| UNIPROT | P47934 |
| Иммуноген | RPC400Mu01-Recombinant Carnitine Acetyltransferase (CRAT) |
Polyclonal Antibody to Carnitine Acetyltransferase (CRAT) (PAC400Mu01)
Реактивность подтвержденная:
мышь
Источник (хозяин):
кролик
Валидировано для:
IHC
WB
Характеристики
Публикации
Техническое описание
| Русское название | PAC400Mu01 Поликлональное антитело к CRAT (мышь) <Cloud-Clone,Китай> |
| Каталожный номер | PAC400Mu01 |
| Название антигена | Carnitine Acetyltransferase (CRAT) |
| UNIPROT | P47934 |
| Иммуноген | RPC400Mu01-Recombinant Carnitine Acetyltransferase (CRAT) |
| Английские синонимы | CAT1, Carnitine O-Acetyltransferase, Carnitine acetylase |
Реактивность подтвержденная Нужна другая реактивность? |
мышь |
| Реактивность предсказываемая | человек, крыса |
| Источник (хозяин) | кролик |
| Клональность | поликлональное |
| Рекомбинантное | нет |
| Готовое к использованию | нет |
| Концентрация | 0.5 мг/мл |
| Конъюгат | По запросу: HRP, biotin, PerCP, PE, Cy3, FITC, Cy7, Cy5.5, PE-Cy5, PE-Cy7, PerCp-Cy5.5, APC, Cy5, PE-Cy3, PE-Cy5.5, APC-Cy7, Biotin-APC, FITC-Biotin, TRITC, APC-Cy5, AF488, AF594, AF405, AF555, AF700, AF647, AF750 |
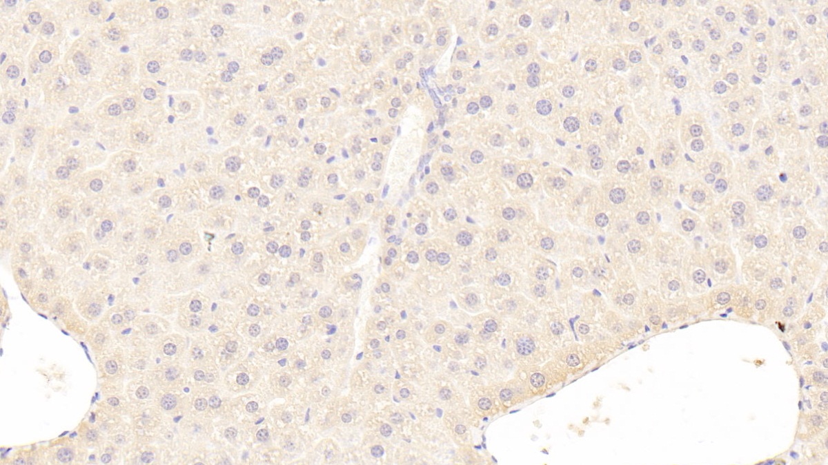
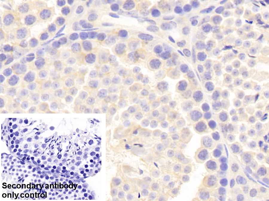
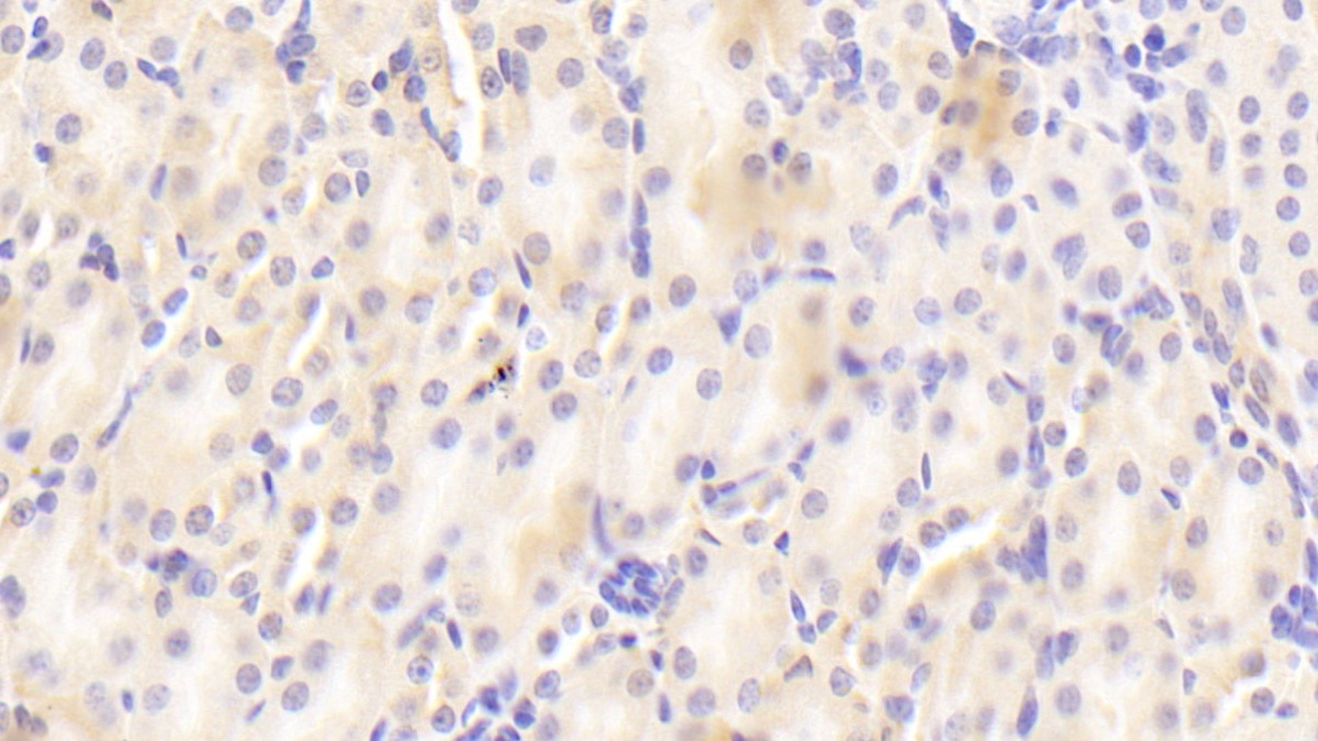
| Валидировано для | IHC WB Иммуногистохимия; Вестерн-блоттинг |
| Рекомендуемые разведения | WB: 0.01-3 мкг/мл; IHC: 5-20 мкг/мл; ICC: 5-20 мкг/мл; Оптимальное разведение определяется конечным потребителем |
| Метод очистки | Антигенспецифическая аффинная хроматография с последующей аффинной хроматографией с белком А |
