| UNIPROT | O75339 |
| Иммуноген | RPC382Hu01-Recombinant Cartilage Intermediate Layer Protein (CILP) |
Polyclonal Antibody to Cartilage Intermediate Layer Protein (CILP) (PAC382Hu01)
Реактивность подтвержденная:
человек
Источник (хозяин):
кролик
Валидировано для:
IHC
Характеристики
Техническое описание
| Русское название | PAC382Hu01 Поликлональное антитело к CILP (человек) <Cloud-Clone,Китай> |
| Каталожный номер | PAC382Hu01 |
| Название антигена | Cartilage Intermediate Layer Protein (CILP) |
| UNIPROT | O75339 |
| Иммуноген | RPC382Hu01-Recombinant Cartilage Intermediate Layer Protein (CILP) |
| Английские синонимы | Nucleotide Pyrophosphohydrolase, Cartilage intermediate-layer protein |
Реактивность подтвержденная Нужна другая реактивность? |
человек |
| Источник (хозяин) | кролик |
| Клональность | поликлональное |
| Рекомбинантное | нет |
| Готовое к использованию | нет |
| Концентрация | 0.5 мг/мл |
| Конъюгат | По запросу: HRP, biotin, PerCP, PE, Cy3, FITC, Cy7, Cy5.5, PE-Cy5, PE-Cy7, PerCp-Cy5.5, APC, Cy5, PE-Cy3, PE-Cy5.5, APC-Cy7, Biotin-APC, FITC-Biotin, TRITC, APC-Cy5, AF488, AF594, AF405, AF555, AF700, AF647, AF750 |
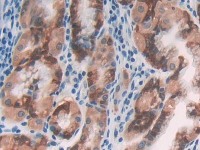
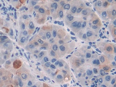
| Валидировано для | IHC Иммуногистохимия |
| Рекомендуемые разведения | WB: 0.5-2 мкг/мл; IHC: 5-20 мкг/мл; ICC: 5-20 мкг/мл; Оптимальное разведение определяется конечным потребителем |
| Метод очистки | Антигенспецифическая аффинная хроматография с последующей аффинной хроматографией с белком А |
| Состав буфера | 0.01M PBS, pH7.4, 0.05% Proclin-300, 50% глицерин |
| Условия доставки | термобокс с аккумуляторами холода |
| Условия хранения | Сразу после получения аликвотировать и хранить при -20ºС до 24 месяцев. Для частого использования хранить при +4ºС не более 2 недель. Избегать повторения циклов замерзания/оттаивания |
| Срок хранения | 24 месяца |
| Производитель | Cloud-Clone Corp. |
| Ссылка на страницу товара на сайте производителя | http://www.cloud-clone.com/products/PAC382Hu01.html |
|
Артикул
|
Наименование |
Производитель
|
|---|
|
Артикул
|
Наименование |
Производитель
|
|---|
|
Артикул
|
Наименование |
Производитель
|
|---|
Акции и предложения
Популярные продукты:
Human Prefoldin subunit 5(PFDN5) ELISA kit (E01P0766)
Организм: человек
Диапазон определения: 0.5-10 нг/мл
Чувствительность: 0.1 нг/мл
Диапазон определения: 0.5-10 нг/мл
Чувствительность: 0.1 нг/мл
Guinea Pig Phospholipidase D ELISA kit (E05P0677)
Организм: морская свинка
Recombinant Mouse ACVRL1 Protein, C-His (YME20502)
Источник (хозяин): E.coli
Организм: мышь
Фрагмент: Asp23-Pro119
Теги: C-His
Биоактивность: нет
Организм: мышь
Фрагмент: Asp23-Pro119
Теги: C-His
Биоактивность: нет
Recombinant mCherry Protein, N-His (YXX51301)
Источник (хозяин): E.coli
Организм: для всех
Фрагмент: Met1-Lys236
Теги: N-His
Биоактивность: нет
Организм: для всех
Фрагмент: Met1-Lys236
Теги: N-His
Биоактивность: нет
Recombinant Human MEN1 Protein, N-His (YHA07201)
Источник (хозяин): E.coli
Организм: человек
Фрагмент: Ser224-Pro395
Теги: N-His
Биоактивность: нет
Организм: человек
Фрагмент: Ser224-Pro395
Теги: N-His
Биоактивность: нет

