| UNIPROT | Q9N2I1 |
| Иммуноген | RPB592Po01-Recombinant Caspase 1 (CASP1) |
Polyclonal Antibody to Caspase 1 (CASP1) (PAB592Po01)
Реактивность подтвержденная:
свинья
Источник (хозяин):
кролик
Валидировано для:
IHC
WB
Характеристики
Публикации
Техническое описание
| Русское название | PAB592Po01 Поликлональное антитело к CASP1 (свинья) <Cloud-Clone,Китай> |
| Каталожный номер | PAB592Po01 |
| Название антигена | Caspase 1 (CASP1) |
| UNIPROT | Q9N2I1 |
| Иммуноген | RPB592Po01-Recombinant Caspase 1 (CASP1) |
| Английские синонимы | ICE, IL1BC, IL1-BC, P45, Interleukin 1 Beta Converting Enzyme, Apoptosis-Related Cysteine Peptidase, Interleukin-1 beta convertase, CASP-1, Caspase-1 |
| Русские синонимы | каспаза-1 |
Реактивность подтвержденная Нужна другая реактивность? |
свинья |
| Реактивность предсказываемая | человек |
| Источник (хозяин) | кролик |
| Клональность | поликлональное |
| Рекомбинантное | нет |
| Готовое к использованию | нет |
| Концентрация | 0.5 мг/мл |
| Конъюгат | По запросу: HRP, biotin, PerCP, PE, Cy3, FITC, Cy7, Cy5.5, PE-Cy5, PE-Cy7, PerCp-Cy5.5, APC, Cy5, PE-Cy3, PE-Cy5.5, APC-Cy7, Biotin-APC, FITC-Biotin, TRITC, APC-Cy5, AF488, AF594, AF405, AF555, AF700, AF647, AF750 |
