| UNIPROT | O35350 |
| Иммуноген | RPB964Mu01-Recombinant Calpain 1 (CAPN1) |
Polyclonal Antibody to Calpain 1 (CAPN1) (PAB964Mu01)
Реактивность подтвержденная:
мышь
Источник (хозяин):
кролик
Валидировано для:
IHC
WB
Характеристики
Техническое описание
| Русское название | PAB964Mu01 Поликлональное антитело к CAPN1 (мышь) <Cloud-Clone,Китай> |
| Каталожный номер | PAB964Mu01 |
| Название антигена | Calpain 1, Large Subunit (CAPN1) |
| UNIPROT | O35350 |
| Иммуноген | RPB964Mu01-Recombinant Calpain 1 (CAPN1) |
| Английские синонимы | PIG30, CANPL1, MuCANP, MuCL, Calpain-1 Catalytic Subunit, Calcium-Dependent Protease 1, Calcium-activated neutral proteinase 1, Calpain mu-type, Micromolar-calpain |
Реактивность подтвержденная Нужна другая реактивность? |
мышь |
| Реактивность предсказываемая | человек, крыса |
| Источник (хозяин) | кролик |
| Клональность | поликлональное |
| Рекомбинантное | нет |
| Готовое к использованию | нет |
| Концентрация | 500 мкг/мл |
| Конъюгат | По запросу: HRP, biotin, PerCP, PE, Cy3, FITC, Cy7, Cy5.5, PE-Cy5, PE-Cy7, PerCp-Cy5.5, APC, Cy5, PE-Cy3, PE-Cy5.5, APC-Cy7, Biotin-APC, FITC-Biotin, TRITC, APC-Cy5, AF488, AF594, AF405, AF555, AF700, AF647, AF750 |
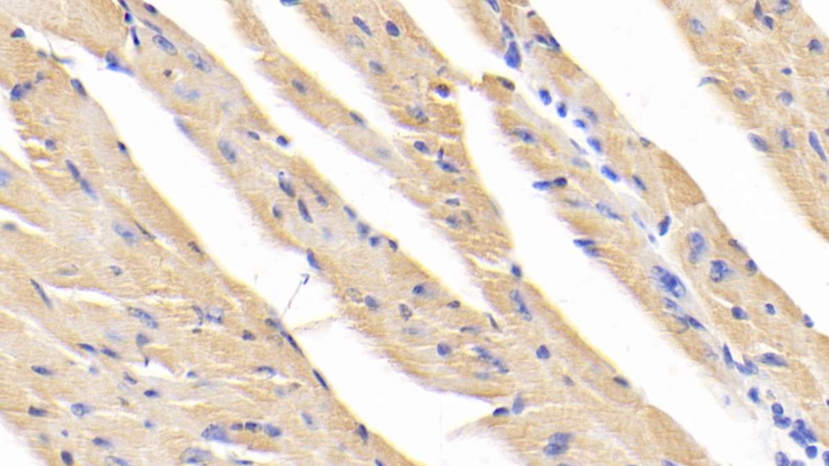
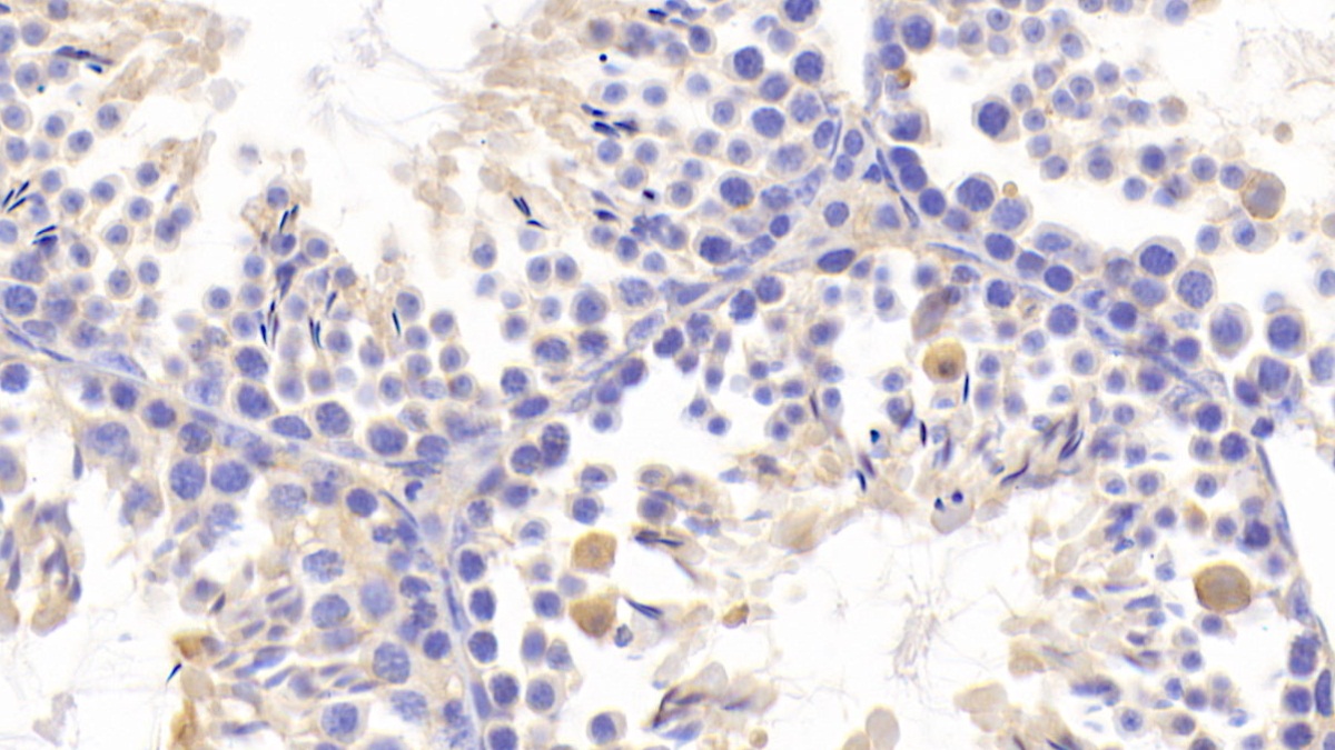
| Валидировано для | IHC WB Иммуногистохимия; Вестерн-блоттинг |
| Рекомендуемые разведения | WB: 0.2-2 мкг/мл; 1:250-2500; IHC: 5-20 мкг/мл; 1:25-100; ICC: 5-20 мкг/мл; 1:25-100; Оптимальное разведение определяется конечным потребителем |
