| UNIPROT | P23693 |
| Иммуноген | RPA478Ra01-Recombinant Cardiac Troponin I (cTnI) |
Polyclonal Antibody to Cardiac Troponin I (cTnI) (PAA478Ra01)
Реактивность подтвержденная:
крыса
Источник (хозяин):
кролик
Валидировано для:
IHC
WB
Характеристики
Публикации
Техническое описание
| Русское название | PAA478Ra01 Поликлональное антитело к cTnI (крыса) <Cloud-Clone,Китай> |
| Каталожный номер | PAA478Ra01 |
| Название антигена | Troponin I Type 3, Cardiac (TNNI3) |
| UNIPROT | P23693 |
| Иммуноген | RPA478Ra01-Recombinant Cardiac Troponin I (cTnI) |
| Английские синонимы | cTnI, TNNC1, CMH7, C-TnI, Troponin I Type 3, Cardiac troponin I |
| Русские синонимы | сердечный тропонин, тропонин 1 тип 3, тропонин-1 тип 3 |
Реактивность подтвержденная Нужна другая реактивность? |
крыса |
| Реактивность предсказываемая | мышь |
| Источник (хозяин) | кролик |
| Клональность | поликлональное |
| Рекомбинантное | нет |
| Готовое к использованию | нет |
| Концентрация | 500 мкг/мл |
| Конъюгат | По запросу: HRP, biotin, PerCP, PE, Cy3, FITC, Cy7, Cy5.5, PE-Cy5, PE-Cy7, PerCp-Cy5.5, APC, Cy5, PE-Cy3, PE-Cy5.5, APC-Cy7, Biotin-APC, FITC-Biotin, TRITC, APC-Cy5, AF488, AF594, AF405, AF555, AF700, AF647, AF750 |
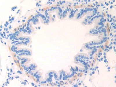
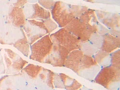
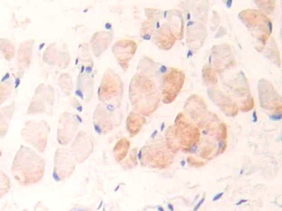
| Валидировано для | IHC WB Иммуногистохимия; Вестерн-блоттинг |
| Рекомендуемые разведения | WB: 0.5-2 мкг/мл; IHC: 5-20 мкг/мл; ICC: 5-20 мкг/мл; Оптимальное разведение определяется конечным потребителем |
| Метод очистки | Антигенспецифическая аффинная хроматография с последующей аффинной хроматографией с белком А |
| Состав буфера | 0.01M PBS, pH7.4, 0.05% Proclin-300, 50% глицерин |
| Условия доставки | термобокс с аккумуляторами холода |
| Условия хранения | Сразу после получения аликвотировать и хранить при -20ºС до 24 месяцев. Для частого использования хранить при +4ºС не более 2 недель. Избегать повторения циклов замерзания/оттаивания |
| Срок хранения | 24 месяца |
| Производитель | Cloud-Clone Corp. |
| Ссылка на страницу товара на сайте производителя | http://www.cloud-clone.com/products/PAA478Ra01.html |
|
Артикул
|
Наименование |
Производитель
|
|---|
|
Артикул
|
Наименование |
Производитель
|
|---|
|
Артикул
|
Наименование |
Производитель
|
|---|
|
Артикул
|
Наименование |
Производитель
|
|---|
|
Артикул
|
Наименование |
Производитель
|
|---|
|
Артикул
|
Наименование |
Производитель
|
|---|
|
Артикул
|
Наименование |
Производитель
|
|---|
|
Артикул
|
Наименование |
Производитель
|
|---|
|
Артикул
|
Наименование |
Производитель
|
|---|
Акции и предложения
Популярные продукты:
Anti-Mouse IL33 Polyclonal Antibody (PMB74001)
Источник (хозяин): кролик
Реактивность подтвержденная: мышь, крыса
Валидировано для: ICC, IF, IHC, WB
Реактивность подтвержденная: мышь, крыса
Валидировано для: ICC, IF, IHC, WB
Mouse Mitochondrial fission 1 protein ELISA kit (E03F0458)
Организм: мышь
Rat Follistatin Like Protein 1 ELISA kit (E02F0385)
Организм: крыса
Mouse Cell adhesion molecule 2(CADM2) ELISA kit (E03C1304)
Организм: мышь
Guinea Pig Phosphatidylserine ELISA kit (E05P0727)
Организм: морская свинка

