| UNIPROT | Q16790 |
| Иммуноген | RPD076Hu01-Recombinant Carbonic Anhydrase IX (CA9) |
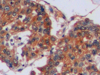
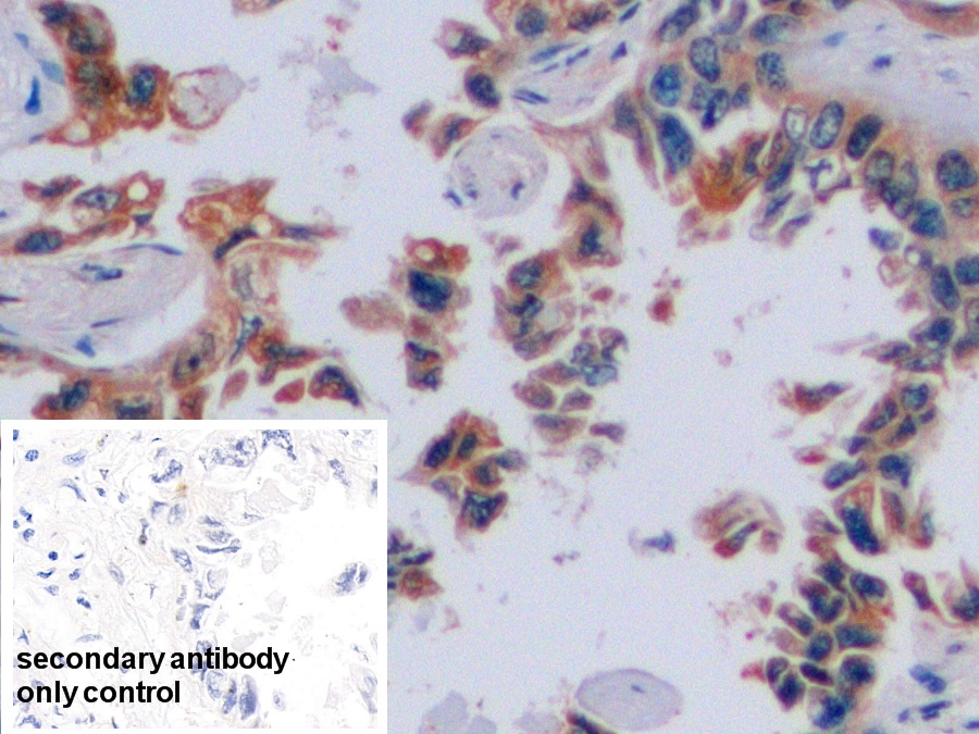
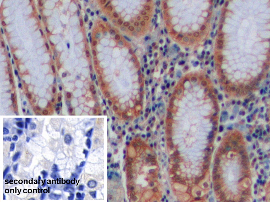
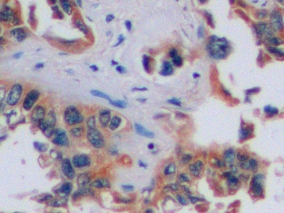
Polyclonal Antibody to Carbonic Anhydrase IX (CA9) (PAD076Hu01)
Реактивность подтвержденная:
человек
Источник (хозяин):
кролик
Валидировано для:
IHC
WB
Характеристики
Техническое описание
| Русское название | PAD076Hu01 Поликлональное антитело к CA9 (человек) <Cloud-Clone,Китай> |
| Каталожный номер | PAD076Hu01 |
| Название антигена | Carbonic Anhydrase IX (CA9) |
| UNIPROT | Q16790 |
| Иммуноген | RPD076Hu01-Recombinant Carbonic Anhydrase IX (CA9) |
| Английские синонимы | CA-IX, CAIX, MN, pMW1, P54/58N, Carbonic Dehydratase, Renal cell carcinoma-associated antigen G250, RCC-Associated Protein G250, Carbonate dehydratase IX |
Реактивность подтвержденная Нужна другая реактивность? |
человек |
| Реактивность предсказываемая | свинья |
| Источник (хозяин) | кролик |
| Клональность | поликлональное |
| Рекомбинантное | нет |
| Готовое к использованию | нет |
| Концентрация | 0.5 мг/мл |
| Конъюгат | По запросу: HRP, biotin, PerCP, PE, Cy3, FITC, Cy7, Cy5.5, PE-Cy5, PE-Cy7, PerCp-Cy5.5, APC, Cy5, PE-Cy3, PE-Cy5.5, APC-Cy7, Biotin-APC, FITC-Biotin, TRITC, APC-Cy5, AF488, AF594, AF405, AF555, AF700, AF647, AF750 |
| Валидировано для | IHC WB Иммуногистохимия; Вестерн-блоттинг |
| Рекомендуемые разведения | WB: 0.01-2 мкг/мл; IHC: 5-20 мкг/мл; ICC: 5-20 мкг/мл; Оптимальное разведение определяется конечным потребителем |
| Метод очистки | Антигенспецифическая аффинная хроматография с последующей аффинной хроматографией с белком А |
| Состав буфера | 0.01M PBS, pH7.4, 0.05% Proclin-300, 50% глицерин |
| Условия доставки | термобокс с аккумуляторами холода |
| Условия хранения | Сразу после получения аликвотировать и хранить при -20ºС до 24 месяцев. Для частого использования хранить при +4ºС не более 2 недель. Избегать повторения циклов замерзания/оттаивания |
| Срок хранения | 24 месяца |
| Производитель | Cloud-Clone Corp. |
| Ссылка на страницу товара на сайте производителя | http://www.cloud-clone.com/products/PAD076Hu01.html |
|
Артикул
|
Наименование |
Производитель
|
|---|
|
Артикул
|
Наименование |
Производитель
|
|---|
|
Артикул
|
Наименование |
Производитель
|
|---|
|
Артикул
|
Наименование |
Производитель
|
|---|
Акции и предложения
Популярные продукты:
Monoclonal Antibody to Melatonin (MT) (MAA908Ge21)
Источник (хозяин): мышь
Реактивность подтвержденная: для всех
Валидировано для: ELISA
Реактивность подтвержденная: для всех
Валидировано для: ELISA
ELISA Kit for Chymotrypsin C (CTRC) (SEB310Ra)
Организм: крыса
Диапазон определения: 0.312-20 нг/мл
Чувствительность: 6.1 пг/мл
Диапазон определения: 0.312-20 нг/мл
Чувствительность: 6.1 пг/мл
Chicken Valproic Acid ELISA kit (E12V0432)
Организм: курица
Bovine 14 3 3 protein sigma ELISA kit (E11S0433)
Организм: корова
Mouse Cadherin 23(CDH23) ELISA kit (E03C1543)
Организм: мышь

