| UNIPROT | P21810 |
| Иммуноген | RPJ226Hu02-Recombinant Biglycan (BGN) |
Polyclonal Antibody to Biglycan (BGN) (PAJ226Hu02)
Реактивность подтвержденная:
человек
Источник (хозяин):
кролик
Валидировано для:
IHC
WB
Характеристики
Техническое описание
| Русское название | PAJ226Hu02 Поликлональное антитело к BGN (человек) <Cloud-Clone,Китай> |
| Каталожный номер | PAJ226Hu02 |
| Название антигена | Biglycan (BGN) |
| UNIPROT | P21810 |
| Иммуноген | RPJ226Hu02-Recombinant Biglycan (BGN) |
| Английские синонимы | DSPG1, PG-S1, PGI, SLRR1A, Biglycan Proteoglycan, Bone/cartilage proteoglycan I |
Реактивность подтвержденная Нужна другая реактивность? |
человек |
| Реактивность предсказываемая | мышь, крыса, свинья |
| Источник (хозяин) | кролик |
| Клональность | поликлональное |
| Рекомбинантное | нет |
| Готовое к использованию | нет |
| Концентрация | 0.24 мг/мл |
| Конъюгат | По запросу: HRP, biotin, PerCP, PE, Cy3, FITC, Cy7, Cy5.5, PE-Cy5, PE-Cy7, PerCp-Cy5.5, APC, Cy5, PE-Cy3, PE-Cy5.5, APC-Cy7, Biotin-APC, FITC-Biotin, TRITC, APC-Cy5, AF488, AF594, AF405, AF555, AF700, AF647, AF750 |
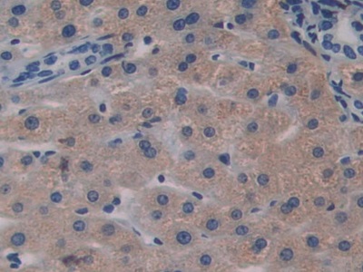
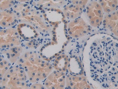
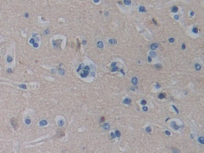
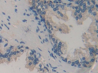
| Валидировано для | IHC WB Иммуногистохимия; Вестерн-блоттинг |
| Рекомендуемые разведения | WB: 0.01-5 мкг/мл; IHC: 5-50 мкг/мл; ICC: 5-50 мкг/мл; Оптимальное разведение определяется конечным потребителем |
| Метод очистки | Антигенспецифическая аффинная хроматография с последующей аффинной хроматографией с белком А |
| Состав буфера | PBS, pH7.4, 0.02% NaN3, 50% глицерин |
| Условия доставки | термобокс с аккумуляторами холода |
| Условия хранения | Сразу после получения аликвотировать и хранить при -20ºС до 24 месяцев. Для частого использования хранить при +4ºС не более 2 недель. Избегать повторения циклов замерзания/оттаивания |
| Срок хранения | 24 месяца |
| Производитель | Cloud-Clone Corp. |
| Ссылка на страницу товара на сайте производителя | http://www.cloud-clone.com/products/PAJ226Hu02.html |
|
Артикул
|
Наименование |
Производитель
|
|---|
|
Артикул
|
Наименование |
Производитель
|
|---|
|
Артикул
|
Наименование |
Производитель
|
|---|
|
Артикул
|
Наименование |
Производитель
|
|---|
|
Артикул
|
Наименование |
Производитель
|
|---|
Акции и предложения
Популярные продукты:
PARK7 Mouse Monoclonal Antibody (BF9398)
Источник (хозяин): мышь
Реактивность подтвержденная: человек, мышь, крыса
Валидировано для: WB
Реактивность подтвержденная: человек, мышь, крыса
Валидировано для: WB
Anti-Vitamin D Binding Protein (DBP) Polyclonal Antibody (FAB810Hu01)
Источник (хозяин): кролик
Реактивность подтвержденная: человек
Валидировано для: FCM
Реактивность подтвержденная: человек
Валидировано для: FCM
Rabbit Eosinophil peroxidase(EPX) ELISA kit (E04E0383)
Организм: кролик
Rabbit Fibrinogen Like Protein 1 ELISA kit (E04F0080)
Организм: кролик
Recombinant Human ITM2B Protein (His Tag) (PKSH032599)
Источник (хозяин): HEK293
Организм: человек
Фрагмент: Tyr76-Ser266
Теги: C-His
Биоактивность: нет
Организм: человек
Фрагмент: Tyr76-Ser266
Теги: C-His
Биоактивность: нет
Recombinant Human KLK10 Protein (His Tag) (PDEH100680)
Источник (хозяин): E.coli
Организм: человек
Фрагмент: Ala31-Asn276
Теги: N-His
Биоактивность: нет
Организм: человек
Фрагмент: Ala31-Asn276
Теги: N-His
Биоактивность: нет

