| UNIPROT | P51911 |
| Иммуноген | RPJ419Hu01-Recombinant Calponin 1, Basic (CNN1) |
Polyclonal Antibody to Calponin 1, Basic (CNN1) (PAJ419Hu01)
Реактивность подтвержденная:
человек
Источник (хозяин):
кролик
Валидировано для:
IHC
WB
Характеристики
Техническое описание
| Русское название | PAJ419Hu01 Поликлональное антитело к CNN1 (человек) <Cloud-Clone,Китай> |
| Каталожный номер | PAJ419Hu01 |
| Название антигена | Calponin 1, Basic (CNN1) |
| UNIPROT | P51911 |
| Иммуноген | RPJ419Hu01-Recombinant Calponin 1, Basic (CNN1) |
| Английские синонимы | SMCC, Sm-Calp, Smooth Muscle Cell Calponin |
Реактивность подтвержденная Нужна другая реактивность? |
человек |
| Реактивность предсказываемая | мышь, крыса, собака, свинья |
| Источник (хозяин) | кролик |
| Клональность | поликлональное |
| Рекомбинантное | нет |
| Готовое к использованию | нет |
| Концентрация | 0.5 мг/мл |
| Конъюгат | По запросу: HRP, biotin, PerCP, PE, Cy3, FITC, Cy7, Cy5.5, PE-Cy5, PE-Cy7, PerCp-Cy5.5, APC, Cy5, PE-Cy3, PE-Cy5.5, APC-Cy7, Biotin-APC, FITC-Biotin, TRITC, APC-Cy5, AF488, AF594, AF405, AF555, AF700, AF647, AF750 |
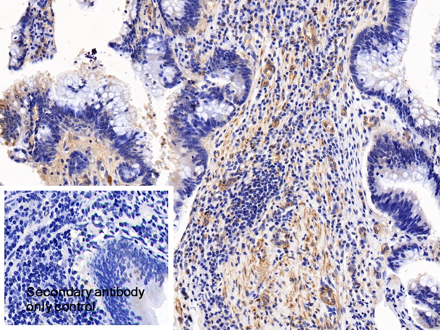
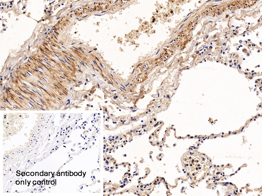
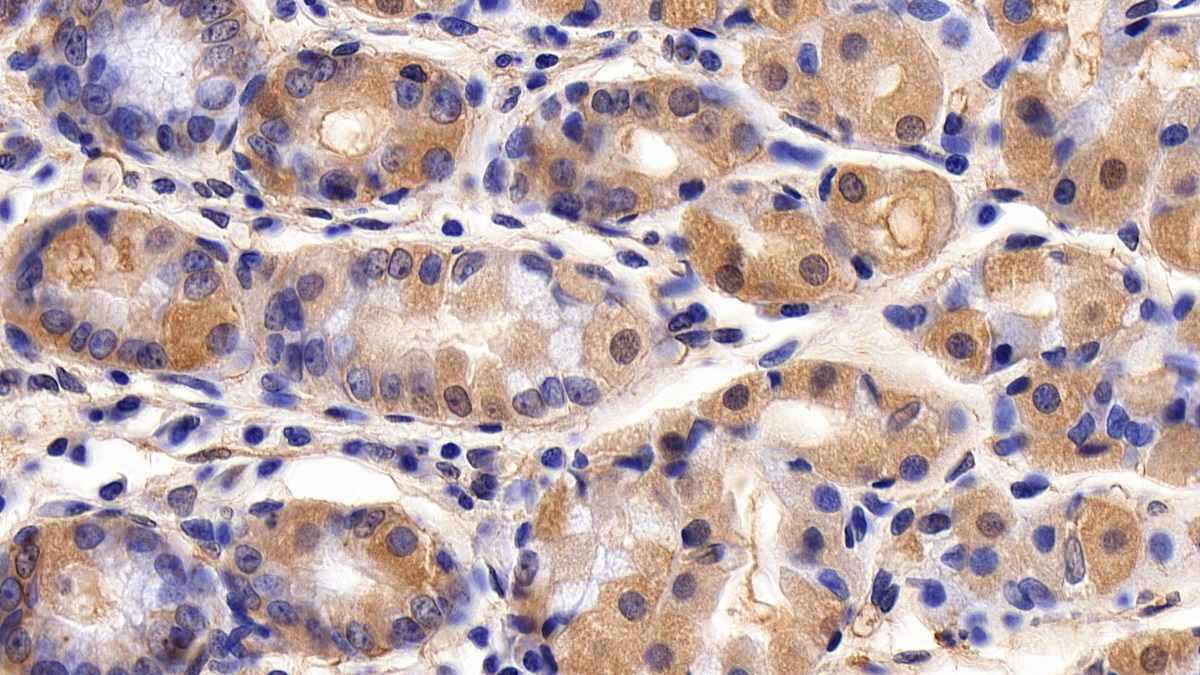
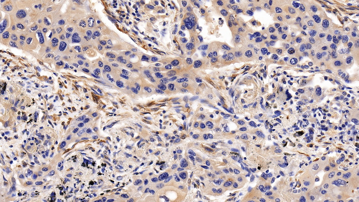
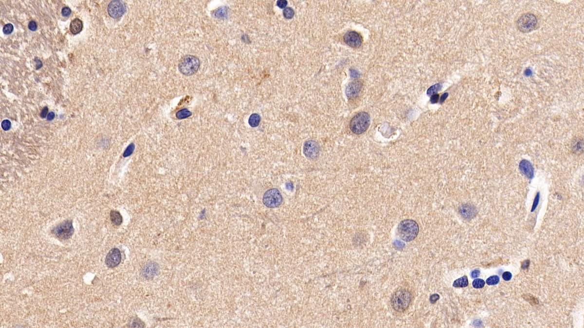
| Валидировано для | IHC WB Иммуногистохимия; Вестерн-блоттинг |
| Рекомендуемые разведения | WB: 0.01-2 мкг/мл; IHC: 5-20 мкг/мл; ICC: 5-20 мкг/мл; Оптимальное разведение определяется конечным потребителем |
