| UNIPROT | P48758 |
| Иммуноген | RPC362Mu01-Recombinant Carbonyl Reductase 1 (CBR1) |
Polyclonal Antibody to Carbonyl Reductase 1 (CBR1) (PAC362Mu01)
Реактивность подтвержденная:
мышь
Источник (хозяин):
кролик
Валидировано для:
IHC
WB
Характеристики
Техническое описание
| Русское название | PAC362Mu01 Поликлональное антитело к CBR1 (мышь) <Cloud-Clone,Китай> |
| Каталожный номер | PAC362Mu01 |
| Название антигена | Carbonyl Reductase 1 (CBR1) |
| UNIPROT | P48758 |
| Иммуноген | RPC362Mu01-Recombinant Carbonyl Reductase 1 (CBR1) |
| Английские синонимы | CBR, SDR21C1, CRN, Short Chain Dehydrogenase/Reductase Family 21C,Member 1, 15-hydroxyprostaglandin dehydrogenase [NADP(+)], Prostaglandin 9-ketoreductase |
Реактивность подтвержденная Нужна другая реактивность? |
мышь |
| Реактивность предсказываемая | человек, крыса |
| Источник (хозяин) | кролик |
| Клональность | поликлональное |
| Рекомбинантное | нет |
| Готовое к использованию | нет |
| Концентрация | 500 мкг/мл |
| Конъюгат | По запросу: HRP, biotin, PerCP, PE, Cy3, FITC, Cy7, Cy5.5, PE-Cy5, PE-Cy7, PerCp-Cy5.5, APC, Cy5, PE-Cy3, PE-Cy5.5, APC-Cy7, Biotin-APC, FITC-Biotin, TRITC, APC-Cy5, AF488, AF594, AF405, AF555, AF700, AF647, AF750 |
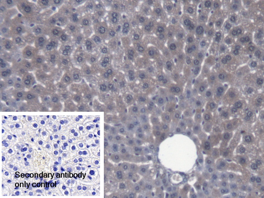
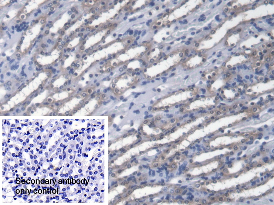
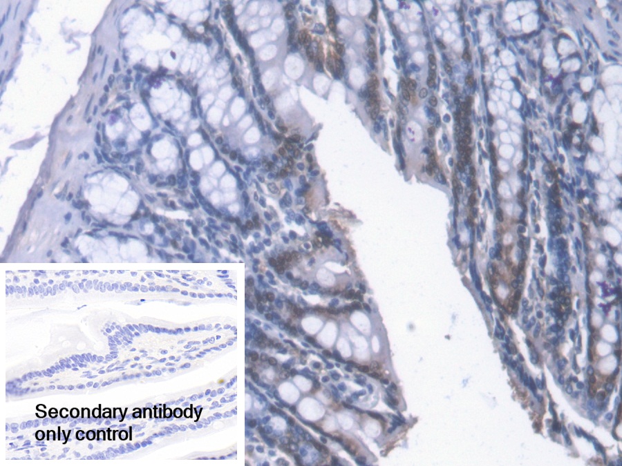
| Валидировано для | IHC WB Иммуногистохимия; Вестерн-блоттинг |
| Рекомендуемые разведения | WB: 0.5-2 мкг/мл; IHC: 5-20 мкг/мл; ICC: 5-20 мкг/мл; Оптимальное разведение определяется конечным потребителем |
| Метод очистки | Антигенспецифическая аффинная хроматография с последующей аффинной хроматографией с белком А |
| Состав буфера | 0.01M PBS, pH7.4, 0.05% Proclin-300, 50% глицерин |
| Условия доставки | термобокс с аккумуляторами холода |
| Условия хранения | Сразу после получения аликвотировать и хранить при -20ºС до 24 месяцев. Для частого использования хранить при +4ºС не более 2 недель. Избегать повторения циклов замерзания/оттаивания |
| Срок хранения | 24 месяца |
| Производитель | Cloud-Clone Corp. |
| Ссылка на страницу товара на сайте производителя | http://www.cloud-clone.com/products/PAC362Mu01.html |
|
Артикул
|
Наименование |
Производитель
|
|---|
|
Артикул
|
Наименование |
Производитель
|
|---|
|
Артикул
|
Наименование |
Производитель
|
|---|
|
Артикул
|
Наименование |
Производитель
|
|---|
Акции и предложения
Популярные продукты:
ELISA Kit for Epidermal Growth Factor Receptor (EGFR) (SEA757Hu)
Организм: человек
Диапазон определения: 3.12-200 нг/мл
Чувствительность: 1.21 нг/мл
Диапазон определения: 3.12-200 нг/мл
Чувствительность: 1.21 нг/мл
Polyclonal Antibody to Protein Phosphatase 3, Catalytic Subunit Beta Isoform (PPP3Cb) (PAE032Hu01)
Источник (хозяин): кролик
Реактивность подтвержденная: человек
Валидировано для: IHC, WB
Реактивность подтвержденная: человек
Валидировано для: IHC, WB
Mouse F box/LRR repeat protein 8(FBXL8) ELISA kit (E03F0329)
Организм: мышь
Guinea Pig Coenzyme Q10 (CoQ10) ELISA kit (E05C1947)
Организм: морская свинка

