
|---|
Акции и предложения
Популярные продукты:
ELISA Kit DIY Materials for Interleukin 31 (IL31) (KSB179Mu01)
Организм: мышь
Диапазон определения: 6.25-400 пг/мл
Чувствительность: 2.36 пг/мл
Диапазон определения: 6.25-400 пг/мл
Чувствительность: 2.36 пг/мл
Monoclonal Antibody to Cystatin 6 (CST6) (MAJ326Hu25)
Источник (хозяин): мышь
Реактивность подтвержденная: человек
Валидировано для: WB
Реактивность подтвержденная: человек
Валидировано для: WB
Monoclonal Antibody to Cystatin 6 (CST6) (MAJ326Hu24)
Источник (хозяин): мышь
Реактивность подтвержденная: человек
Валидировано для: WB
Реактивность подтвержденная: человек
Валидировано для: WB
Monoclonal Antibody to Cluster Of Differentiation 1a (CD1a) (MAB175Hu26)
Источник (хозяин): мышь
Реактивность подтвержденная: человек
Валидировано для: ICC, IF
Реактивность подтвержденная: человек
Валидировано для: ICC, IF
Porcine Endoribonuclease Dicer ELISA Kit (E07D0330)
Организм: свинья
Guinea Pig Astrotactin 1(ASTN1) ELISA kit (E05A1733)
Организм: морская свинка

