| UNIPROT | P14211 |
| Иммуноген | RPB486Mu01-Recombinant Calreticulin (CALR) |
Polyclonal Antibody to Calreticulin (CALR) (PAB486Mu01)
Реактивность подтвержденная:
мышь
Источник (хозяин):
кролик
Валидировано для:
IHC
WB
Характеристики
Техническое описание
| Русское название | PAB486Mu01 Поликлональное антитело к CALR (мышь) <Cloud-Clone,Китай> |
| Каталожный номер | PAB486Mu01 |
| Название антигена | Calreticulin (CRT) |
| UNIPROT | P14211 |
| Иммуноген | RPB486Mu01-Recombinant Calreticulin (CALR) |
| Английские синонимы | CALR, RO, SSA, CC1qR, ERp60, HACBP, grp60, CRTC, CRP55, Calregulin, Sicca Syndrome Antigen A, Autoantigen Ro, Endoplasmic reticulum resident protein 60 |
Реактивность подтвержденная Нужна другая реактивность? |
мышь |
| Реактивность предсказываемая | человек, крыса |
| Источник (хозяин) | кролик |
| Клональность | поликлональное |
| Рекомбинантное | нет |
| Готовое к использованию | нет |
| Концентрация | 0.5 мг/мл |
| Конъюгат | По запросу: HRP, biotin, PerCP, PE, Cy3, FITC, Cy7, Cy5.5, PE-Cy5, PE-Cy7, PerCp-Cy5.5, APC, Cy5, PE-Cy3, PE-Cy5.5, APC-Cy7, Biotin-APC, FITC-Biotin, TRITC, APC-Cy5, AF488, AF594, AF405, AF555, AF700, AF647, AF750 |
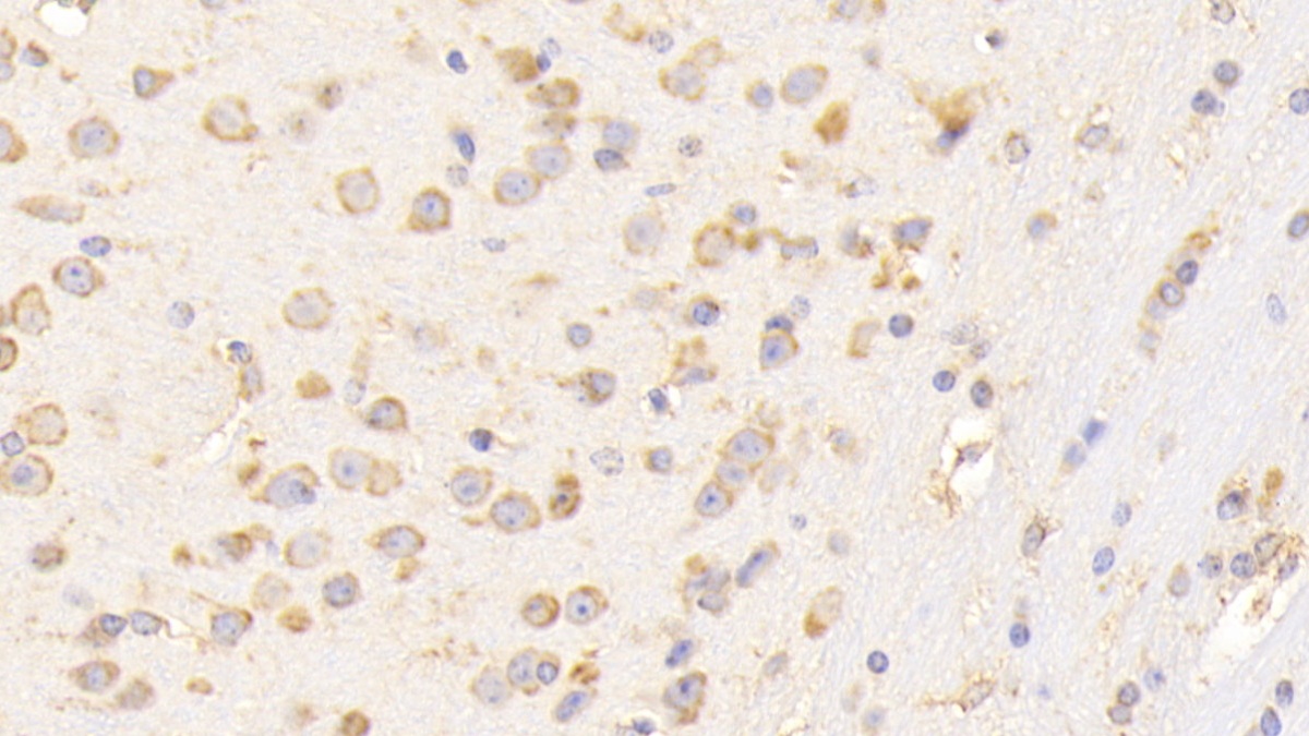
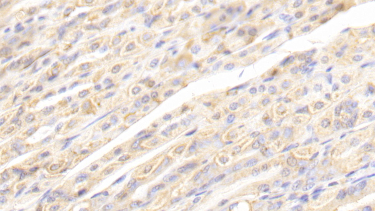
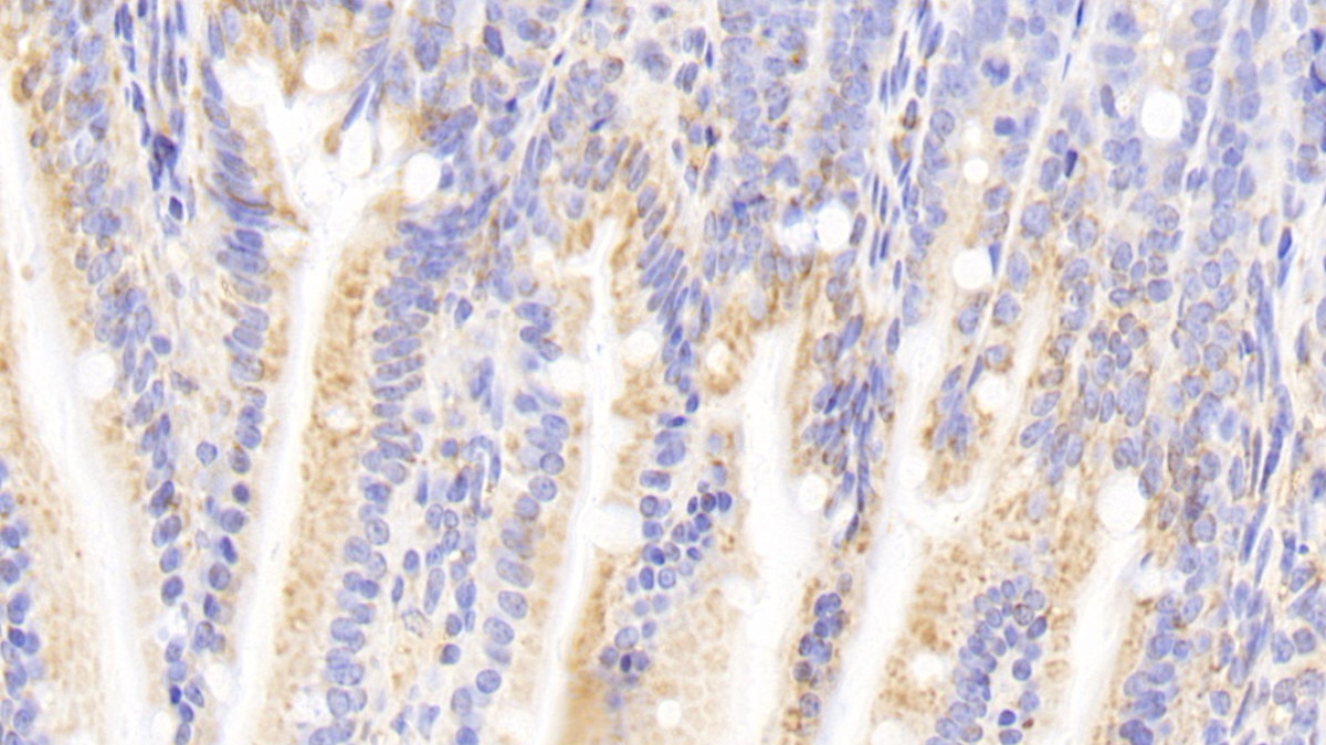
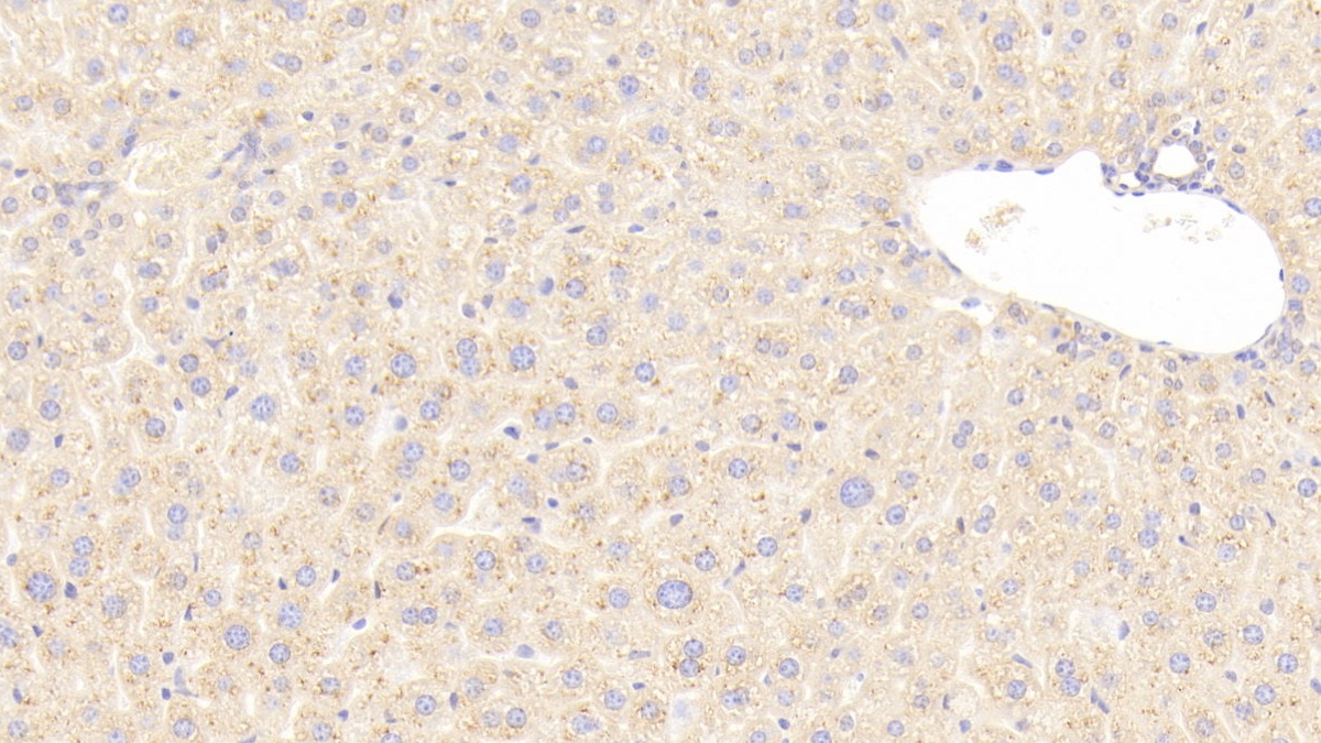
| Валидировано для | IHC WB Иммуногистохимия; Вестерн-блоттинг |
| Рекомендуемые разведения | WB: 0.5-2 мкг/мл; IHC: 5-20 мкг/мл; ICC: 5-20 мкг/мл; Оптимальное разведение определяется конечным потребителем |
| Метод очистки | Антигенспецифическая аффинная хроматография с последующей аффинной хроматографией с белком А |
| Состав буфера | 0.01M PBS, pH7.4, 0.05% Proclin-300, 50% глицерин |
| Условия доставки | термобокс с аккумуляторами холода |
| Условия хранения | Сразу после получения аликвотировать и хранить при -20ºС до 24 месяцев. Для частого использования хранить при +4ºС не более 2 недель. Избегать повторения циклов замерзания/оттаивания |
| Срок хранения | 24 месяца |
