| UNIPROT | Q14790 |
| Иммуноген | RPA853Hu03-Recombinant Caspase 8 (CASP8) |
Polyclonal Antibody to Caspase 8 (CASP8) (PAA853Hu03)
Реактивность подтвержденная:
человек
Источник (хозяин):
кролик
Валидировано для:
IHC
WB
Характеристики
Техническое описание
| Русское название | PAA853Hu03 Поликлональное антитело к CASP8 (человек) <Cloud-Clone,Китай> |
| Каталожный номер | PAA853Hu03 |
| Название антигена | Caspase 8 (CASP8) |
| UNIPROT | Q14790 |
| Иммуноген | RPA853Hu03-Recombinant Caspase 8 (CASP8) |
| Английские синонимы | CAP4, FLICE, MACH, MCH5, Cysteinyl Aspartate Specific Proteinases 8, Apoptotic cysteine protease, FADD-homologous ICE/ced-3-like protease, MORT1-associated ced-3 homolog, CASP-8, Caspase-8 |
| Русские синонимы | каспаза-8 |
Реактивность подтвержденная Нужна другая реактивность? |
человек |
| Реактивность предсказываемая | свинья |
| Источник (хозяин) | кролик |
| Клональность | поликлональное |
| Рекомбинантное | нет |
| Готовое к использованию | нет |
| Концентрация | 0.5 мг/мл |
| Конъюгат | По запросу: HRP, biotin, PerCP, PE, Cy3, FITC, Cy7, Cy5.5, PE-Cy5, PE-Cy7, PerCp-Cy5.5, APC, Cy5, PE-Cy3, PE-Cy5.5, APC-Cy7, Biotin-APC, FITC-Biotin, TRITC, APC-Cy5, AF488, AF594, AF405, AF555, AF700, AF647, AF750 |
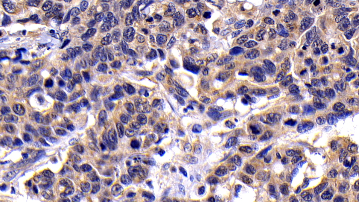
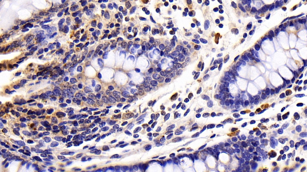
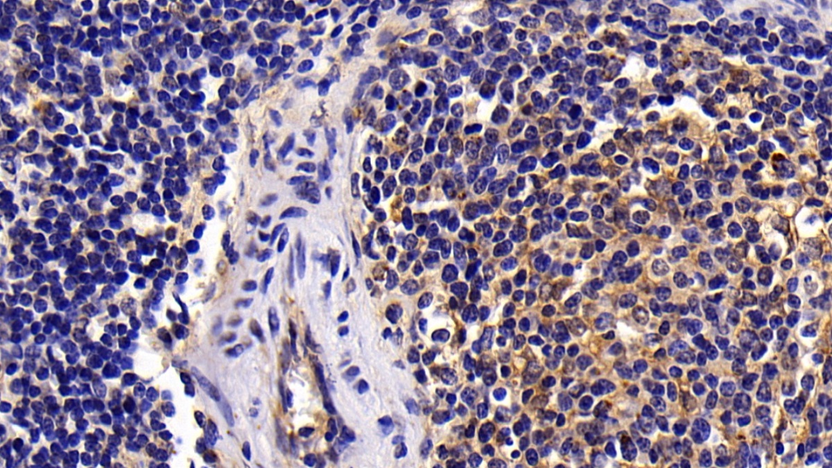
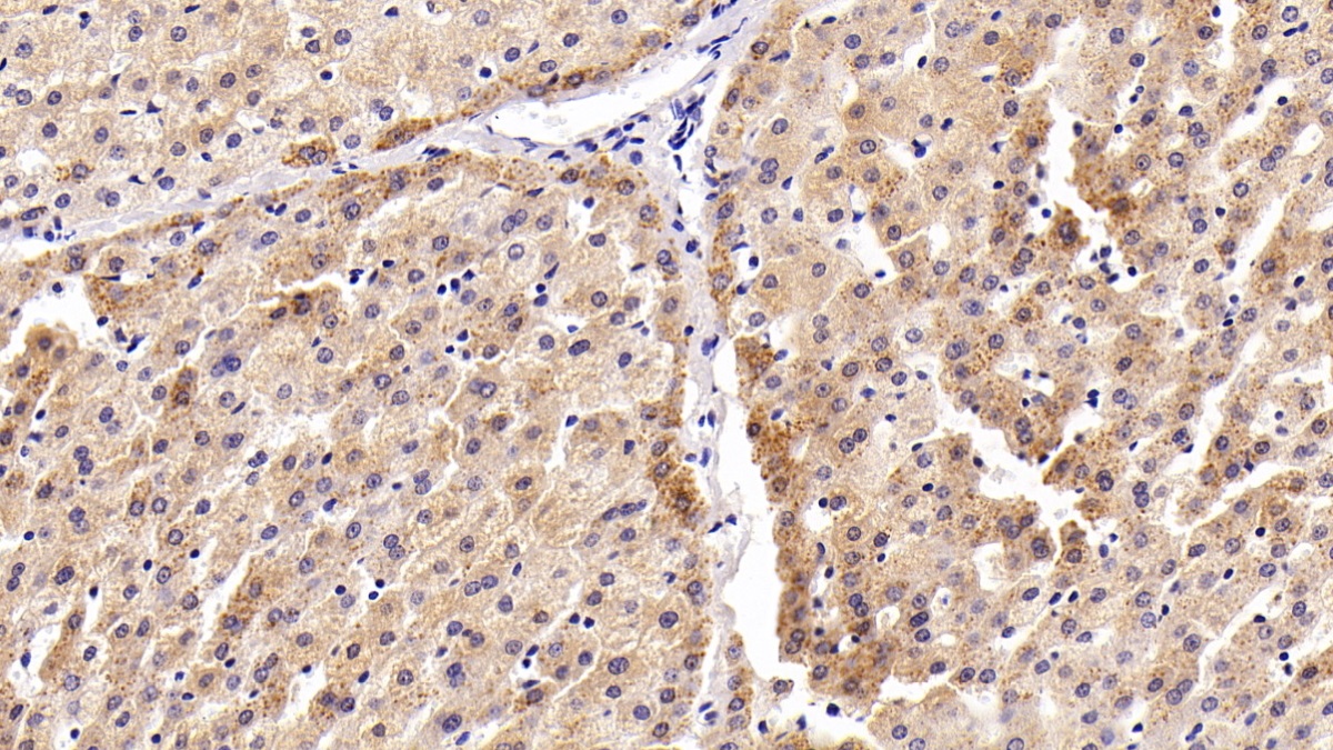
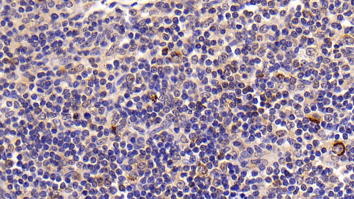
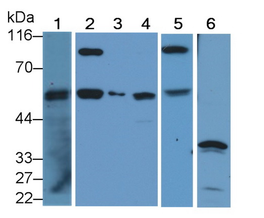
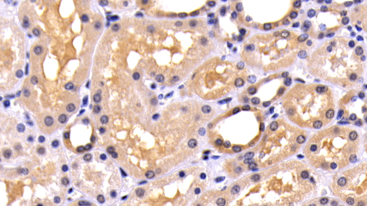
| Валидировано для | IHC WB Иммуногистохимия; Вестерн-блоттинг |
| Рекомендуемые разведения | WB: 0.01-3 мкг/мл; IHC: 5-30 мкг/мл; ICC: 5-30 мкг/мл; Оптимальное разведение определяется конечным потребителем |
| Метод очистки | Антигенспецифическая аффинная хроматография с последующей аффинной хроматографией с белком А |
| Состав буфера | 0.01M PBS, pH7.4, 0.05% Proclin-300, 50% глицерин |
| Условия доставки | термобокс с аккумуляторами холода |
