| UNIPROT | Q9CYD3 |
| Иммуноген | RPJ337Mu01-Recombinant Cartilage Associated Protein (CRTAP) |
Polyclonal Antibody to Cartilage Associated Protein (CRTAP) (PAJ337Mu01)
Реактивность подтвержденная:
мышь
Источник (хозяин):
кролик
Валидировано для:
IHC
WB
Характеристики
Техническое описание
| Русское название | PAJ337Mu01 Поликлональное антитело к CRTAP (мышь) <Cloud-Clone,Китай> |
| Каталожный номер | PAJ337Mu01 |
| Название антигена | Cartilage Associated Protein (CRTAP) |
| UNIPROT | Q9CYD3 |
| Иммуноген | RPJ337Mu01-Recombinant Cartilage Associated Protein (CRTAP) |
| Английские синонимы | CASP, LEPREL3, Leprecan-Like 3 |
Реактивность подтвержденная Нужна другая реактивность? |
мышь |
| Реактивность предсказываемая | человек, крыса |
| Источник (хозяин) | кролик |
| Клональность | поликлональное |
| Рекомбинантное | нет |
| Готовое к использованию | нет |
| Концентрация | 500 мкг/мл |
| Конъюгат | По запросу: HRP, biotin, PerCP, PE, Cy3, FITC, Cy7, Cy5.5, PE-Cy5, PE-Cy7, PerCp-Cy5.5, APC, Cy5, PE-Cy3, PE-Cy5.5, APC-Cy7, Biotin-APC, FITC-Biotin, TRITC, APC-Cy5, AF488, AF594, AF405, AF555, AF700, AF647, AF750 |
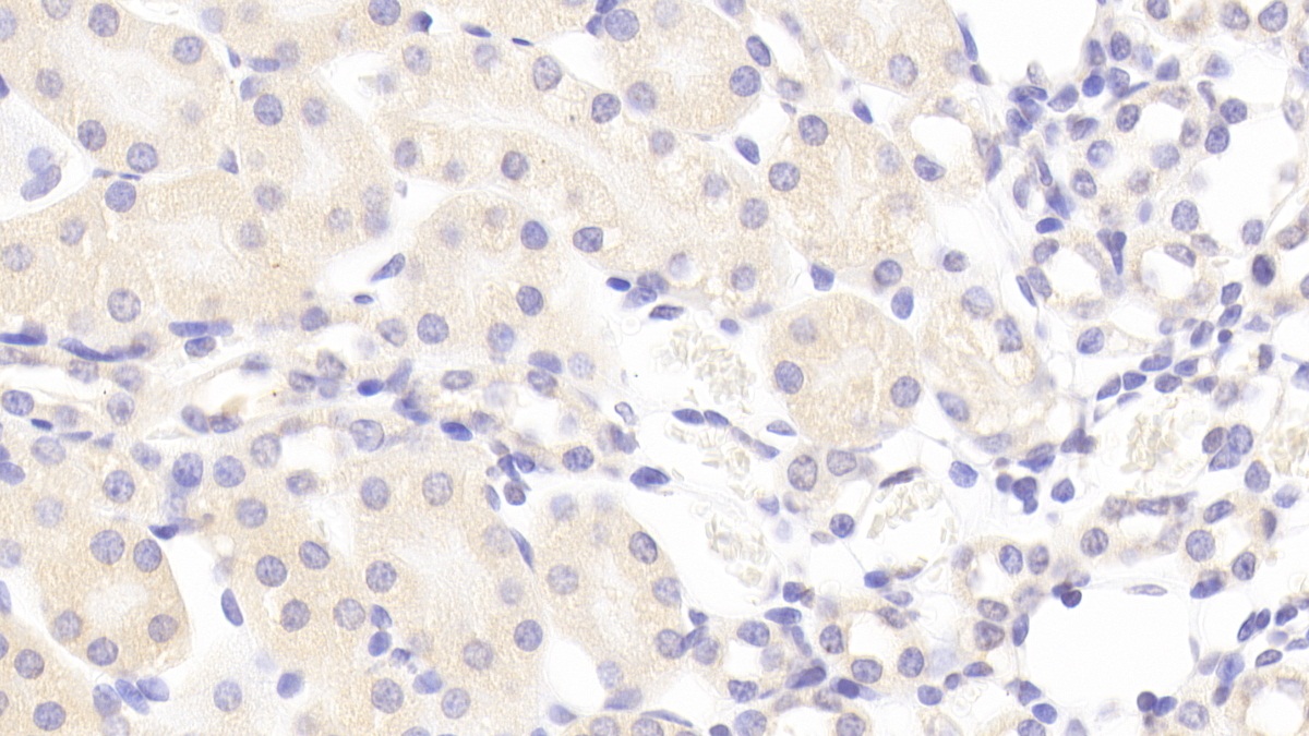
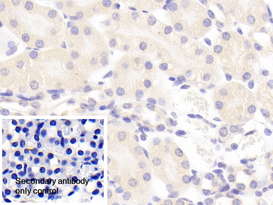
| Валидировано для | IHC WB Иммуногистохимия; Вестерн-блоттинг |
| Рекомендуемые разведения | WB: 0.5-2 мкг/мл; 1:350-1400; IHC: 5-20 мкг/мл; 1:35-140; ICC: 5-20 мкг/мл; 1:35-140; Оптимальное разведение определяется конечным потребителем |
| Метод очистки | Антигенспецифическая аффинная хроматография с последующей аффинной хроматографией с белком А |
| Состав буфера | 0.01M PBS, pH7.4, 0.05% Proclin-300, 50% глицерин |
| Условия доставки | термобокс с аккумуляторами холода |