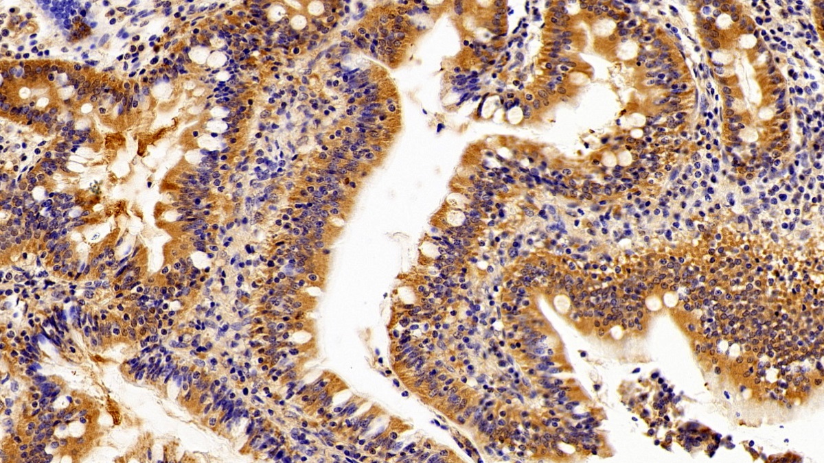
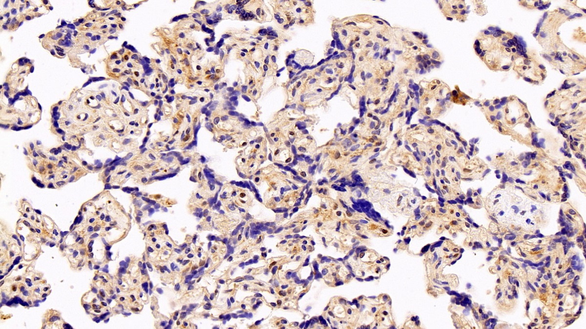
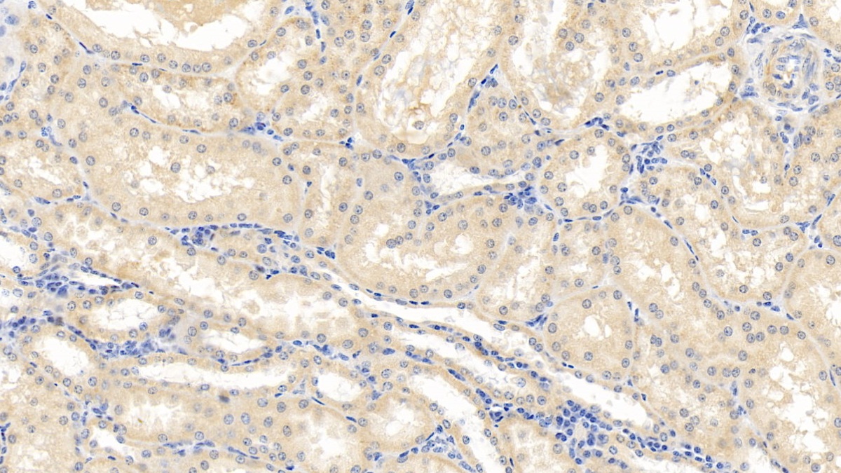
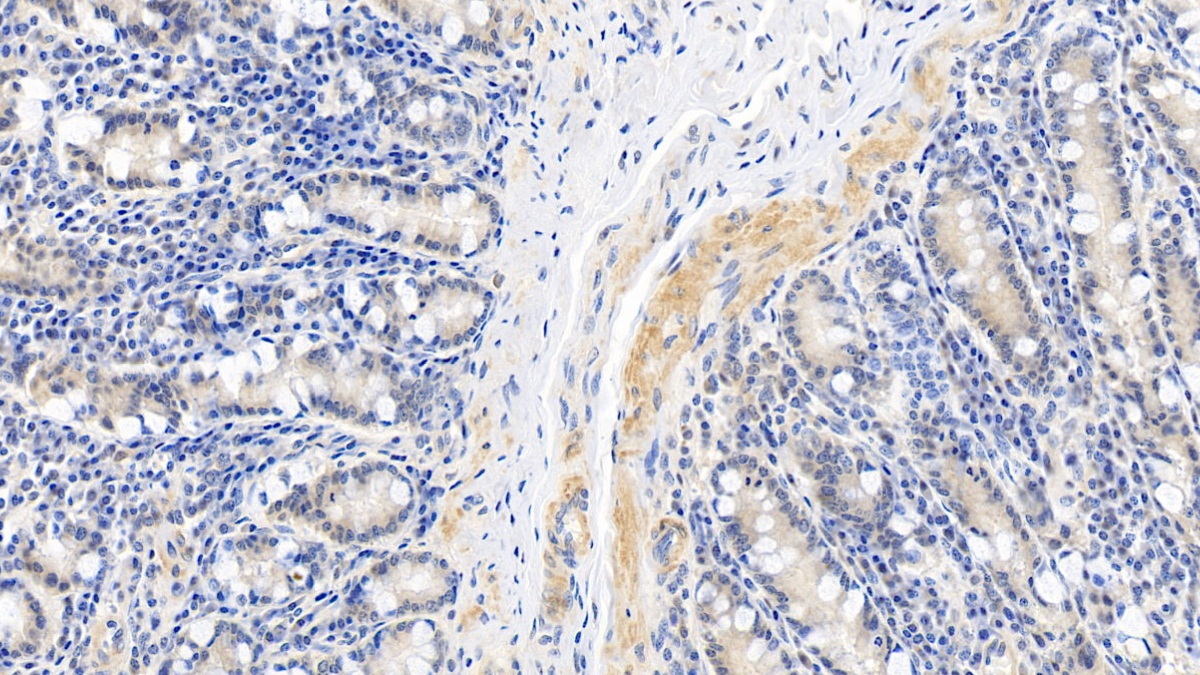
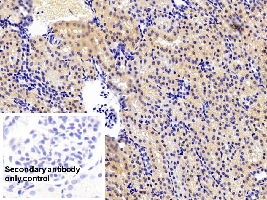
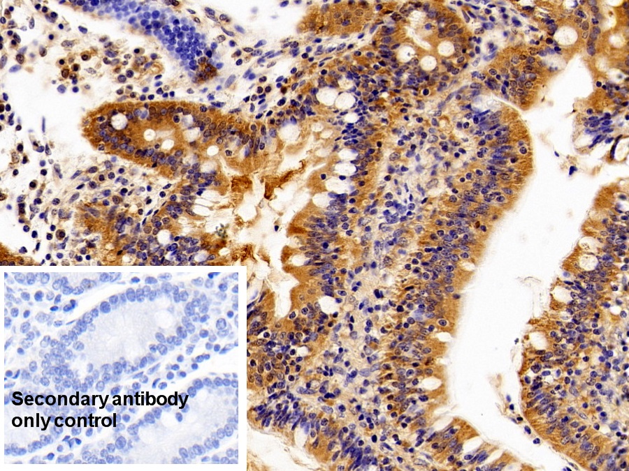
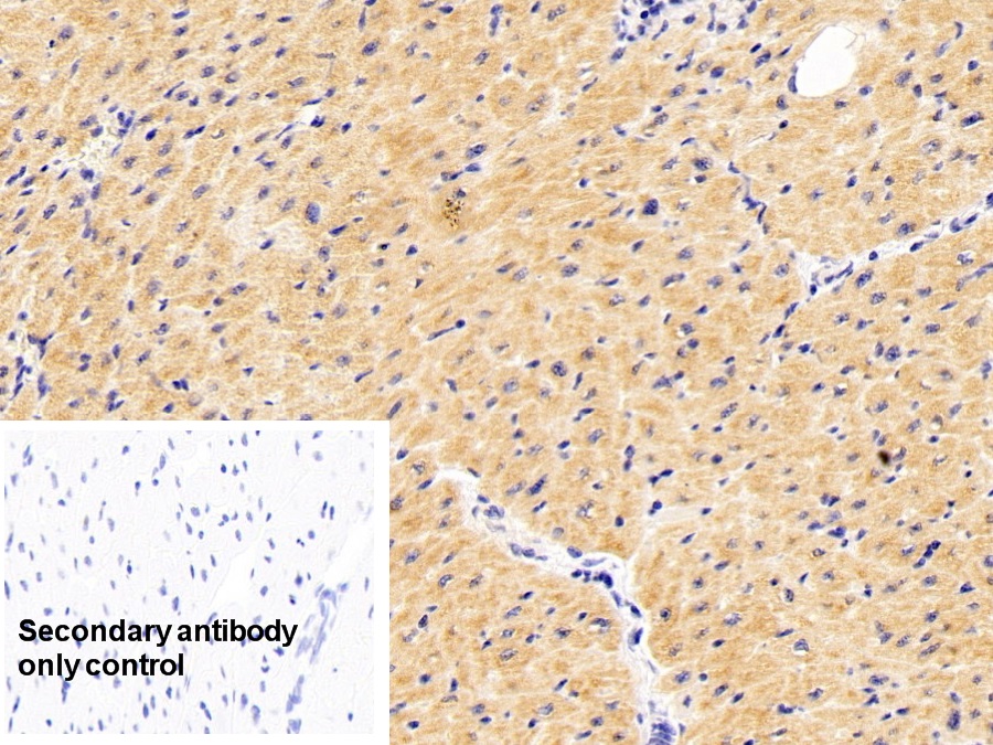
| Валидировано для | IHC WB Иммуногистохимия; Вестерн-блоттинг |
| Рекомендуемые разведения | WB: 0.01-2 мкг/мл; IHC: 5-20 мкг/мл; IF: 5-30 мкг/мл; Оптимальное разведение определяется конечным потребителем |
| Метод очистки | Антигенспецифическая аффинная хроматография с последующей аффинной хроматографией с белком А |
| Состав буфера | 0.01M PBS, pH7.4, 0.05% Proclin-300, 50% глицерин |
| Условия доставки | термобокс с аккумуляторами холода |
| Условия хранения | Сразу после получения аликвотировать и хранить при -20ºС до 24 месяцев. Для частого использования хранить при +4ºС не более 2 недель. Избегать повторения циклов замерзания/оттаивания |
| Срок хранения | 24 месяца |
| Производитель | Cloud-Clone Corp. |
| Ссылка на страницу товара на сайте производителя | http://www.cloud-clone.com/products/PAB592Po01.html |
