| UNIPROT | Q9QZA0 |
| Иммуноген | RPD072Mu01-Recombinant Carbonic Anhydrase VB, Mitochondrial (CA5B) |
Polyclonal Antibody to Carbonic Anhydrase VB, Mitochondrial (CA5B) (PAD072Mu01)
Реактивность подтвержденная:
мышь
Источник (хозяин):
кролик
Валидировано для:
ICC
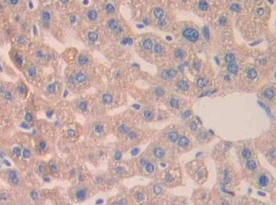
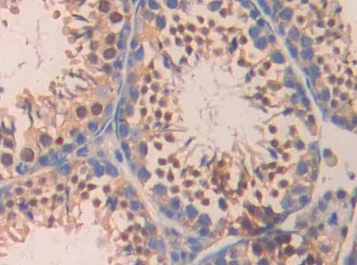
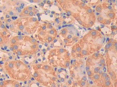
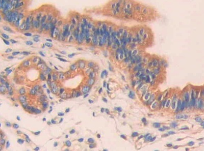
IHC
WB
Характеристики
Техническое описание
| Русское название | PAD072Mu01 Поликлональное антитело к CA5B (мышь) <Cloud-Clone,Китай> |
| Каталожный номер | PAD072Mu01 |
| Название антигена | Carbonic Anhydrase VB, Mitochondrial (CA5B) |
| UNIPROT | Q9QZA0 |
| Иммуноген | RPD072Mu01-Recombinant Carbonic Anhydrase VB, Mitochondrial (CA5B) |
| Английские синонимы | CA-VB, CAVB, Carbonate dehydratase VB |
Реактивность подтвержденная Нужна другая реактивность? |
мышь |
| Источник (хозяин) | кролик |
| Клональность | поликлональное |
| Рекомбинантное | нет |
| Готовое к использованию | нет |
| Концентрация | 500 мкг/мл |
| Конъюгат | По запросу: HRP, biotin, PerCP, PE, Cy3, FITC, Cy7, Cy5.5, PE-Cy5, PE-Cy7, PerCp-Cy5.5, APC, Cy5, PE-Cy3, PE-Cy5.5, APC-Cy7, Biotin-APC, FITC-Biotin, TRITC, APC-Cy5, AF488, AF594, AF405, AF555, AF700, AF647, AF750 |
| Валидировано для | ICC IHC WB Иммуноцитохимия; Иммуногистохимия; Вестерн-блоттинг |
| Рекомендуемые разведения | WB: 0.5-2 мкг/мл; IHC: 5-20 мкг/мл; ICC: 5-20 мкг/мл; Оптимальное разведение определяется конечным потребителем |
| Метод очистки | Антигенспецифическая аффинная хроматография с последующей аффинной хроматографией с белком А |
| Состав буфера | PBS, pH7.4, 0.02% NaN3, 50% глицерин |
| Условия доставки | термобокс с аккумуляторами холода |
| Условия хранения | Сразу после получения аликвотировать и хранить при -20ºС до 24 месяцев. Для частого использования хранить при +4ºС не более 2 недель. Избегать повторения циклов замерзания/оттаивания |
| Срок хранения | 24 месяца |
| Производитель | Cloud-Clone Corp. |
| Ссылка на страницу товара на сайте производителя | http://www.cloud-clone.com/products/PAD072Mu01.html |
|
Артикул
|
Наименование |
Производитель
|
|---|
|
Артикул
|
Наименование |
Производитель
|
|---|
|
Артикул
|
Наименование |
Производитель
|
|---|
|
Артикул
|
Наименование |
Производитель
|
|---|
Акции и предложения
Популярные продукты:
Canine Epididymal secretory protein E1(NPC2) ELISA kit (E08E0392)
Организм: собака
Porcine Caytaxin(ATCAY) ELISA kit (E07C1195)
Организм: свинья
Sheep Calicin(CCIN) ELISA kit (E14C1437)
Организм: овца
Human Isocite dehydrogenase [NADP], mitochondrial(IDH2) ELISA kit (E01I0423)
Организм: человек
Диапазон определения: 2.5-50 нг/мл
Чувствительность: 0.1 нг/мл
Диапазон определения: 2.5-50 нг/мл
Чувствительность: 0.1 нг/мл
Mouse Cytochrome P450 7A1 ELISA kit (E03C0375)
Организм: мышь
Chicken Endothelin converting enzyme 1 ELISA kit (E12E0169)
Организм: курица

