| UNIPROT | O43852 |
| Иммуноген | RPB854Hu01-Recombinant Calumenin (CALU) |
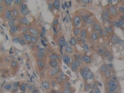
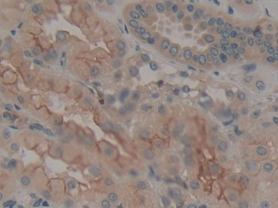
Polyclonal Antibody to Calumenin (CALU) (PAB854Hu01)
Реактивность подтвержденная:
человек
Источник (хозяин):
кролик
Валидировано для:
IHC
WB
Характеристики
Техническое описание
| Русское название | PAB854Hu01 Поликлональное антитело к CALU (человек) <Cloud-Clone,Китай> |
| Каталожный номер | PAB854Hu01 |
| Название антигена | Calumenin (CALU) |
| UNIPROT | O43852 |
| Иммуноген | RPB854Hu01-Recombinant Calumenin (CALU) |
| Английские синонимы | Crocalbin |
Реактивность подтвержденная Нужна другая реактивность? |
человек |
| Реактивность предсказываемая | мышь |
| Источник (хозяин) | кролик |
| Клональность | поликлональное |
| Рекомбинантное | нет |
| Готовое к использованию | нет |
| Концентрация | 0.5 мг/мл |
| Конъюгат | По запросу: HRP, biotin, PerCP, PE, Cy3, FITC, Cy7, Cy5.5, PE-Cy5, PE-Cy7, PerCp-Cy5.5, APC, Cy5, PE-Cy3, PE-Cy5.5, APC-Cy7, Biotin-APC, FITC-Biotin, TRITC, APC-Cy5, AF488, AF594, AF405, AF555, AF700, AF647, AF750 |
| Валидировано для | IHC WB Иммуногистохимия; Вестерн-блоттинг |
| Рекомендуемые разведения | WB: 0.5-3 мкг/мл; IHC: 5-30 мкг/мл; ICC: 5-30 мкг/мл; Оптимальное разведение определяется конечным потребителем |
| Метод очистки | Антигенспецифическая аффинная хроматография с последующей аффинной хроматографией с белком А |
| Состав буфера | 0.01M PBS, pH7.4, 0.05% Proclin-300, 50% глицерин |
| Условия доставки | термобокс с аккумуляторами холода |
| Условия хранения | Сразу после получения аликвотировать и хранить при -20ºС до 24 месяцев. Для частого использования хранить при +4ºС не более 2 недель. Избегать повторения циклов замерзания/оттаивания |
| Срок хранения | 24 месяца |
| Производитель | Cloud-Clone Corp. |
| Ссылка на страницу товара на сайте производителя | http://www.cloud-clone.com/products/PAB854Hu01.html |
|
Артикул
|
Наименование |
Производитель
|
|---|
|
Артикул
|
Наименование |
Производитель
|
|---|
|
Артикул
|
Наименование |
Производитель
|
|---|
|
Артикул
|
Наименование |
Производитель
|
|---|
|
Артикул
|
Наименование |
Производитель
|
|---|
Акции и предложения
Популярные продукты:
Chicken 26S protease regulatory subunit 6B ELISA kit (E12P0913)
Организм: курица
Anti-Shank1 and Shank3 Antibody (N367/51) (RHN17301)
Источник (хозяин): мышь
Реактивность подтвержденная: для всех
Валидировано для: IHC, WB
Реактивность подтвержденная: для всех
Валидировано для: IHC, WB
Anti-APOA5 Antibody (R3V04) (RHJ07802)
Источник (хозяин): мышь
Реактивность подтвержденная: человек
Валидировано для: ELISA, IF
Реактивность подтвержденная: человек
Валидировано для: ELISA, IF
Anti-NSD3/WHSC1L1 Antibody (R2L73) (RHK22004)
Источник (хозяин): кролик
Реактивность подтвержденная: человек, мышь, крыса
Валидировано для: FCM, WB
Реактивность подтвержденная: человек, мышь, крыса
Валидировано для: FCM, WB
FITC Anti-Human HLA-DQ Antibody[1a3] (AN00421C)
Источник (хозяин): мышь
Реактивность подтвержденная: человек
Валидировано для: FCM
Реактивность подтвержденная: человек
Валидировано для: FCM

