| UNIPROT | O70418 |
| Иммуноген | RPB093Ra01-Recombinant Brain Finger Protein (BFP) |
Polyclonal Antibody to Brain Finger Protein (BFP) (PAB093Ra01)
Реактивность подтвержденная:
крыса
Источник (хозяин):
кролик
Валидировано для:
IHC
WB
Характеристики
Техническое описание
| Русское название | PAB093Ra01 Поликлональное антитело к BFP (крыса) <Cloud-Clone,Китай> |
| Каталожный номер | PAB093Ra01 |
| Название антигена | Brain Finger Protein (BFP) |
| UNIPROT | O70418 |
| Иммуноген | RPB093Ra01-Recombinant Brain Finger Protein (BFP) |
| Английские синонимы | RNF179, RNF112, Ring Finger Protein 179, Ring Finger Protein 112 |
Реактивность подтвержденная Нужна другая реактивность? |
крыса |
| Источник (хозяин) | кролик |
| Клональность | поликлональное |
| Рекомбинантное | нет |
| Готовое к использованию | нет |
| Концентрация | 500 мкг/мл |
| Конъюгат | По запросу: HRP, biotin, PerCP, PE, Cy3, FITC, Cy7, Cy5.5, PE-Cy5, PE-Cy7, PerCp-Cy5.5, APC, Cy5, PE-Cy3, PE-Cy5.5, APC-Cy7, Biotin-APC, FITC-Biotin, TRITC, APC-Cy5, AF488, AF594, AF405, AF555, AF700, AF647, AF750 |
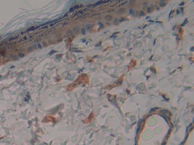
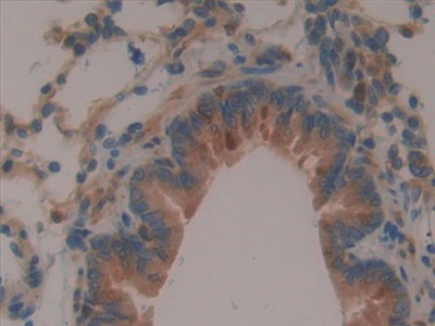
| Валидировано для | IHC WB Иммуногистохимия; Вестерн-блоттинг |
| Рекомендуемые разведения | WB: 0.5-5 мкг/мл; IHC: 5-20 мкг/мл; ICC: 5-20 мкг/мл; Оптимальное разведение определяется конечным потребителем |
| Метод очистки | Антигенспецифическая аффинная хроматография с последующей аффинной хроматографией с белком А |
| Состав буфера | 0.01M PBS, pH7.4, 0.05% Proclin-300, 50% глицерин |
| Условия доставки | термобокс с аккумуляторами холода |
| Условия хранения | Сразу после получения аликвотировать и хранить при -20ºС до 24 месяцев. Для частого использования хранить при +4ºС не более 2 недель. Избегать повторения циклов замерзания/оттаивания |
| Срок хранения | 24 месяца |
| Производитель | Cloud-Clone Corp. |
| Ссылка на страницу товара на сайте производителя | http://www.cloud-clone.com/products/PAB093Ra01.html |
|
Артикул
|
Наименование |
Производитель
|
|---|
|
Артикул
|
Наименование |
Производитель
|
|---|
|
Артикул
|
Наименование |
Производитель
|
|---|
Акции и предложения
Популярные продукты:
ELISA Kit DIY Materials for Early Endosome Antigen 1 (EEA1) (KSJ176Hu01)
Организм: человек
Диапазон определения: 0.312-20 нг/мл
Чувствительность: 0.113 нг/мл
Диапазон определения: 0.312-20 нг/мл
Чувствительность: 0.113 нг/мл
Rat Calponin 3(CNN3) ELISA kit (E02C1855)
Организм: крыса
Human Metaxin 2(MTX2) ELISA kit (E01M0407)
Организм: человек
Диапазон определения: 100-2500 пг/мл
Чувствительность: 1 пг/мл
Диапазон определения: 100-2500 пг/мл
Чувствительность: 1 пг/мл
Porcine Sialic Acid Binding Ig Like Lectin 6 ELISA kit (E07S0866)
Организм: свинья
Human Laminin Alpha 4 ELISA kit (E01L1216)
Организм: человек
Диапазон определения: 50 нг/мл
Диапазон определения: 50 нг/мл
Goat Thrombopoietin ELISA kit (E06T0059)
Организм: коза

