| UNIPROT | P24268 |
| Иммуноген | RPB280Ra02-Recombinant Cathepsin D (CTSD) |
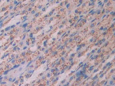
Polyclonal Antibody to Cathepsin D (CTSD) (PAB280Ra02)
Реактивность подтвержденная:
крыса
Источник (хозяин):
кролик
Валидировано для:
IHC
Характеристики
Техническое описание
| Русское название | PAB280Ra02 Поликлональное антитело к CTSD (крыса) <Cloud-Clone,Китай> |
| Каталожный номер | PAB280Ra02 |
| Название антигена | Cathepsin D (CTSD) |
| UNIPROT | P24268 |
| Иммуноген | RPB280Ra02-Recombinant Cathepsin D (CTSD) |
| Английские синонимы | CPSD, CLN10, Lysosomal Aspartyl Protease, Ceroid-Lipofuscinosis,Neuronal 10 |
Реактивность подтвержденная Нужна другая реактивность? |
крыса |
| Реактивность предсказываемая | человек, мышь |
| Источник (хозяин) | кролик |
| Клональность | поликлональное |
| Рекомбинантное | нет |
| Готовое к использованию | нет |
| Концентрация | 500 мкг/мл |
| Конъюгат | По запросу: HRP, biotin, PerCP, PE, Cy3, FITC, Cy7, Cy5.5, PE-Cy5, PE-Cy7, PerCp-Cy5.5, APC, Cy5, PE-Cy3, PE-Cy5.5, APC-Cy7, Biotin-APC, FITC-Biotin, TRITC, APC-Cy5, AF488, AF594, AF405, AF555, AF700, AF647, AF750 |
| Валидировано для | IHC Иммуногистохимия |
| Рекомендуемые разведения | WB: 0.5-2 мкг/мл; 1:150-600; IHC: 5-20 мкг/мл; 1:15-60; ICC: 5-20 мкг/мл; 1:15-60; Оптимальное разведение определяется конечным потребителем |
| Метод очистки | Антигенспецифическая аффинная хроматография с последующей аффинной хроматографией с белком А |
| Состав буфера | 0.01M PBS, pH7.4, 0.05% Proclin-300, 50% глицерин |
| Условия доставки | термобокс с аккумуляторами холода |
| Условия хранения | Сразу после получения аликвотировать и хранить при -20ºС до 24 месяцев. Для частого использования хранить при +4ºС не более 2 недель. Избегать повторения циклов замерзания/оттаивания |
| Срок хранения | 24 месяца |
| Производитель | Cloud-Clone Corp. |
| Ссылка на страницу товара на сайте производителя | http://www.cloud-clone.com/products/PAB280Ra02.html |
|
Артикул
|
Наименование |
Производитель
|
|---|
|
Артикул
|
Наименование |
Производитель
|
|---|
|
Артикул
|
Наименование |
Производитель
|
|---|
|
Артикул
|
Наименование |
Производитель
|
|---|
|
Артикул
|
Наименование |
Производитель
|
|---|
|
Артикул
|
Наименование |
Производитель
|
|---|
Акции и предложения
Популярные продукты:
Recombinant Rhesus macaque B7-H4/VTCN1 Protein (His Tag) (PKSQ050083)
Источник (хозяин): HEK293
Организм: обезьяна
Фрагмент: Phe29-Ala258
Теги: C-His
Биоактивность: да
Организм: обезьяна
Фрагмент: Phe29-Ala258
Теги: C-His
Биоактивность: да
PE/Cyanine7 Anti-Mouse Ly6G Antibody[1A8] (FCE2482)
Источник (хозяин): крыса
Реактивность подтвержденная: мышь
Валидировано для: FCM
Реактивность подтвержденная: мышь
Валидировано для: FCM
Mouse Cytochrome P450 26A1(CYP26A1) ELISA kit (E03C2230)
Организм: мышь
Rat Cannabinoid Receptor 1, Brain ELISA kit (E02C0374)
Организм: крыса
Диапазон определения: 1-25 нг/мл
Чувствительность: 0.1 нг/мл
Диапазон определения: 1-25 нг/мл
Чувствительность: 0.1 нг/мл
Porcine Sclerostin ELISA kit (E07S0207)
Организм: свинья
ELISA Kit DIY Materials for Cholinergic Receptor, Nicotinic, Alpha 1 (CHRNa1) (KSA981Hu01)
Организм: человек
Диапазон определения: 0.78-50 нг/мл
Чувствительность: 0.33 нг/мл
Диапазон определения: 0.78-50 нг/мл
Чувствительность: 0.33 нг/мл