| Метод очистки | Антигенспецифическая аффинная хроматография с последующей аффинной хроматографией с белком А |
| Состав буфера | PBS, pH7.4, 0.02% NaN3, 50% глицерин |
| Условия доставки | термобокс с аккумуляторами холода |
| Условия хранения | Сразу после получения аликвотировать и хранить при -20ºС до 24 месяцев. Для частого использования хранить при +4ºС не более 2 недель. Избегать повторения циклов замерзания/оттаивания |
| Срок хранения | 24 месяца |
| Производитель | Cloud-Clone Corp. |
| Ссылка на страницу товара на сайте производителя | http://www.cloud-clone.com/products/PAJ419Hu01.html |
|
Артикул
|
Наименование |
Производитель
|
|---|
|
Артикул
|
Наименование |
Производитель
|
|---|
|
Артикул
|
Наименование |
Производитель
|
|---|
|
Артикул
|
Наименование |
Производитель
|
|---|
Акции и предложения
Популярные продукты:
ELISA Kit for Cardiac Troponin I (cTnI) (CEA478Ra)
Организм: крыса
Диапазон определения: 7.81-2,000 пг/мл
Чувствительность: 10.9 пг/мл
Диапазон определения: 7.81-2,000 пг/мл
Чувствительность: 10.9 пг/мл
ELISA Kit for Apoptosis Inducing Factor (AIF) (RB064S-Ra)
Организм: крыса
Диапазон определения: 0.156-10 нг/мл
Чувствительность: 0.059 нг/мл
Диапазон определения: 0.156-10 нг/мл
Чувствительность: 0.059 нг/мл
Multiplex Assay Kit for Chemokine C-C-Motif Receptor 10 (CCR10) (LMB024Mu)
Организм: мышь
Диапазон определения: 0.01-10 нг/мл
Чувствительность: 0.003 нг/мл
Диапазон определения: 0.01-10 нг/мл
Чувствительность: 0.003 нг/мл
Sheep Calponin 1(CNN1) ELISA kit (E14C1853)
Организм: овца

