| UNIPROT | P42575 |
| Иммуноген | RPA244Hu02-Recombinant Caspase 2 (CASP2) |
Polyclonal Antibody to Caspase 2 (CASP2) (PAA244Hu02)
Реактивность подтвержденная:
человек
Источник (хозяин):
кролик
Валидировано для:
IHC
WB
Характеристики
Техническое описание
| Русское название | PAA244Hu02 Поликлональное антитело к CASP2 (человек) <Cloud-Clone,Китай> |
| Каталожный номер | PAA244Hu02 |
| Название антигена | Caspase 2 (CASP2) |
| UNIPROT | P42575 |
| Иммуноген | RPA244Hu02-Recombinant Caspase 2 (CASP2) |
| Английские синонимы | ICH1L, NEDD2, ICH-1L/1S, Cysteinyl Aspartate Specific Proteinases 2, Apoptosis-Related Cysteine Peptidase, Neural Precursor Cell Expressed Developmentally Down-Regulated 2, CASP-2, Caspase-2 |
| Русские синонимы | каспаза-2 |
Реактивность подтвержденная Нужна другая реактивность? |
человек |
| Реактивность предсказываемая | мышь, крыса, свинья |
| Источник (хозяин) | кролик |
| Клональность | поликлональное |
| Рекомбинантное | нет |
| Готовое к использованию | нет |
| Концентрация | 0.5 мг/мл |
