| UNIPROT | P55210 |
| Иммуноген | RPA449Hu01-Recombinant Caspase 7 (CASP7) |
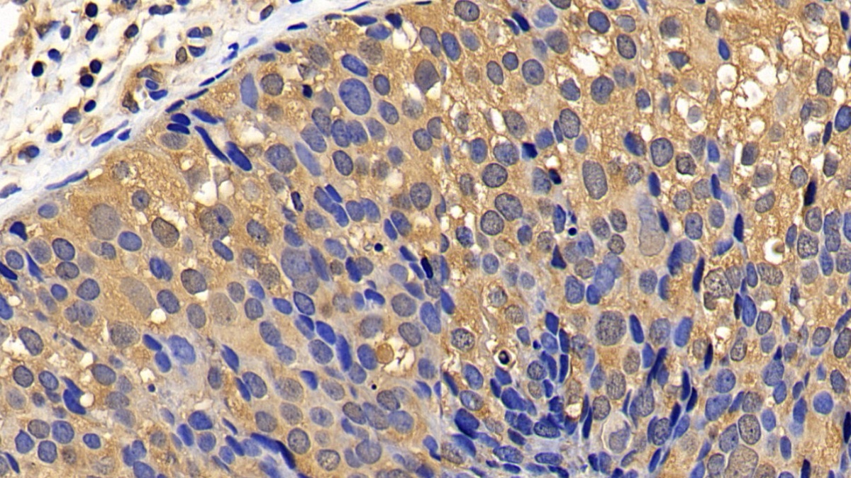
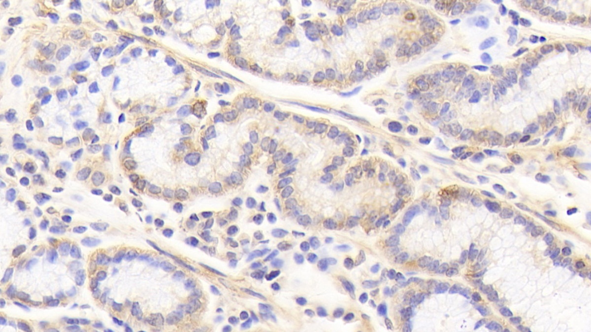
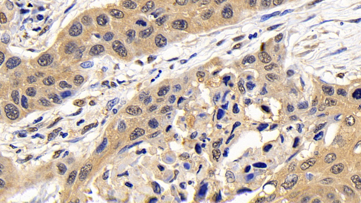
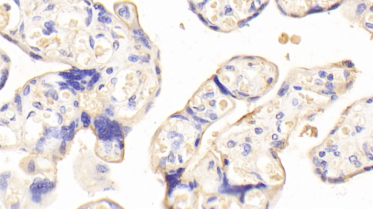
Polyclonal Antibody to Caspase 7 (CASP7) (PAA449Hu01)
Реактивность подтвержденная:
человек
Источник (хозяин):
кролик
Валидировано для:
IHC
WB
Характеристики
Техническое описание
| Русское название | PAA449Hu01 Поликлональное антитело к CASP7 (человек) <Cloud-Clone,Китай> |
| Каталожный номер | PAA449Hu01 |
| Название антигена | Caspase 7 (CASP7) |
| UNIPROT | P55210 |
| Иммуноген | RPA449Hu01-Recombinant Caspase 7 (CASP7) |
| Английские синонимы | CMH1, ICE-LAP3, MCH3, Caspase 7 Apoptosis-Related Cysteine Peptidase, Cysteine Aspartate Protease 7, Cysteinyl Aspartate Specific Proteinases 7, CASP-7, Caspase-7 |
| Русские синонимы | каспаза-7 |
Реактивность подтвержденная Нужна другая реактивность? |
человек |
| Реактивность предсказываемая | крыса, свинья |
| Источник (хозяин) | кролик |
| Клональность | поликлональное |
| Рекомбинантное | нет |
| Готовое к использованию | нет |
| Концентрация | 0.5 мг/мл |
| Конъюгат | По запросу: HRP, biotin, PerCP, PE, Cy3, FITC, Cy7, Cy5.5, PE-Cy5, PE-Cy7, PerCp-Cy5.5, APC, Cy5, PE-Cy3, PE-Cy5.5, APC-Cy7, Biotin-APC, FITC-Biotin, TRITC, APC-Cy5, AF488, AF594, AF405, AF555, AF700, AF647, AF750 |
| Валидировано для | IHC WB Иммуногистохимия; Вестерн-блоттинг |
| Рекомендуемые разведения | WB: 0.01-2 мкг/мл; IHC: 5-20 мкг/мл; ICC: 5-20 мкг/мл; Оптимальное разведение определяется конечным потребителем |
| Метод очистки | Антигенспецифическая аффинная хроматография с последующей аффинной хроматографией с белком А |
| Состав буфера | PBS, pH7.4, 0.02% NaN3, 50% глицерин |
| Условия доставки | термобокс с аккумуляторами холода |
| Условия хранения | Сразу после получения аликвотировать и хранить при -20ºС до 24 месяцев. Для частого использования хранить при +4ºС не более 2 недель. Избегать повторения циклов замерзания/оттаивания |
| Срок хранения | 24 месяца |
| Производитель | Cloud-Clone Corp. |
| Ссылка на страницу товара на сайте производителя | http://www.cloud-clone.com/products/PAA449Hu01.html |
|
Артикул
|
Наименование |
Производитель
|
|---|
|
Артикул
|
Наименование |
Производитель
|
|---|
|
Артикул
|
Наименование |
Производитель
|
|---|
|
Артикул
|
Наименование |
Производитель
|
|---|
|
Артикул
|
Наименование |
Производитель
|
|---|
|
Артикул
|
Наименование |
Производитель
|
|---|
|
Артикул
|
Наименование |
Производитель
|
|---|
Акции и предложения
Популярные продукты:
Monkey Acylamino acid releasing enzyme(APEH) ELISA kit (E09A1588)
Организм: обезьяна
Canine Tryptophane ELISA kit (E08T0140)
Организм: собака
Anti-HSPA9 Polyclonal Antibody (PHE23201)
Источник (хозяин): кролик
Реактивность подтвержденная: человек, мышь, крыса
Валидировано для: ELISA, IHC, WB
Реактивность подтвержденная: человек, мышь, крыса
Валидировано для: ELISA, IHC, WB
Anti-Staphylococcal protein A/SpA Antibody (G3) (RXX05301)
Источник (хозяин): человек
Реактивность подтвержденная: бактерии
Валидировано для: ELISA
Реактивность подтвержденная: бактерии
Валидировано для: ELISA
Anti-CD81 Antibody (R3N76) (RHF34004)
Источник (хозяин): мышь
Реактивность подтвержденная: человек, крыса
Валидировано для: ELISA, FCM, IHC, WB
Реактивность подтвержденная: человек, крыса
Валидировано для: ELISA, FCM, IHC, WB
Polyclonal Antibody to Caspase 7 (CASP7) (PAA449Hu03)
Источник (хозяин): кролик
Реактивность подтвержденная: человек
Валидировано для: ICC, IHC, WB
Реактивность подтвержденная: человек
Валидировано для: ICC, IHC, WB