| Условия хранения | Сразу после получения аликвотировать и хранить при -20ºС до 24 месяцев. Для частого использования хранить при +4ºС не более 2 недель. Избегать повторения циклов замерзания/оттаивания |
| Срок хранения | 24 месяца |
| Производитель | Cloud-Clone Corp. |
| Ссылка на страницу товара на сайте производителя | http://www.cloud-clone.com/products/PAJ337Mu01.html |
|
Артикул
|
Наименование |
Производитель
|
|---|
|
Артикул
|
Наименование |
Производитель
|
|---|
|
Артикул
|
Наименование |
Производитель
|
|---|
Акции и предложения
Популярные продукты:
Multiplex Assay Kit for Thromboxane A2 (TXA2) (LMB396Ge)
Организм: для всех
Диапазон определения: 0.98-1000 пг/мл
Чувствительность: 0.327 пг/мл
Диапазон определения: 0.98-1000 пг/мл
Чувствительность: 0.327 пг/мл
Rat cardiac troponin I, cTnI ELISA Kit (E02C2462)
Организм: крыса
Recombinant Human Interleukin-2/IL-2 Protein (C145S) (PKSH033623)
Источник (хозяин): E.coli
Организм: человек
Фрагмент: Pro22-Thr153(Cys145Ser)
Теги: без тега
Биоактивность: да
Организм: человек
Фрагмент: Pro22-Thr153(Cys145Ser)
Теги: без тега
Биоактивность: да
Recombinant HIV Recombinant HIV gp120 Protein (His Tag) (PKSQ050061)
Источник (хозяин): HEK293
Организм: вирусы
Фрагмент: Met1-Glu498
Теги: C-His
Биоактивность: нет
Организм: вирусы
Фрагмент: Met1-Glu498
Теги: C-His
Биоактивность: нет
Anti-ASFV EP84R Polyclonal Antibody (PVV11202)
Источник (хозяин): кролик
Реактивность подтвержденная: вирусы
Валидировано для: ELISA, IHC, WB
Реактивность подтвержденная: вирусы
Валидировано для: ELISA, IHC, WB
Anti-Cat NGF/Beta-NGF Antibody (SAA1470) (RFB91701)
Источник (хозяин): кошка
Реактивность подтвержденная: кошка
Валидировано для: ELISA
Реактивность подтвержденная: кошка
Валидировано для: ELISA