| Конъюгат | По запросу: HRP, biotin, PerCP, PE, Cy3, FITC, Cy7, Cy5.5, PE-Cy5, PE-Cy7, PerCp-Cy5.5, APC, Cy5, PE-Cy3, PE-Cy5.5, APC-Cy7, Biotin-APC, FITC-Biotin, TRITC, APC-Cy5, AF488, AF594, AF405, AF555, AF700, AF647, AF750 |
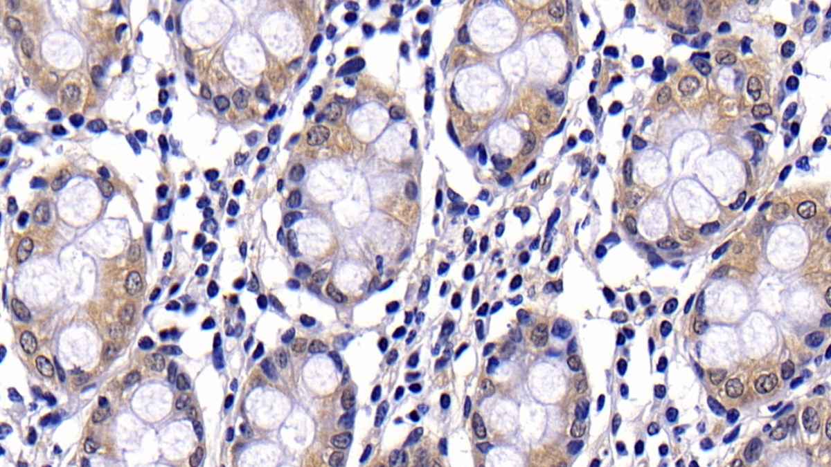
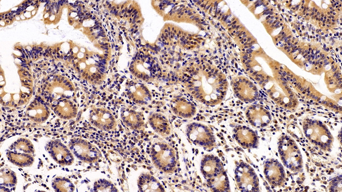
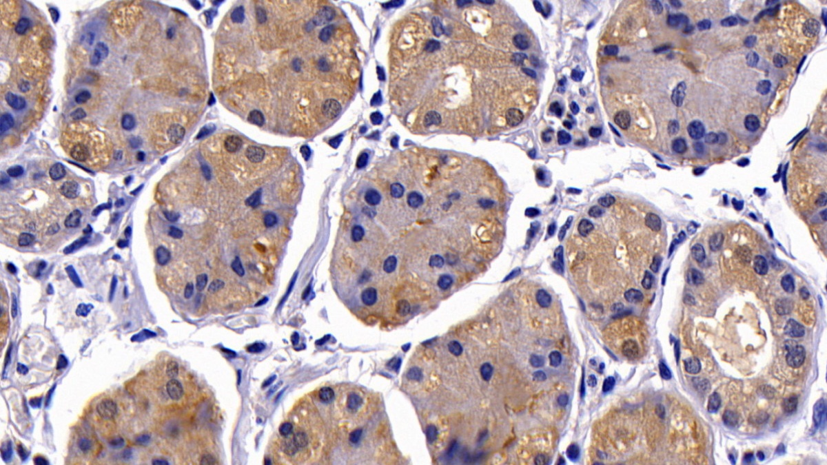
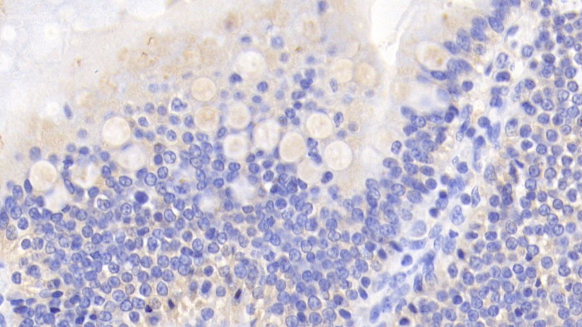
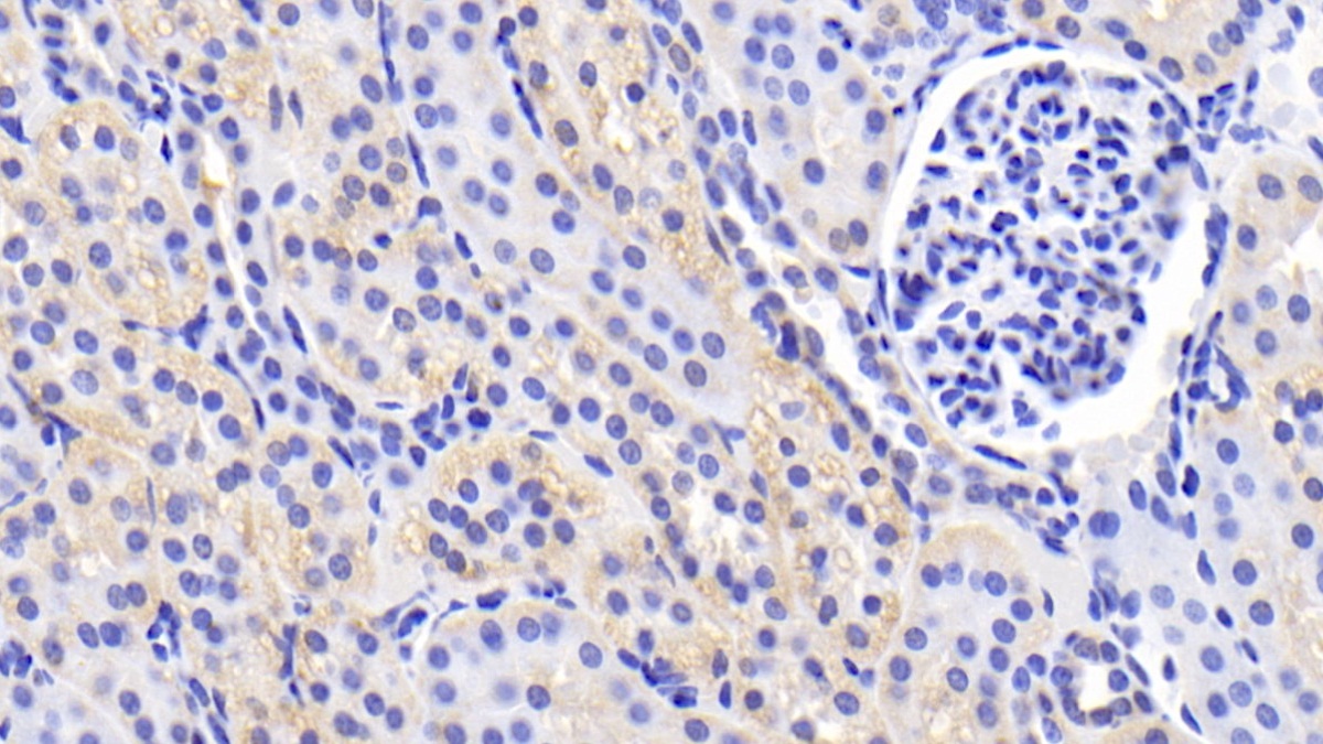
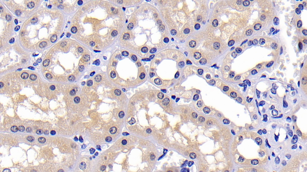
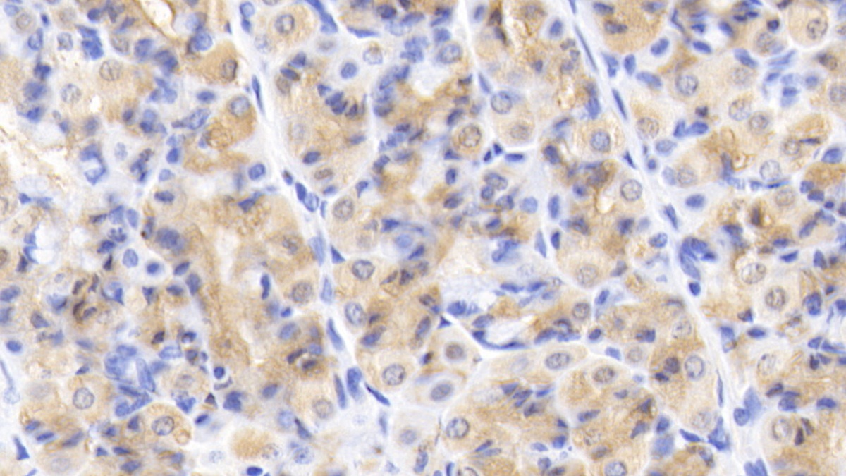
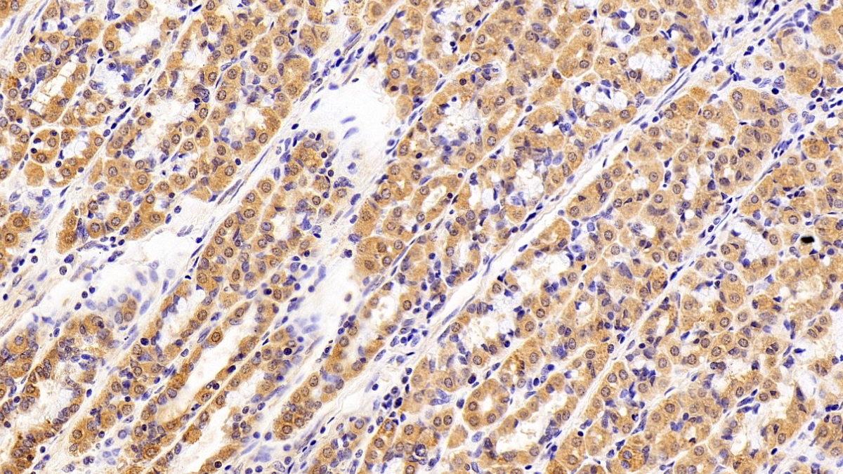
| Валидировано для | IHC WB Иммуногистохимия; Вестерн-блоттинг |
| Рекомендуемые разведения | WB: 0.2-3 мкг/мл; IHC: 2-30 мкг/мл; ICC: 2-30 мкг/мл; Оптимальное разведение определяется конечным потребителем |
| Метод очистки | Антигенспецифическая аффинная хроматография с последующей аффинной хроматографией с белком А |
| Состав буфера | 0.01M PBS, pH7.4, 0.05% Proclin-300, 50% глицерин |
| Условия доставки | термобокс с аккумуляторами холода |
| Условия хранения | Сразу после получения аликвотировать и хранить при -20ºС до 24 месяцев. Для частого использования хранить при +4ºС не более 2 недель. Избегать повторения циклов замерзания/оттаивания |
