| UNIPROT | O89110 |
| Иммуноген | RPA853Mu01-Recombinant Caspase 8 (CASP8) |
Polyclonal Antibody to Caspase 8 (CASP8) (PAA853Mu01)
Реактивность подтвержденная:
мышь
Источник (хозяин):
кролик
Валидировано для:
IHC
WB
Характеристики
Техническое описание
| Русское название | PAA853Mu01 Поликлональное антитело к CASP8 (мышь) <Cloud-Clone,Китай> |
| Каталожный номер | PAA853Mu01 |
| Название антигена | Caspase 8 (CASP8) |
| UNIPROT | O89110 |
| Иммуноген | RPA853Mu01-Recombinant Caspase 8 (CASP8) |
| Английские синонимы | CAP4, FLICE, MACH, MCH5, Cysteinyl Aspartate Specific Proteinases 8, Apoptotic cysteine protease, FADD-homologous ICE/ced-3-like protease, MORT1-associated ced-3 homolog, CASP-8, Caspase-8 |
| Русские синонимы | каспаза-8 |
Реактивность подтвержденная Нужна другая реактивность? |
мышь |
| Реактивность предсказываемая | человек, крыса |
| Источник (хозяин) | кролик |
| Клональность | поликлональное |
| Рекомбинантное | нет |
| Готовое к использованию | нет |
| Концентрация | 0.5 мг/мл |
| Конъюгат | По запросу: HRP, biotin, PerCP, PE, Cy3, FITC, Cy7, Cy5.5, PE-Cy5, PE-Cy7, PerCp-Cy5.5, APC, Cy5, PE-Cy3, PE-Cy5.5, APC-Cy7, Biotin-APC, FITC-Biotin, TRITC, APC-Cy5, AF488, AF594, AF405, AF555, AF700, AF647, AF750 |
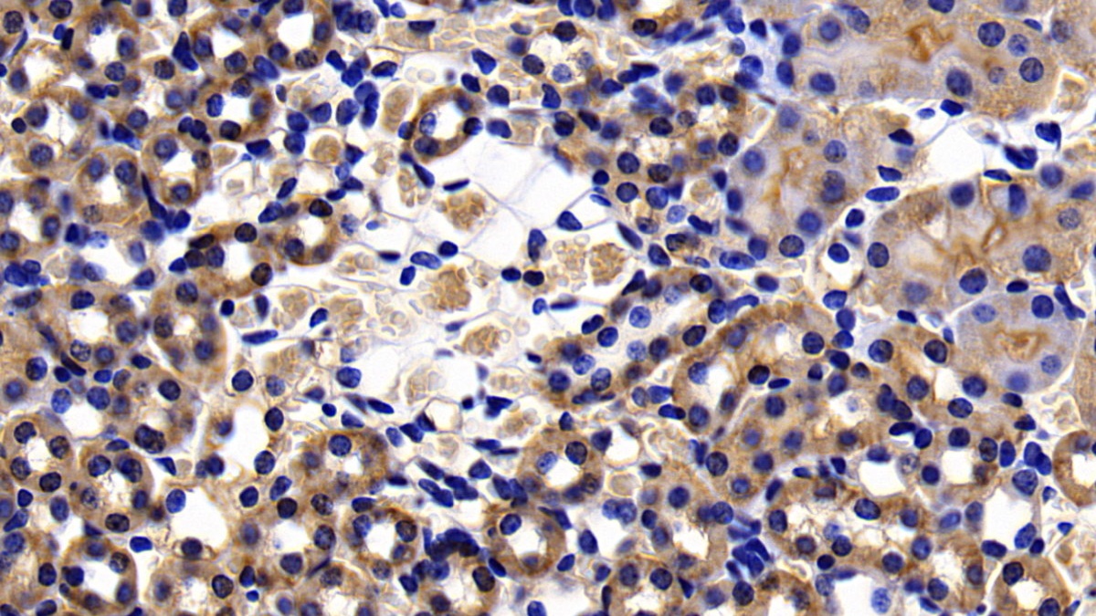
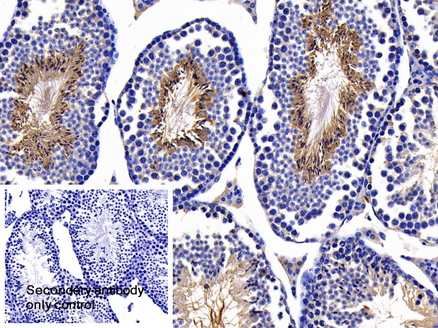
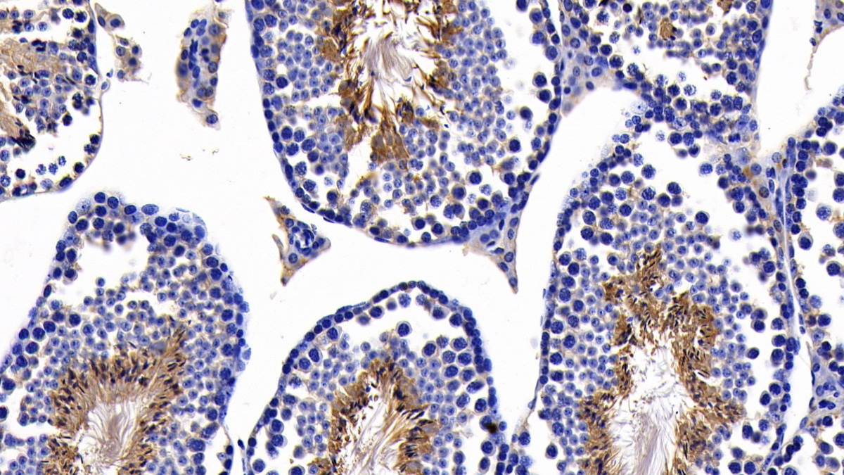
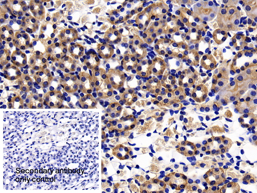
| Валидировано для | IHC WB Иммуногистохимия; Вестерн-блоттинг |
| Рекомендуемые разведения | WB: 0.2-2 мкг/мл; IHC: 5-20 мкг/мл; ICC: 5-20 мкг/мл; Оптимальное разведение определяется конечным потребителем |
| Метод очистки | Антигенспецифическая аффинная хроматография с последующей аффинной хроматографией с белком А |
| Состав буфера | 0.01M PBS, pH7.4, 0.05% Proclin-300, 50% глицерин |
| Условия доставки | термобокс с аккумуляторами холода |
| Условия хранения | Сразу после получения аликвотировать и хранить при -20ºС до 24 месяцев. Для частого использования хранить при +4ºС не более 2 недель. Избегать повторения циклов замерзания/оттаивания |
