| UNIPROT | O08736 |
| Иммуноген | RPA682Mu01-Recombinant Caspase 12 (CASP12) |
Polyclonal Antibody to Caspase 12 (CASP12) (PAA682Mu01)
Реактивность подтвержденная:
мышь
Источник (хозяин):
кролик
Валидировано для:
IHC
WB
Характеристики
Техническое описание
| Русское название | PAA682Mu01 Поликлональное антитело к CASP12 (мышь) <Cloud-Clone,Китай> |
| Каталожный номер | PAA682Mu01 |
| Название антигена | Caspase 12 (CASP12) |
| UNIPROT | O08736 |
| Иммуноген | RPA682Mu01-Recombinant Caspase 12 (CASP12) |
| Английские синонимы | CASP12P1, Cysteinyl Aspartate Specific Proteinases 12, Apoptosis-Related Cysteine Peptidase, CASP-12, Caspase-12 |
| Русские синонимы | каспаза-12 |
Реактивность подтвержденная Нужна другая реактивность? |
мышь |
| Реактивность предсказываемая | крыса |
| Источник (хозяин) | кролик |
| Клональность | поликлональное |
| Рекомбинантное | нет |
| Готовое к использованию | нет |
| Концентрация | 0.5 мг/мл |
| Конъюгат | По запросу: HRP, biotin, PerCP, PE, Cy3, FITC, Cy7, Cy5.5, PE-Cy5, PE-Cy7, PerCp-Cy5.5, APC, Cy5, PE-Cy3, PE-Cy5.5, APC-Cy7, Biotin-APC, FITC-Biotin, TRITC, APC-Cy5, AF488, AF594, AF405, AF555, AF700, AF647, AF750 |
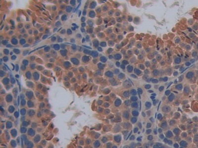
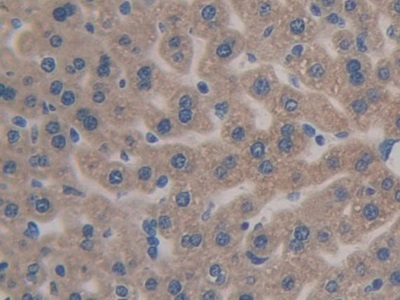
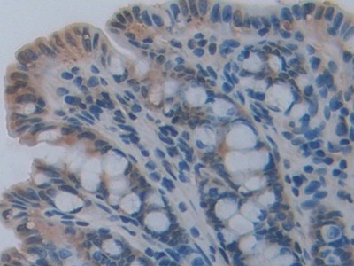
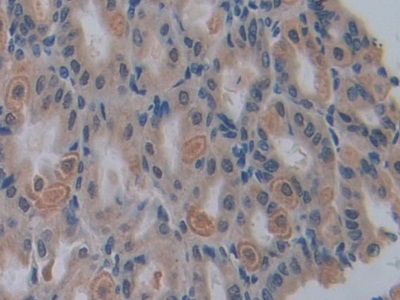
| Валидировано для | IHC WB Иммуногистохимия; Вестерн-блоттинг |
| Рекомендуемые разведения | WB: 0.01-2 мкг/мл; IHC: 5-20 мкг/мл; IF: 5-20 мкг/мл; Оптимальное разведение определяется конечным потребителем |
| Метод очистки | Антигенспецифическая аффинная хроматография с последующей аффинной хроматографией с белком А |
| Состав буфера | PBS, pH7.4, 0.02% NaN3, 50% глицерин |
| Условия доставки | термобокс с аккумуляторами холода |
| Условия хранения | Сразу после получения аликвотировать и хранить при -20ºС до 24 месяцев. Для частого использования хранить при +4ºС не более 2 недель. Избегать повторения циклов замерзания/оттаивания |
| Срок хранения | 24 месяца |
| Производитель | Cloud-Clone Corp. |
| Ссылка на страницу товара на сайте производителя | http://www.cloud-clone.com/products/PAA682Mu01.html |
|
Артикул
|
Наименование |
Производитель
|
|---|
|
Артикул
|
Наименование |
Производитель
|
|---|
|
Артикул
|
Наименование |
Производитель
|
|---|
|
Артикул
|
Наименование |
Производитель
|
|---|
Акции и предложения
Популярные продукты:
Rabbit Endoribonuclease Dicer ELISA Kit (E04D0330)
Организм: кролик
Guinea Pig Catenin Alpha 2(CTNNA2) ELISA kit (E05C2151)
Организм: морская свинка
Chicken CytokeRatin Fragment Antigen 21.1 ELISA kit (E12C0010)
Организм: курица
Monkey CytokeRatin Fragment Antigen 21.1 ELISA kit (E09C0010)
Организм: обезьяна

