| UNIPROT | Q3T0P5 |
| Иммуноген | RPC340Bo01-Recombinant Caspase 6 (CASP6) |
Polyclonal Antibody to Caspase 6 (CASP6) (PAC340Bo01)
Реактивность подтвержденная:
корова
Источник (хозяин):
кролик
Валидировано для:
IHC
WB
Характеристики
Техническое описание
| Русское название | PAC340Bo01 Поликлональное антитело к CASP6 (корова) <Cloud-Clone,Китай> |
| Каталожный номер | PAC340Bo01 |
| Название антигена | Caspase 6 (CASP6) |
| UNIPROT | Q3T0P5 |
| Иммуноген | RPC340Bo01-Recombinant Caspase 6 (CASP6) |
| Английские синонимы | MCH2, Cysteinyl Aspartate Specific Proteinases 6, Caspase 6,Apoptosis-Related Cysteine Peptidase, Apoptotic protease Mch-2, CASP-6, Caspase-6 |
| Русские синонимы | каспаза-6 |
Реактивность подтвержденная Нужна другая реактивность? |
корова |
| Реактивность предсказываемая | человек, мышь, крыса, свинья |
| Источник (хозяин) | кролик |
| Клональность | поликлональное |
| Рекомбинантное | нет |
| Готовое к использованию | нет |
| Концентрация | 500 мкг/мл |
| Конъюгат | По запросу: HRP, biotin, PerCP, PE, Cy3, FITC, Cy7, Cy5.5, PE-Cy5, PE-Cy7, PerCp-Cy5.5, APC, Cy5, PE-Cy3, PE-Cy5.5, APC-Cy7, Biotin-APC, FITC-Biotin, TRITC, APC-Cy5, AF488, AF594, AF405, AF555, AF700, AF647, AF750 |
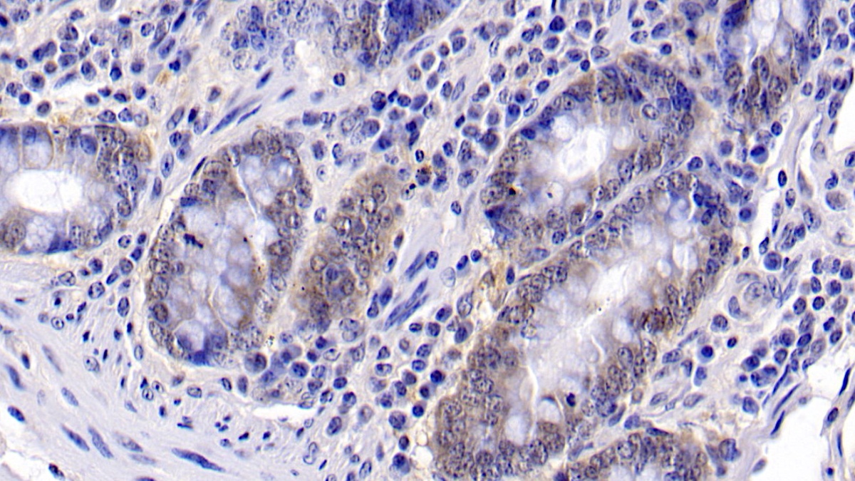
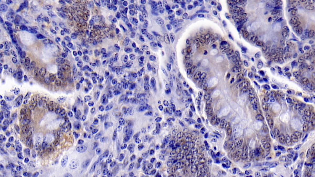
| Валидировано для | IHC WB Иммуногистохимия; Вестерн-блоттинг |
| Рекомендуемые разведения | WB: 0.5-3 мкг/мл; IHC: 5-30 мкг/мл; ICC: 5-30 мкг/мл; Оптимальное разведение определяется конечным потребителем |
| Метод очистки | Антигенспецифическая аффинная хроматография с последующей аффинной хроматографией с белком А |
| Состав буфера | PBS, pH7.4, 0.02% NaN3, 50% глицерин |
| Условия доставки | термобокс с аккумуляторами холода |
| Условия хранения | Сразу после получения аликвотировать и хранить при -20ºС до 24 месяцев. Для частого использования хранить при +4ºС не более 2 недель. Избегать повторения циклов замерзания/оттаивания |
| Срок хранения | 24 месяца |
| Производитель | Cloud-Clone Corp. |
| Ссылка на страницу товара на сайте производителя | http://www.cloud-clone.com/products/PAC340Bo01.html |
|
Артикул
|
Наименование |
Производитель
|
|---|
|
Артикул
|
Наименование |
Производитель
|
|---|
|
Артикул
|
Наименование |
Производитель
|
|---|
|
Артикул
|
Наименование |
Производитель
|
|---|
|
Артикул
|
Наименование |
Производитель
|
|---|
Акции и предложения
Популярные продукты:
Monkey Caspase 6 ELISA kit (E09C0099)
Организм: обезьяна
PON1 Recombinant Rabbit mAb (ARM2709)
Источник (хозяин): кролик
Реактивность подтвержденная: человек, мышь, крыса
Валидировано для: IP, WB
Реактивность подтвержденная: человек, мышь, крыса
Валидировано для: IP, WB
Caspase 10 Antibody (DF6021)
Источник (хозяин): кролик
Реактивность подтвержденная: человек, мышь, крыса
Валидировано для: IHC, WB
Реактивность подтвержденная: человек, мышь, крыса
Валидировано для: IHC, WB
Recombinant Guanylate Binding Protein 1, Interferon Inducible (GBP1) (RPE637Po01)
Источник (хозяин): E.coli
Организм: свинья
Фрагмент: Lys35-Lys275
Теги: N-концевой His-Tag
Биоактивность: нет
Организм: свинья
Фрагмент: Lys35-Lys275
Теги: N-концевой His-Tag
Биоактивность: нет
Anti-Complement 1 Inhibitor (C1INH) Polyclonal Antibody (FAA235Mu03)
Источник (хозяин): кролик
Реактивность подтвержденная: мышь
Валидировано для: FCM
Реактивность подтвержденная: мышь
Валидировано для: FCM
ELISA Kit DIY Materials for Sequestosome 1 (SQSTM1) (KSD198Ra01)
Организм: крыса
Диапазон определения: 0.312-20 нг/мл
Чувствительность: 0.121 нг/мл
Диапазон определения: 0.312-20 нг/мл
Чувствительность: 0.121 нг/мл