| Срок хранения | 24 месяца |
| Производитель | Cloud-Clone Corp. |
| Ссылка на страницу товара на сайте производителя | http://www.cloud-clone.com/products/PAA244Hu02.html |
|
Артикул
|
Наименование |
Производитель
|
|---|
|
Артикул
|
Наименование |
Производитель
|
|---|
|
Артикул
|
Наименование |
Производитель
|
|---|
Акции и предложения
Популярные продукты:
Monoclonal Antibody to Complement Component 5 (C5) (MAB969Ra23)
Источник (хозяин): мышь
Реактивность подтвержденная: крыса
Валидировано для: WB
Реактивность подтвержденная: крыса
Валидировано для: WB
Guinea Pig β parvin(PARVB) ELISA kit (E05B0959)
Организм: морская свинка
Chicken Protein regulator of cytokinesis 1 ELISA kit (E12P1248)
Организм: курица
Porcine Spondin 1(SPON1) ELISA kit (E07S0397)
Организм: свинья
Human Fatty Acid Binding Protein 4, Adipocyte ELISA kit (E01F0035)
Организм: человек
Диапазон определения: 1-25 нг/мл
Чувствительность: 0.1 нг/мл
Диапазон определения: 1-25 нг/мл
Чувствительность: 0.1 нг/мл
Chicken Caspase 2 ELISA kit (E12C0097)
Организм: курица