|
Артикул
|
Наименование |
Производитель
|
|---|
|
Артикул
|
Наименование |
Производитель
|
|---|
|
Артикул
|
Наименование |
Производитель
|
|---|
|
Артикул
|
Наименование |
Производитель
|
|---|
|
Артикул
|
Наименование |
Производитель
|
|---|
|
Артикул
|
Наименование |
Производитель
|
|---|
|
Артикул
|
Наименование |
Производитель
|
|---|
|
Артикул
|
Наименование |
Производитель
|
|---|
|
Артикул
|
Наименование |
Производитель
|
|---|
Акции и предложения
Популярные продукты:
Mouse Cyclosporine A ELISA kit (E03C0832)
Организм: мышь
Диапазон определения: 50-1000 нг/мл
Чувствительность: 1 нг/мл
Диапазон определения: 50-1000 нг/мл
Чувствительность: 1 нг/мл
Chicken Streptozotocin ELISA kit (E12S0833)
Организм: курица
Guinea Pig Caspase recruitment domain containing protein 14(CARD14) ELISA kit (E05C1375)
Организм: морская свинка
Sheep Arylsulfatase A(ARSA) ELISA kit (E14A1683)
Организм: овца
Human Anoctamin 6(ANO6) ELISA kit (E01A1532)
Организм: человек
Диапазон определения: 0.5-10 нг/мл
Чувствительность: 0.1 нг/мл
Диапазон определения: 0.5-10 нг/мл
Чувствительность: 0.1 нг/мл
Canine Claudin 12(CLDN12) ELISA kit (E08C0976)
Организм: собака

