| UNIPROT | P05937 |
| Иммуноген | RPG438Hu01-Recombinant Calbindin (CALB) |
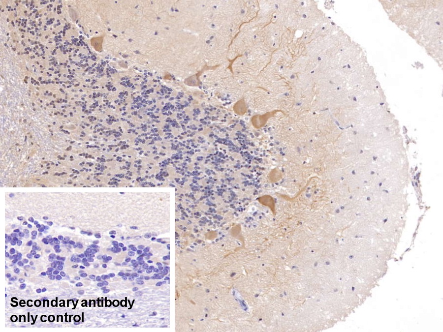
Polyclonal Antibody to Calbindin (CALB) (PAG438Hu01)
Реактивность подтвержденная:
человек
Источник (хозяин):
кролик
Валидировано для:
IHC
WB
Характеристики
Техническое описание
| Русское название | PAG438Hu01 Поликлональное антитело к CALB (человек) <Cloud-Clone,Китай> |
| Каталожный номер | PAG438Hu01 |
| Название антигена | Calbindin (CALB) |
| UNIPROT | P05937 |
| Иммуноген | RPG438Hu01-Recombinant Calbindin (CALB) |
| Английские синонимы | CAB27, Calbindin 1,28kDa, Calbindin D28, Vitamin D-dependent calcium-binding protein, avian-type |
Реактивность подтвержденная Нужна другая реактивность? |
человек |
| Реактивность предсказываемая | мышь, свинья |
| Источник (хозяин) | кролик |
| Клональность | поликлональное |
| Рекомбинантное | нет |
| Готовое к использованию | нет |
| Концентрация | 0.5 мг/мл |
| Конъюгат | По запросу: HRP, biotin, PerCP, PE, Cy3, FITC, Cy7, Cy5.5, PE-Cy5, PE-Cy7, PerCp-Cy5.5, APC, Cy5, PE-Cy3, PE-Cy5.5, APC-Cy7, Biotin-APC, FITC-Biotin, TRITC, APC-Cy5, AF488, AF594, AF405, AF555, AF700, AF647, AF750 |
| Валидировано для | IHC WB Иммуногистохимия; Вестерн-блоттинг |
| Рекомендуемые разведения | WB: 0.01-2 мкг/мл; IHC: 5-20 мкг/мл; ICC: 5-20 мкг/мл; Оптимальное разведение определяется конечным потребителем |
| Метод очистки | Антигенспецифическая аффинная хроматография с последующей аффинной хроматографией с белком А |
| Состав буфера | 0.01M PBS, pH7.4, 0.05% Proclin-300, 50% глицерин |
| Условия доставки | термобокс с аккумуляторами холода |
| Условия хранения | Сразу после получения аликвотировать и хранить при -20ºС до 24 месяцев. Для частого использования хранить при +4ºС не более 2 недель. Избегать повторения циклов замерзания/оттаивания |
| Срок хранения | 24 месяца |
| Производитель | Cloud-Clone Corp. |
| Ссылка на страницу товара на сайте производителя | http://www.cloud-clone.com/products/PAG438Hu01.html |
|
Артикул
|
Наименование |
Производитель
|
|---|
|
Артикул
|
Наименование |
Производитель
|
|---|
|
Артикул
|
Наименование |
Производитель
|
|---|
|
Артикул
|
Наименование |
Производитель
|
|---|
|
Артикул
|
Наименование |
Производитель
|
|---|
Акции и предложения
Популярные продукты:
Human 17 Alpha Hydroxylase ELISA kit (E01S0049)
Организм: человек
Диапазон определения: 1-25 нг/мл
Чувствительность: 0.1 нг/мл
Диапазон определения: 1-25 нг/мл
Чувствительность: 0.1 нг/мл
Anti-Calbindin Antibody (L109/87) (RHC18203)
Источник (хозяин): мышь
Реактивность подтвержденная: для всех
Валидировано для: IHC, WB
Реактивность подтвержденная: для всех
Валидировано для: IHC, WB
Anti-Calbindin Antibody (L109/39) (RHC18201)
Источник (хозяин): мышь
Реактивность подтвержденная: для всех
Валидировано для: IHC, WB
Реактивность подтвержденная: для всех
Валидировано для: IHC, WB
Anti-Human MSH6 IP Antibody (SAA0212) (RHE93101)
Источник (хозяин): мышь
Реактивность подтвержденная: человек
Валидировано для: ELISA, IF, IP
Реактивность подтвержденная: человек
Валидировано для: ELISA, IF, IP
Recombinant Human PLEK2 Protein, N-His (YHK45701)
Источник (хозяин): E.coli
Организм: человек
Фрагмент: Ser238-Thr353
Теги: N-His
Биоактивность: нет
Организм: человек
Фрагмент: Ser238-Thr353
Теги: N-His
Биоактивность: нет
Recombinant Human OTUB1 Protein, N-His (YHJ39401)
Источник (хозяин): E.coli
Организм: человек
Фрагмент: Met1-Lys271
Теги: N-His
Биоактивность: нет
Организм: человек
Фрагмент: Met1-Lys271
Теги: N-His
Биоактивность: нет

