| UNIPROT | O14815 |
| Иммуноген | RPC962Hu01-Recombinant Calpain 9 (CAPN9) |
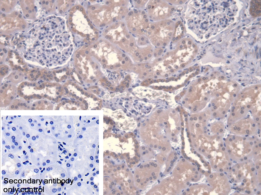
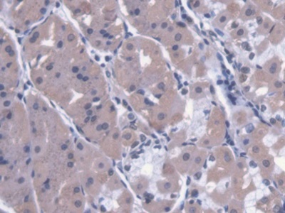
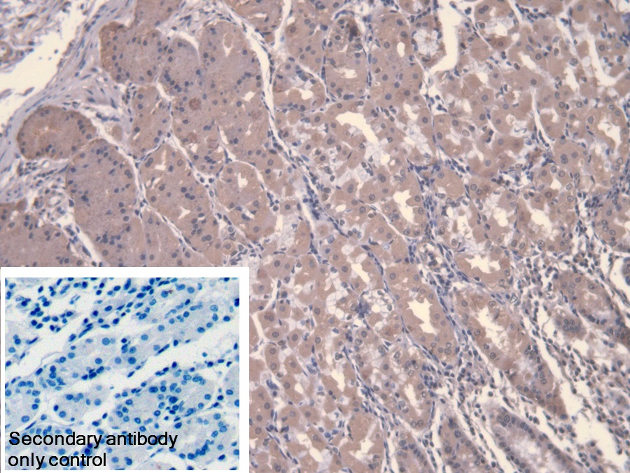
Polyclonal Antibody to Calpain 9 (CAPN9) (PAC962Hu01)
Реактивность подтвержденная:
человек
Источник (хозяин):
кролик
Валидировано для:
IHC
WB
Характеристики
Техническое описание
| Русское название | PAC962Hu01 Поликлональное антитело к CAPN9 (человек) <Cloud-Clone,Китай> |
| Каталожный номер | PAC962Hu01 |
| Название антигена | Calpain 9 (CAPN9) |
| UNIPROT | O14815 |
| Иммуноген | RPC962Hu01-Recombinant Calpain 9 (CAPN9) |
| Английские синонимы | GC36, nCL4, Novel Calpain Large Subunit-4, Digestive tract-specific calpain, New calpain 4 |
Реактивность подтвержденная Нужна другая реактивность? |
человек |
| Реактивность предсказываемая | свинья |
| Источник (хозяин) | кролик |
| Клональность | поликлональное |
| Рекомбинантное | нет |
| Готовое к использованию | нет |
| Концентрация | 0.5 мг/мл |
| Конъюгат | По запросу: HRP, biotin, PerCP, PE, Cy3, FITC, Cy7, Cy5.5, PE-Cy5, PE-Cy7, PerCp-Cy5.5, APC, Cy5, PE-Cy3, PE-Cy5.5, APC-Cy7, Biotin-APC, FITC-Biotin, TRITC, APC-Cy5, AF488, AF594, AF405, AF555, AF700, AF647, AF750 |
| Валидировано для | IHC WB Иммуногистохимия; Вестерн-блоттинг |
| Рекомендуемые разведения | WB: 0.01-2 мкг/мл; 1:500-2000; IHC: 5-20 мкг/мл; 1:50-200; ICC: 5-20 мкг/мл; 1:50-200; Оптимальное разведение определяется конечным потребителем |
| Метод очистки | Антигенспецифическая аффинная хроматография с последующей аффинной хроматографией с белком А |
| Состав буфера | 0.01M PBS, pH7.4, 0.05% Proclin-300, 50% глицерин |
| Условия доставки | термобокс с аккумуляторами холода |
| Условия хранения | Сразу после получения аликвотировать и хранить при -20ºС до 24 месяцев. Для частого использования хранить при +4ºС не более 2 недель. Избегать повторения циклов замерзания/оттаивания |
| Срок хранения | 24 месяца |
| Производитель | Cloud-Clone Corp. |
| Ссылка на страницу товара на сайте производителя | http://www.cloud-clone.com/products/PAC962Hu01.html |
|
Артикул
|
Наименование |
Производитель
|
|---|
|
Артикул
|
Наименование |
Производитель
|
|---|
Акции и предложения
Популярные продукты:
Dupilumab ELISA Kit-SS (KDD62603)
Организм: человек
Диапазон определения: 78.13 - 5,000 пг/мл
Чувствительность: 28.01 пг/мл
Диапазон определения: 78.13 - 5,000 пг/мл
Чувствительность: 28.01 пг/мл
ELISA Kit DIY Materials for Microphthalmia Associated Transcription Factor (MITF) (KSH645Hu01)
Организм: человек
Диапазон определения: 0.156-10 нг/мл
Чувствительность: 0.063 нг/мл
Диапазон определения: 0.156-10 нг/мл
Чувствительность: 0.063 нг/мл
Human Coactosin like protein(COTL1) ELISA kit (E01C1959)
Организм: человек
Mouse Cystatin SN(CST1) ELISA kit (E03C2119)
Организм: мышь
Rabbit Mesothelin ELISA kit (E04M0519)
Организм: кролик
Chicken Osteocrin ELISA kit (E12O0021)
Организм: курица

