| UNIPROT | O88338 |
| Иммуноген | RPB998Mu01-Recombinant Cadherin 16 (CDH16) |
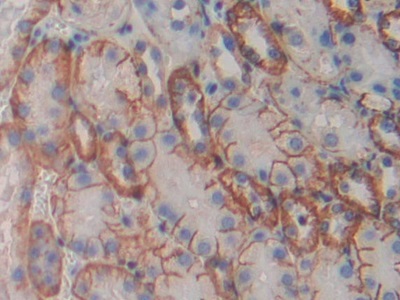
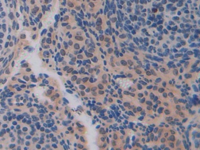
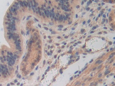
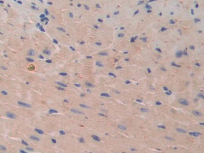
Polyclonal Antibody to Cadherin 16 (CDH16) (PAB998Mu01)
Реактивность подтвержденная:
мышь
Источник (хозяин):
кролик
Валидировано для:
IHC
WB
Характеристики
Техническое описание
| Русское название | PAB998Mu01 Поликлональное антитело к CDH16 (мышь) <Cloud-Clone,Китай> |
| Каталожный номер | PAB998Mu01 |
| Название антигена | Cadherin 16 (CDH16) |
| UNIPROT | O88338 |
| Иммуноген | RPB998Mu01-Recombinant Cadherin 16 (CDH16) |
| Английские синонимы | Cadherin,KSP, Kidney-specific cadherin |
Реактивность подтвержденная Нужна другая реактивность? |
мышь |
| Реактивность предсказываемая | крыса |
| Источник (хозяин) | кролик |
| Клональность | поликлональное |
| Рекомбинантное | нет |
| Готовое к использованию | нет |
| Концентрация | 0.5 мг/мл |
| Конъюгат | По запросу: HRP, biotin, PerCP, PE, Cy3, FITC, Cy7, Cy5.5, PE-Cy5, PE-Cy7, PerCp-Cy5.5, APC, Cy5, PE-Cy3, PE-Cy5.5, APC-Cy7, Biotin-APC, FITC-Biotin, TRITC, APC-Cy5, AF488, AF594, AF405, AF555, AF700, AF647, AF750 |
| Валидировано для | IHC WB Иммуногистохимия; Вестерн-блоттинг |
| Рекомендуемые разведения | WB: 0.01-2 мкг/мл; IHC: 5-20 мкг/мл; Оптимальное разведение определяется конечным потребителем |
| Метод очистки | Антигенспецифическая аффинная хроматография с последующей аффинной хроматографией с белком А |
| Состав буфера | 0.01M PBS, pH7.4, 0.05% Proclin-300, 50% глицерин |
| Условия доставки | термобокс с аккумуляторами холода |
| Условия хранения | Сразу после получения аликвотировать и хранить при -20ºС до 24 месяцев. Для частого использования хранить при +4ºС не более 2 недель. Избегать повторения циклов замерзания/оттаивания |
| Срок хранения | 24 месяца |
| Производитель | Cloud-Clone Corp. |
| Ссылка на страницу товара на сайте производителя | http://www.cloud-clone.com/products/PAB998Mu01.html |
|
Артикул
|
Наименование |
Производитель
|
|---|
|
Артикул
|
Наименование |
Производитель
|
|---|
Акции и предложения
Популярные продукты:
Human Platelet derived growth factor receptor A ELISA kit (E01P0032)
Организм: человек
Диапазон определения: 1-25 нг/мл
Чувствительность: 0.1 нг/мл
Диапазон определения: 1-25 нг/мл
Чувствительность: 0.1 нг/мл
Mouse Asprosin ELISA kit (E03A3100)
Организм: мышь
Recombinant Human ISG15/G1P2 Protein (mature form) (PKSH030785)
Источник (хозяин): E.coli
Организм: человек
Фрагмент: Met 1-Gly 157
Теги: без тега
Биоактивность: нет
Организм: человек
Фрагмент: Met 1-Gly 157
Теги: без тега
Биоактивность: нет
Recombinant Human ISG15/G1P2 Protein (PKSH030786)
Источник (хозяин): E.coli
Организм: человек
Фрагмент: Met 1-Ser 165
Теги: без тега
Биоактивность: нет
Организм: человек
Фрагмент: Met 1-Ser 165
Теги: без тега
Биоактивность: нет
Recombinant Human Retinol-Binding Protein 1/RBP1 Protein (PKSH032996)
Источник (хозяин): E.coli
Организм: человек
Фрагмент: Pro2-Gln135
Теги: без тега
Биоактивность: нет
Организм: человек
Фрагмент: Pro2-Gln135
Теги: без тега
Биоактивность: нет