| Производитель | Cloud-Clone Corp. |
| Ссылка на страницу товара на сайте производителя | http://www.cloud-clone.com/products/PAB486Mu01.html |
|
Артикул
|
Наименование |
Производитель
|
|---|
|
Артикул
|
Наименование |
Производитель
|
|---|
|
Артикул
|
Наименование |
Производитель
|
|---|
|
Артикул
|
Наименование |
Производитель
|
|---|
|
Артикул
|
Наименование |
Производитель
|
|---|
|
Артикул
|
Наименование |
Производитель
|
|---|
Акции и предложения
Популярные продукты:
Anti-Human CD138/SDC1 Antibody (Fs0318), PE (FHD30833)
Источник (хозяин): мышь
Реактивность подтвержденная: человек
Валидировано для: ELISA, FCM, IF, WB
Реактивность подтвержденная: человек
Валидировано для: ELISA, FCM, IF, WB
Porcine Borealin(CDCA8) ELISA kit (E07B0884)
Организм: свинья
Chicken Annexin A11(ANXA11) ELISA kit (E12A1543)
Организм: курица
Bovine Annexin A11(ANXA11) ELISA kit (E11A1543)
Организм: корова
Canine Annexin A11(ANXA11) ELISA kit (E08A1543)
Организм: собака
Goat Annexin A11(ANXA11) ELISA kit (E06A1543)
Организм: коза