| Состав буфера | 0.01M PBS, pH7.4, 0.05% Proclin-300, 50% глицерин |
| Условия доставки | термобокс с аккумуляторами холода |
| Условия хранения | Сразу после получения аликвотировать и хранить при -20ºС до 24 месяцев. Для частого использования хранить при +4ºС не более 2 недель. Избегать повторения циклов замерзания/оттаивания |
| Срок хранения | 24 месяца |
| Производитель | Cloud-Clone Corp. |
| Ссылка на страницу товара на сайте производителя | http://www.cloud-clone.com/products/PAC400Mu01.html |
|
Артикул
|
Наименование |
Производитель
|
|---|
|
Артикул
|
Наименование |
Производитель
|
|---|
|
Артикул
|
Наименование |
Производитель
|
|---|
|
Артикул
|
Наименование |
Производитель
|
|---|
Акции и предложения
Популярные продукты:
ELISA Kit DIY Materials for Kallikrein 5 (KLK5) (KSA451Mu01)
Организм: мышь
Диапазон определения: 0.156-10 нг/мл
Чувствительность: 0.058 нг/мл
Диапазон определения: 0.156-10 нг/мл
Чувствительность: 0.058 нг/мл
Recombinant Human A2M/CPAMD5/Alpha-2-macroglobulin Protein (His Tag) (PKSH031338)
Источник (хозяин): клетки насекомых
Организм: человек
Фрагмент: Met 1-Ala 1474
Теги: C-His
Биоактивность: да
Организм: человек
Фрагмент: Met 1-Ala 1474
Теги: C-His
Биоактивность: да
Recombinant Human LILRB1 Protein (His Tag) (PDMH100363)
Источник (хозяин): HEK293
Организм: человек
Фрагмент: Gly24-His458
Теги: C-His
Биоактивность: нет
Организм: человек
Фрагмент: Gly24-His458
Теги: C-His
Биоактивность: нет
Recombinant Mouse TNF-alpha/TNFA Protein (PKSM041176)
Источник (хозяин): E.coli
Организм: мышь
Фрагмент: Asp89-Leu235
Теги: без тега
Биоактивность: да
Организм: мышь
Фрагмент: Asp89-Leu235
Теги: без тега
Биоактивность: да

