| UNIPROT | P49662 |
| Иммуноген | RPB735Hu02-Recombinant Caspase 4 (CASP4) |
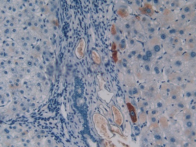
Polyclonal Antibody to Caspase 4 (CASP4) (PAB735Hu02)
Реактивность подтвержденная:
человек
Источник (хозяин):
кролик
Валидировано для:
IHC
WB
Характеристики
Техническое описание
| Русское название | PAB735Hu02 Поликлональное антитело к CASP4 (человек) <Cloud-Clone,Китай> |
| Каталожный номер | PAB735Hu02 |
| Название антигена | Caspase 4 (CASP4) |
| UNIPROT | P49662 |
| Иммуноген | RPB735Hu02-Recombinant Caspase 4 (CASP4) |
| Английские синонимы | ICE(rel)II, ICH2, TX, Protease ICH-2, Cysteinyl Aspartate Specific Proteinases 4, Apoptosis-Related Cysteine Peptidase, CASP-4, Caspase-4 |
| Русские синонимы | каспаза-4 |
Реактивность подтвержденная Нужна другая реактивность? |
человек |
| Реактивность предсказываемая | мышь, крыса |
| Источник (хозяин) | кролик |
| Клональность | поликлональное |
| Рекомбинантное | нет |
| Готовое к использованию | нет |
| Концентрация | 0.5 мг/мл |
| Конъюгат | По запросу: HRP, biotin, PerCP, PE, Cy3, FITC, Cy7, Cy5.5, PE-Cy5, PE-Cy7, PerCp-Cy5.5, APC, Cy5, PE-Cy3, PE-Cy5.5, APC-Cy7, Biotin-APC, FITC-Biotin, TRITC, APC-Cy5, AF488, AF594, AF405, AF555, AF700, AF647, AF750 |
| Валидировано для | IHC WB Иммуногистохимия; Вестерн-блоттинг |
| Рекомендуемые разведения | WB: 0.5-2 мкг/мл; IHC: 5-20 мкг/мл; ICC: 5-20 мкг/мл; Оптимальное разведение определяется конечным потребителем |
| Метод очистки | Антигенспецифическая аффинная хроматография с последующей аффинной хроматографией с белком А |
| Состав буфера | 0.01M PBS, pH7.4, 0.05% Proclin-300, 50% глицерин |
| Условия доставки | термобокс с аккумуляторами холода |
| Условия хранения | Сразу после получения аликвотировать и хранить при -20ºС до 24 месяцев. Для частого использования хранить при +4ºС не более 2 недель. Избегать повторения циклов замерзания/оттаивания |
| Срок хранения | 24 месяца |
| Производитель | Cloud-Clone Corp. |
| Ссылка на страницу товара на сайте производителя | http://www.cloud-clone.com/products/PAB735Hu02.html |
|
Артикул
|
Наименование |
Производитель
|
|---|
|
Артикул
|
Наименование |
Производитель
|
|---|
|
Артикул
|
Наименование |
Производитель
|
|---|
|
Артикул
|
Наименование |
Производитель
|
|---|
|
Артикул
|
Наименование |
Производитель
|
|---|
|
Артикул
|
Наименование |
Производитель
|
|---|
Акции и предложения
Популярные продукты:
Goat Histone H2A ELISA Kit (E06H1457)
Организм: коза
ELISA Kit for Interleukin 23 (IL23) (SEX262Mu)
Организм: мышь
Диапазон определения: 15.6-1,000 пг/мл
Чувствительность: 0.117 нг/мл
Диапазон определения: 15.6-1,000 пг/мл
Чувствительность: 0.117 нг/мл
Chicken Bloom syndrome protein(BLM) ELISA kit (E12B0804)
Организм: курица
Bovine Bloom syndrome protein(BLM) ELISA kit (E11B0804)
Организм: корова
Porcine Bloom syndrome protein(BLM) ELISA kit (E07B0804)
Организм: свинья
Goat Bloom syndrome protein(BLM) ELISA kit (E06B0804)
Организм: коза