| Срок хранения | 24 месяца |
| Производитель | Cloud-Clone Corp. |
| Ссылка на страницу товара на сайте производителя | http://www.cloud-clone.com/products/PAA853Mu01.html |
|
Артикул
|
Наименование |
Производитель
|
|---|
|
Артикул
|
Наименование |
Производитель
|
|---|
|
Артикул
|
Наименование |
Производитель
|
|---|
|
Артикул
|
Наименование |
Производитель
|
|---|
|
Артикул
|
Наименование |
Производитель
|
|---|
|
Артикул
|
Наименование |
Производитель
|
|---|
|
Артикул
|
Наименование |
Производитель
|
|---|
|
Артикул
|
Наименование |
Производитель
|
|---|
|
Артикул
|
Наименование |
Производитель
|
|---|
Акции и предложения
Популярные продукты:
InVivoMAb Anti-Mouse/Rat CLEC5A/MDL-1 Antibody (Iv0289) (VMK16001)
Источник (хозяин): мышь
Реактивность подтвержденная: мышь, крыса
Валидировано для: ELISA, FuncS
Реактивность подтвержденная: мышь, крыса
Валидировано для: ELISA, FuncS
Anti-Plasmodium falciparum CSP Antibody (FS0293) (RXX55201)
Источник (хозяин): человек
Реактивность подтвержденная: простейшие
Валидировано для: ELISA, NEUT
Реактивность подтвержденная: простейшие
Валидировано для: ELISA, NEUT
Anti-Aldurazyme/Laronidase Polyclonal Antibody (PHE11402)
Источник (хозяин): кролик
Реактивность подтвержденная: человек
Валидировано для: ELISA, WB
Реактивность подтвержденная: человек
Валидировано для: ELISA, WB
Benralizumab ELISA Kit (KDF86301)
Организм: человек
Диапазон определения: 78.125 - 5,000 нг/мл
Чувствительность: 33.12 нг/мл
Диапазон определения: 78.125 - 5,000 нг/мл
Чувствительность: 33.12 нг/мл
Multiplex Assay Kit for Bromodomain Containing Protein 4 (BRD4) (LMF129Hu)
Организм: человек
Диапазон определения: 0.01-10 нг/мл
Чувствительность: 0.003 нг/мл
Диапазон определения: 0.01-10 нг/мл
Чувствительность: 0.003 нг/мл
ELISA Kit DIY Materials for Integrin Alpha 4 (ITGa4) (KSB315Hu01)
Организм: человек
Диапазон определения: 0.312-20 нг/мл
Чувствительность: 0.114 нг/мл
Диапазон определения: 0.312-20 нг/мл
Чувствительность: 0.114 нг/мл

