| UNIPROT | A2IBE2 |
| Иммуноген | RPD079Ra01-Recombinant Carbonic Anhydrase XII (CA12) |
Polyclonal Antibody to Carbonic Anhydrase XII (CA12) (PAD079Ra01)
Реактивность подтвержденная:
крыса
Источник (хозяин):
кролик
Валидировано для:
IHC
WB
Характеристики
Техническое описание
| Русское название | PAD079Ra01 Поликлональное антитело к CA12 (крыса) <Cloud-Clone,Китай> |
| Каталожный номер | PAD079Ra01 |
| Название антигена | Carbonic Anhydrase XII (CA12) |
| UNIPROT | A2IBE2 |
| Иммуноген | RPD079Ra01-Recombinant Carbonic Anhydrase XII (CA12) |
| Английские синонимы | CA-XII, CAXII, Carbonate dehydratase XII, Tumor antigen HOM-RCC-3.1.3 |
Реактивность подтвержденная Нужна другая реактивность? |
крыса |
| Реактивность предсказываемая | мышь |
| Источник (хозяин) | кролик |
| Клональность | поликлональное |
| Рекомбинантное | нет |
| Готовое к использованию | нет |
| Концентрация | 0.5 мг/мл |
| Конъюгат | По запросу: HRP, biotin, PerCP, PE, Cy3, FITC, Cy7, Cy5.5, PE-Cy5, PE-Cy7, PerCp-Cy5.5, APC, Cy5, PE-Cy3, PE-Cy5.5, APC-Cy7, Biotin-APC, FITC-Biotin, TRITC, APC-Cy5, AF488, AF594, AF405, AF555, AF700, AF647, AF750 |
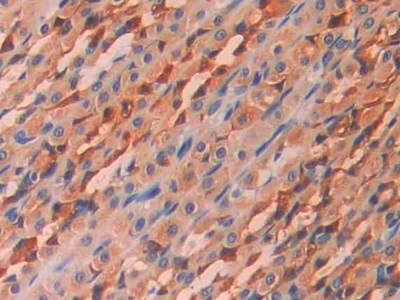
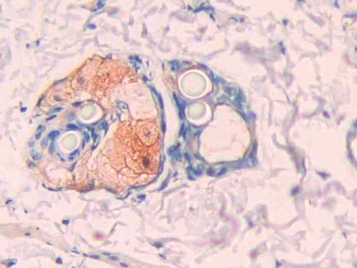
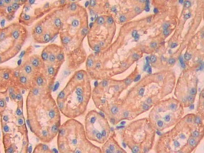
| Валидировано для | IHC WB Иммуногистохимия; Вестерн-блоттинг |
| Рекомендуемые разведения | WB: 0.5-2 мкг/мл; IHC: 5-20 мкг/мл; ICC: 5-20 мкг/мл; Оптимальное разведение определяется конечным потребителем |
| Метод очистки | Антигенспецифическая аффинная хроматография с последующей аффинной хроматографией с белком А |
| Состав буфера | 0.01M PBS, pH7.4, 0.05% Proclin-300, 50% глицерин |
| Условия доставки | термобокс с аккумуляторами холода |
| Условия хранения | Сразу после получения аликвотировать и хранить при -20ºС до 24 месяцев. Для частого использования хранить при +4ºС не более 2 недель. Избегать повторения циклов замерзания/оттаивания |
| Срок хранения | 24 месяца |
| Производитель | Cloud-Clone Corp. |
| Ссылка на страницу товара на сайте производителя | http://www.cloud-clone.com/products/PAD079Ra01.html |
|
Артикул
|
Наименование |
Производитель
|
|---|
|
Артикул
|
Наименование |
Производитель
|
|---|
|
Артикул
|
Наименование |
Производитель
|
|---|
Акции и предложения
Популярные продукты:
Chicken Arylsulfatase F(ARSF) ELISA kit (E12A1687)
Организм: курица
Canine Ephrin A1 ELISA kit (E08E0042)
Организм: собака
Canine Phospholipase A2, membrane associated ELISA kit (E08P1084)
Организм: собака
Bovine Carbonic Anhydarse XII (CA12) (E11C0874)
Организм: корова
Monkey Adipsin ELISA kit (E09A1811)
Организм: обезьяна
Sheep Ceruloplasmin ELISA kit (E14C0090)
Организм: овца

