| UNIPROT | P19429 |
| Иммуноген | RPA478Hu01-Recombinant Cardiac Troponin I (cTnI) |
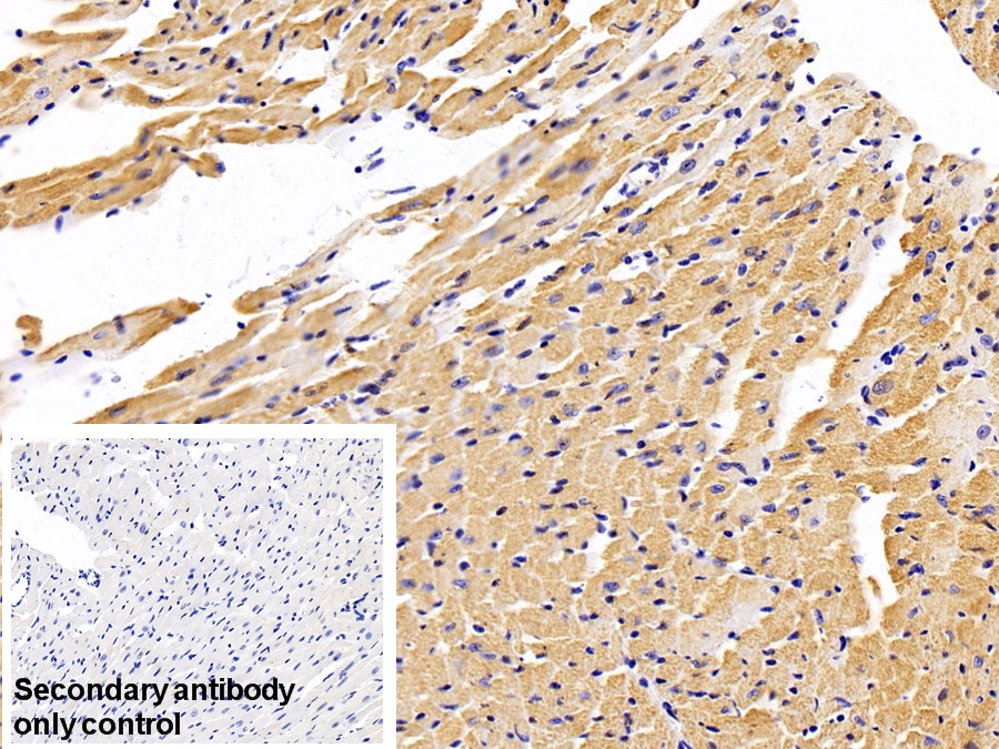
Polyclonal Antibody to Cardiac Troponin I (cTnI) (PAA478Hu01)
Реактивность подтвержденная:
человек
Источник (хозяин):
кролик
Валидировано для:
IHC
WB
Характеристики
Техническое описание
| Русское название | PAA478Hu01 Поликлональное антитело к cTnI (человек) <Cloud-Clone,Китай> |
| Каталожный номер | PAA478Hu01 |
| Название антигена | Troponin I Type 3, Cardiac (TNNI3) |
| UNIPROT | P19429 |
| Иммуноген | RPA478Hu01-Recombinant Cardiac Troponin I (cTnI) |
| Английские синонимы | cTnI, TNNC1, CMH7, C-TnI, Troponin I Type 3, Cardiac troponin I |
| Русские синонимы | сердечный тропонин, тропонин 1 тип 3, тропонин-1 тип 3 |
Реактивность подтвержденная Нужна другая реактивность? |
человек |
| Реактивность предсказываемая | мышь, крыса, собака, свинья |
| Источник (хозяин) | кролик |
| Клональность | поликлональное |
| Рекомбинантное | нет |
| Готовое к использованию | нет |
| Концентрация | 0.5 мг/мл |
| Конъюгат | По запросу: HRP, biotin, PerCP, PE, Cy3, FITC, Cy7, Cy5.5, PE-Cy5, PE-Cy7, PerCp-Cy5.5, APC, Cy5, PE-Cy3, PE-Cy5.5, APC-Cy7, Biotin-APC, FITC-Biotin, TRITC, APC-Cy5, AF488, AF594, AF405, AF555, AF700, AF647, AF750 |
| Валидировано для | IHC WB Иммуногистохимия; Вестерн-блоттинг |
| Рекомендуемые разведения | WB: 0.01-2 мкг/мл; IHC: 5-30 мкг/мл; ICC: 5-20 мкг/мл; Оптимальное разведение определяется конечным потребителем |
| Метод очистки | Антигенспецифическая аффинная хроматография с последующей аффинной хроматографией с белком А |
| Состав буфера | PBS, pH7.4, 0.02% NaN3, 50% глицерин |
| Условия доставки | термобокс с аккумуляторами холода |
| Условия хранения | Сразу после получения аликвотировать и хранить при -20ºС до 24 месяцев. Для частого использования хранить при +4ºС не более 2 недель. Избегать повторения циклов замерзания/оттаивания |
| Срок хранения | 24 месяца |
| Производитель | Cloud-Clone Corp. |
| Ссылка на страницу товара на сайте производителя | http://www.cloud-clone.com/products/PAA478Hu01.html |
|
Артикул
|
Наименование |
Производитель
|
|---|
|
Артикул
|
Наименование |
Производитель
|
|---|
|
Артикул
|
Наименование |
Производитель
|
|---|
|
Артикул
|
Наименование |
Производитель
|
|---|
|
Артикул
|
Наименование |
Производитель
|
|---|
|
Артикул
|
Наименование |
Производитель
|
|---|
|
Артикул
|
Наименование |
Производитель
|
|---|
|
Артикул
|
Наименование |
Производитель
|
|---|
|
Артикул
|
Наименование |
Производитель
|
|---|
Акции и предложения
Популярные продукты:
Anti-pan-Filovirus GP/Envelope glycoprotein Antibody (m21D10) (RVV24306)
Источник (хозяин): человек
Реактивность подтвержденная: вирусы
Валидировано для: ELISA, WB
Реактивность подтвержденная: вирусы
Валидировано для: ELISA, WB
Anti-MIEN1 Polyclonal Antibody (PHP14501)
Источник (хозяин): кролик
Реактивность подтвержденная: человек, мышь
Валидировано для: ELISA, WB
Реактивность подтвержденная: человек, мышь
Валидировано для: ELISA, WB
Anti-Otubain 1 (OTUB1) Polyclonal Antibody (FAL838Ra01)
Источник (хозяин): кролик
Реактивность подтвержденная: крыса
Валидировано для: FCM
Реактивность подтвержденная: крыса
Валидировано для: FCM
Guinea Pig Glutamate receptor delta 2 subunit(GRID2) ELISA kit (E05G0395)
Организм: морская свинка

