| UNIPROT | Q9R0G6 |
| Иммуноген | RPB197Mu01-Recombinant Cartilage Oligomeric Matrix Protein (COMP) |
Polyclonal Antibody to Cartilage Oligomeric Matrix Protein (COMP) (PAB197Mu01)
Реактивность подтвержденная:
мышь
Источник (хозяин):
кролик
Валидировано для:
IHC
WB
Характеристики
Техническое описание
| Русское название | PAB197Mu01 Поликлональное антитело к COMP (мышь) <Cloud-Clone,Китай> |
| Каталожный номер | PAB197Mu01 |
| Название антигена | Cartilage Oligomeric Matrix Protein (COMP) |
| UNIPROT | Q9R0G6 |
| Иммуноген | RPB197Mu01-Recombinant Cartilage Oligomeric Matrix Protein (COMP) |
| Английские синонимы | MED, EDM1, EPD1, PSACH, THBS5, TSP-5, Pseudoachondroplasia,Epiphyseal Dysplasia 1,Multiple, Thrombospondin 5 |
| Русские синонимы | Тромбоспондин 5 |
Реактивность подтвержденная Нужна другая реактивность? |
мышь |
| Реактивность предсказываемая | крыса |
| Источник (хозяин) | кролик |
| Клональность | поликлональное |
| Рекомбинантное | нет |
| Готовое к использованию | нет |
| Концентрация | 0.5 мг/мл |
| Конъюгат | По запросу: HRP, biotin, PerCP, PE, Cy3, FITC, Cy7, Cy5.5, PE-Cy5, PE-Cy7, PerCp-Cy5.5, APC, Cy5, PE-Cy3, PE-Cy5.5, APC-Cy7, Biotin-APC, FITC-Biotin, TRITC, APC-Cy5, AF488, AF594, AF405, AF555, AF700, AF647, AF750 |
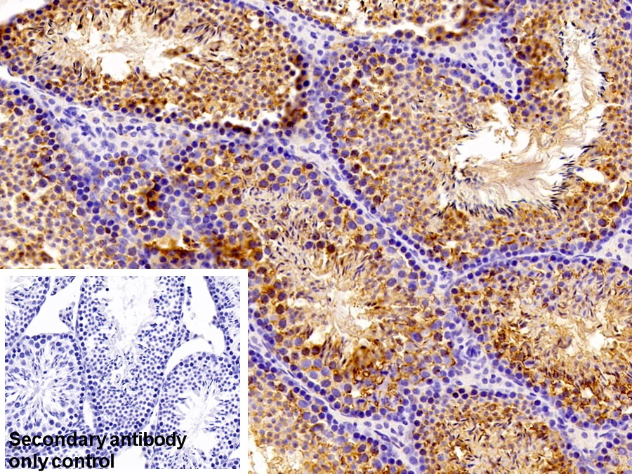
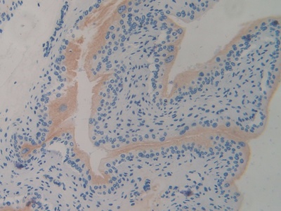
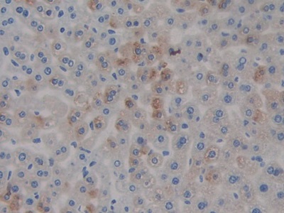
| Валидировано для | IHC WB Иммуногистохимия; Вестерн-блоттинг |
| Рекомендуемые разведения | WB: 0.01-2 мкг/мл; IHC: 5-20 мкг/мл; ICC: 5-20 мкг/мл; Оптимальное разведение определяется конечным потребителем |
| Метод очистки | Антигенспецифическая аффинная хроматография с последующей аффинной хроматографией с белком А |
| Состав буфера | PBS, pH7.4, 0.02% NaN3, 50% глицерин |
| Условия доставки | термобокс с аккумуляторами холода |
| Условия хранения | Сразу после получения аликвотировать и хранить при -20ºС до 24 месяцев. Для частого использования хранить при +4ºС не более 2 недель. Избегать повторения циклов замерзания/оттаивания |
| Срок хранения | 24 месяца |
| Производитель | Cloud-Clone Corp. |
| Ссылка на страницу товара на сайте производителя | http://www.cloud-clone.com/products/PAB197Mu01.html |
|
Артикул
|
Наименование |
Производитель
|
|---|
|
Артикул
|
Наименование |
Производитель
|
|---|
|
Артикул
|
Наименование |
Производитель
|
|---|
|
Артикул
|
Наименование |
Производитель
|
|---|
|
Артикул
|
Наименование |
Производитель
|
|---|
Акции и предложения
Популярные продукты:
ELISA Kit DIY Materials for Farnesoid X Receptor (FXR) (KSC042Ra01)
Организм: крыса
Диапазон определения: 0.156-10 нг/мл
Чувствительность: 0.056 нг/мл
Диапазон определения: 0.156-10 нг/мл
Чувствительность: 0.056 нг/мл
Mouse A kinase anchor protein 3(AKAP3) ELISA kit (E03A1356)
Организм: мышь
Human Cartilage Oligomeric Matrix Protein ELISA kit (E01C0205)
Организм: человек
Диапазон определения: 50-1000 нг/мл
Чувствительность: 1 нг/мл
Диапазон определения: 50-1000 нг/мл
Чувствительность: 1 нг/мл
Rat Cartilage Oligomeric Matrix Protein ELISA kit (E02C0205)
Организм: крыса
Диапазон определения: 5-100 нг/мл
Чувствительность: 1 нг/мл
Диапазон определения: 5-100 нг/мл
Чувствительность: 1 нг/мл
Bovine Macrophage stimulating protein ELISA kit (E11M0006)
Организм: корова