| Условия хранения | Сразу после получения аликвотировать и хранить при -20ºС до 24 месяцев. Для частого использования хранить при +4ºС не более 2 недель. Избегать повторения циклов замерзания/оттаивания |
| Срок хранения | 24 месяца |
| Производитель | Cloud-Clone Corp. |
| Ссылка на страницу товара на сайте производителя | http://www.cloud-clone.com/products/PAA853Hu03.html |
|
Артикул
|
Наименование |
Производитель
|
|---|
|
Артикул
|
Наименование |
Производитель
|
|---|
|
Артикул
|
Наименование |
Производитель
|
|---|
|
Артикул
|
Наименование |
Производитель
|
|---|
|
Артикул
|
Наименование |
Производитель
|
|---|
|
Артикул
|
Наименование |
Производитель
|
|---|
|
Артикул
|
Наименование |
Производитель
|
|---|
|
Артикул
|
Наименование |
Производитель
|
|---|
|
Артикул
|
Наименование |
Производитель
|
|---|
Акции и предложения
Популярные продукты:
Recombinant Human PBEF/NAMPT Protein (His Tag) (PDEH100673)
Источник (хозяин): E.coli
Организм: человек
Фрагмент: Met1-His491
Теги: N-His
Биоактивность: нет
Организм: человек
Фрагмент: Met1-His491
Теги: N-His
Биоактивность: нет
Recombinant Human NANS/SAS Protein (His Tag) (PKSH032780)
Источник (хозяин): E.coli
Организм: человек
Фрагмент: Met 1-Ser359
Теги: N-His
Биоактивность: нет
Организм: человек
Фрагмент: Met 1-Ser359
Теги: N-His
Биоактивность: нет
Recombinant Human RET Protein(His Tag) (PDMH100184)
Источник (хозяин): клетки млекопитающих
Организм: человек
Фрагмент: Leu29-Arg635
Теги: C-His
Биоактивность: нет
Организм: человек
Фрагмент: Leu29-Arg635
Теги: C-His
Биоактивность: нет
Recombinant Human Midkine protein(N-His) (PKSH034177)
Источник (хозяин): E.coli
Организм: человек
Фрагмент: Val 21-Asp 143
Теги: C-His
Биоактивность: нет
Организм: человек
Фрагмент: Val 21-Asp 143
Теги: C-His
Биоактивность: нет
Recombinant Human MICB Protein(Fc Tag) (PDMH100236)
Источник (хозяин): клетки млекопитающих
Организм: человек
Фрагмент: Ala23-Gly298
Теги: C-Fc
Биоактивность: нет
Организм: человек
Фрагмент: Ala23-Gly298
Теги: C-Fc
Биоактивность: нет