| Метод очистки | Антигенспецифическая аффинная хроматография с последующей аффинной хроматографией с белком А |
| Состав буфера | 0.01M PBS, pH7.4, 0.05% Proclin-300, 50% глицерин |
| Условия доставки | термобокс с аккумуляторами холода |
| Условия хранения | Сразу после получения аликвотировать и хранить при -20ºС до 24 месяцев. Для частого использования хранить при +4ºС не более 2 недель. Избегать повторения циклов замерзания/оттаивания |
| Срок хранения | 24 месяца |
| Производитель | Cloud-Clone Corp. |
| Ссылка на страницу товара на сайте производителя | http://www.cloud-clone.com/products/PAB964Mu01.html |
|
Артикул
|
Наименование |
Производитель
|
|---|
|
Артикул
|
Наименование |
Производитель
|
|---|
|
Артикул
|
Наименование |
Производитель
|
|---|
|
Артикул
|
Наименование |
Производитель
|
|---|
|
Артикул
|
Наименование |
Производитель
|
|---|
Акции и предложения
Популярные продукты:
Monoclonal Antibody to Creatine Kinase, Muscle (CKM) (MAA109Hu26)
Источник (хозяин): мышь
Реактивность подтвержденная: человек
Валидировано для: ICC, IF
Реактивность подтвержденная: человек
Валидировано для: ICC, IF
Chicken Transcription factor HES 1(HES1) ELISA kit (E12T0619)
Организм: курица
Monkey Zinc transporter 5(SLC30A5) ELISA kit (E09Z0013)
Организм: обезьяна
Human Apelin receptor(APLNR) ELISA kit (E01A1593)
Организм: человек
Диапазон определения: 1-25 нг/мл
Чувствительность: 0.1 нг/мл
Диапазон определения: 1-25 нг/мл
Чувствительность: 0.1 нг/мл
Porcine Ring Finger Protein 4 ELISA kit (E07R0066)
Организм: свинья

