| UNIPROT | P97571 |
| Иммуноген | RPB964Ra02-Recombinant Calpain 1 (CAPN1) |
Polyclonal Antibody to Calpain 1 (CAPN1) (PAB964Ra02)
Реактивность подтвержденная:
крыса
Источник (хозяин):
кролик
Валидировано для:
IHC
WB
Характеристики
Техническое описание
| Русское название | PAB964Ra02 Поликлональное антитело к CAPN1 (крыса) <Cloud-Clone,Китай> |
| Каталожный номер | PAB964Ra02 |
| Название антигена | Calpain 1, Large Subunit (CAPN1) |
| UNIPROT | P97571 |
| Иммуноген | RPB964Ra02-Recombinant Calpain 1 (CAPN1) |
| Английские синонимы | PIG30, CANPL1, MuCANP, MuCL, Calpain-1 Catalytic Subunit, Calcium-Dependent Protease 1, Calcium-activated neutral proteinase 1, Calpain mu-type, Micromolar-calpain |
Реактивность подтвержденная Нужна другая реактивность? |
крыса |
| Реактивность предсказываемая | человек, мышь |
| Источник (хозяин) | кролик |
| Клональность | поликлональное |
| Рекомбинантное | нет |
| Готовое к использованию | нет |
| Концентрация | 0.5 мг/мл |
| Конъюгат | По запросу: HRP, biotin, PerCP, PE, Cy3, FITC, Cy7, Cy5.5, PE-Cy5, PE-Cy7, PerCp-Cy5.5, APC, Cy5, PE-Cy3, PE-Cy5.5, APC-Cy7, Biotin-APC, FITC-Biotin, TRITC, APC-Cy5, AF488, AF594, AF405, AF555, AF700, AF647, AF750 |
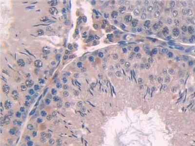
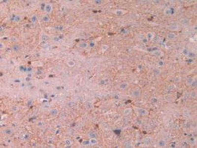
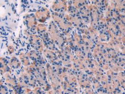
| Валидировано для | IHC WB Иммуногистохимия; Вестерн-блоттинг |
| Рекомендуемые разведения | WB: 0.5-2 мкг/мл; IHC: 5-20 мкг/мл; ICC: 5-20 мкг/мл; Оптимальное разведение определяется конечным потребителем |
| Метод очистки | Антигенспецифическая аффинная хроматография с последующей аффинной хроматографией с белком А |
| Состав буфера | 0.01M PBS, pH7.4, 0.05% Proclin-300, 50% глицерин |
| Условия доставки | термобокс с аккумуляторами холода |
| Условия хранения | Сразу после получения аликвотировать и хранить при -20ºС до 24 месяцев. Для частого использования хранить при +4ºС не более 2 недель. Избегать повторения циклов замерзания/оттаивания |
| Срок хранения | 24 месяца |
| Производитель | Cloud-Clone Corp. |
| Ссылка на страницу товара на сайте производителя | http://www.cloud-clone.com/products/PAB964Ra02.html |
|
Артикул
|
Наименование |
Производитель
|
|---|
|
Артикул
|
Наименование |
Производитель
|
|---|
|
Артикул
|
Наименование |
Производитель
|
|---|
|
Артикул
|
Наименование |
Производитель
|
|---|
|
Артикул
|
Наименование |
Производитель
|
|---|
Акции и предложения
Популярные продукты:
Anti-Klebsiella pneumoniae mrkA Antibody (SAb2298) (RXX26102)
Источник (хозяин): мышь
Реактивность подтвержденная: бактерии
Валидировано для: ELISA, IF, IP, WB
Реактивность подтвержденная: бактерии
Валидировано для: ELISA, IF, IP, WB
Bovine Matrilysin ELISA kit (E11M0234)
Организм: корова
Sheep Calpain 11(CAPN11) ELISA kit (E14C1355)
Организм: овца
Goat Wlims'tumor-1 ELISA Kit (E06W0020)
Организм: коза
Porcine Cullin 1(CUL1) ELISA kit (E07C2181)
Организм: свинья

