| UNIPROT | P07339 |
| Иммуноген | RPB280Hu01-Recombinant Cathepsin D (CTSD) |
Polyclonal Antibody to Cathepsin D (CTSD) (PAB280Hu01)
Реактивность подтвержденная:
человек
Источник (хозяин):
кролик
Валидировано для:
IHC
WB
Характеристики
Публикации
Техническое описание
| Русское название | PAB280Hu01 Поликлональное антитело к CTSD (человек) <Cloud-Clone,Китай> |
| Каталожный номер | PAB280Hu01 |
| Название антигена | Cathepsin D (CTSD) |
| UNIPROT | P07339 |
| Иммуноген | RPB280Hu01-Recombinant Cathepsin D (CTSD) |
| Английские синонимы | CPSD, CLN10, Lysosomal Aspartyl Protease, Ceroid-Lipofuscinosis,Neuronal 10 |
Реактивность подтвержденная Нужна другая реактивность? |
человек |
| Реактивность предсказываемая | мышь, крыса |
| Источник (хозяин) | кролик |
| Клональность | поликлональное |
| Рекомбинантное | нет |
| Готовое к использованию | нет |
| Концентрация | 0.5 мг/мл |
| Конъюгат | По запросу: HRP, biotin, PerCP, PE, Cy3, FITC, Cy7, Cy5.5, PE-Cy5, PE-Cy7, PerCp-Cy5.5, APC, Cy5, PE-Cy3, PE-Cy5.5, APC-Cy7, Biotin-APC, FITC-Biotin, TRITC, APC-Cy5, AF488, AF594, AF405, AF555, AF700, AF647, AF750 |
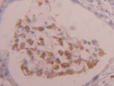
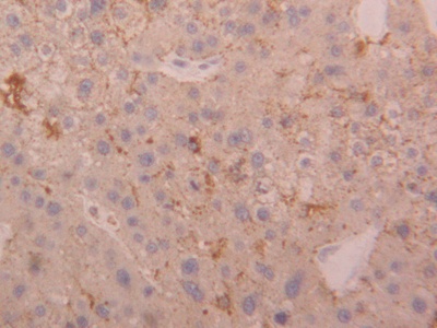
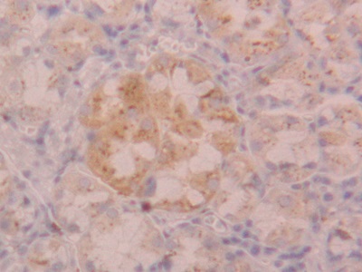
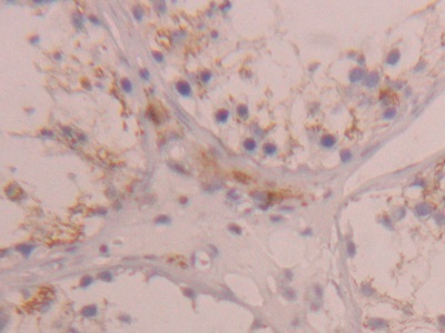
| Валидировано для | IHC WB Иммуногистохимия; Вестерн-блоттинг |
| Рекомендуемые разведения | WB: 0.01-2 мкг/мл; IHC: 5-20 мкг/мл; ICC: 5-20 мкг/мл; Оптимальное разведение определяется конечным потребителем |
| Метод очистки | Антигенспецифическая аффинная хроматография с последующей аффинной хроматографией с белком А |
| Состав буфера | 0.01M PBS, pH7.4, 0.05% Proclin-300, 50% глицерин |
| Условия доставки | термобокс с аккумуляторами холода |
| Условия хранения | Сразу после получения аликвотировать и хранить при -20ºС до 24 месяцев. Для частого использования хранить при +4ºС не более 2 недель. Избегать повторения циклов замерзания/оттаивания |
| Срок хранения | 24 месяца |
| Производитель | Cloud-Clone Corp. |
| Ссылка на страницу товара на сайте производителя | http://www.cloud-clone.com/products/PAB280Hu01.html |
|
Артикул
|
Наименование |
Производитель
|
|---|
|
Артикул
|
Наименование |
Производитель
|
|---|
|
Артикул
|
Наименование |
Производитель
|
|---|
|
Артикул
|
Наименование |
Производитель
|
|---|
|
Артикул
|
Наименование |
Производитель
|
|---|
|
Артикул
|
Наименование |
Производитель
|
|---|
Акции и предложения
Популярные продукты:
ELISA Kit for Angiotensin II (AngII) (CEA005Ra)
Организм: крыса
Диапазон определения: 24.69-2000 пг/мл
Чувствительность: 9.17 пг/мл
Диапазон определения: 24.69-2000 пг/мл
Чувствительность: 9.17 пг/мл
Canine Calponin 3(CNN3) ELISA kit (E08C1855)
Организм: собака
Goat Calponin 3(CNN3) ELISA kit (E06C1855)
Организм: коза
Chicken Centromere protein U(MLF1IP) ELISA kit (E12C0942)
Организм: курица
Human Cerebellin 4(CBLN4) ELISA kit (E01C1410)
Организм: человек
Диапазон определения: 0.5-10 нг/мл
Чувствительность: 0.1 нг/мл
Диапазон определения: 0.5-10 нг/мл
Чувствительность: 0.1 нг/мл
Rat Adapter molecule crk(CRK) ELISA kit (E02A1816)
Организм: крыса

