| UNIPROT | P24268 |
| Иммуноген | RPB280Ra03-Recombinant Cathepsin D (CTSD) |
Polyclonal Antibody to Cathepsin D (CTSD) (PAB280Ra03)
Реактивность подтвержденная:
крыса
Источник (хозяин):
кролик
Валидировано для:
IHC
WB
Характеристики
Техническое описание
| Русское название | PAB280Ra03 Поликлональное антитело к CTSD (крыса) <Cloud-Clone,Китай> |
| Каталожный номер | PAB280Ra03 |
| Название антигена | Cathepsin D (CTSD) |
| UNIPROT | P24268 |
| Иммуноген | RPB280Ra03-Recombinant Cathepsin D (CTSD) |
| Английские синонимы | CPSD, CLN10, Lysosomal Aspartyl Protease, Ceroid-Lipofuscinosis,Neuronal 10 |
Реактивность подтвержденная Нужна другая реактивность? |
крыса |
| Реактивность предсказываемая | человек, мышь |
| Источник (хозяин) | кролик |
| Клональность | поликлональное |
| Рекомбинантное | нет |
| Готовое к использованию | нет |
| Концентрация | 500 мкг/мл |
| Конъюгат | По запросу: HRP, biotin, PerCP, PE, Cy3, FITC, Cy7, Cy5.5, PE-Cy5, PE-Cy7, PerCp-Cy5.5, APC, Cy5, PE-Cy3, PE-Cy5.5, APC-Cy7, Biotin-APC, FITC-Biotin, TRITC, APC-Cy5, AF488, AF594, AF405, AF555, AF700, AF647, AF750 |
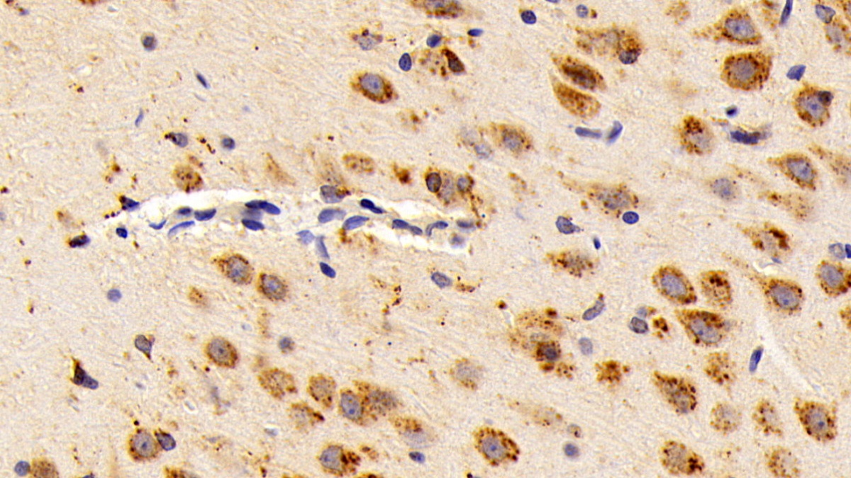
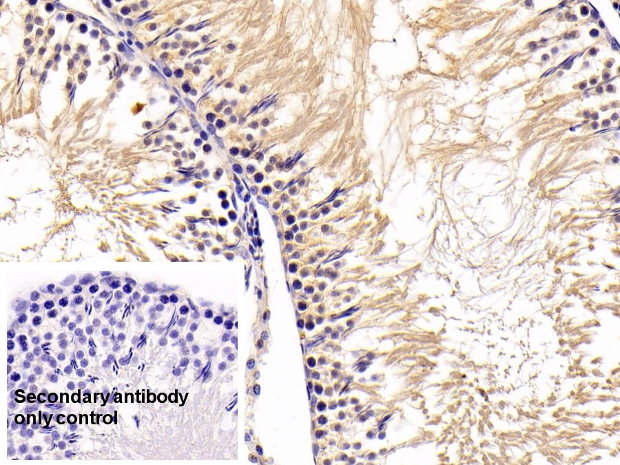
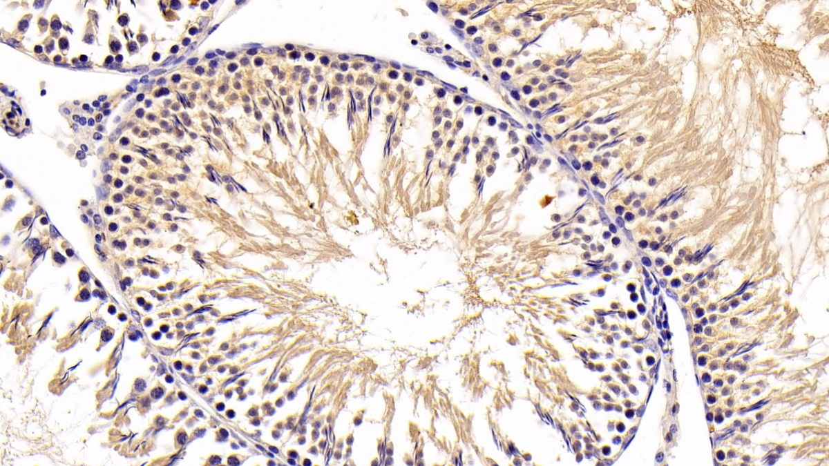
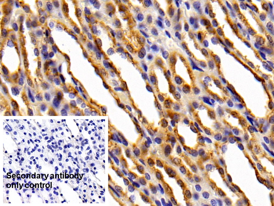
| Валидировано для | IHC WB Иммуногистохимия; Вестерн-блоттинг |
| Рекомендуемые разведения | WB: 0.2-2 мкг/мл; 1:250-2500; IHC: 5-20 мкг/мл; 1:25-100; ICC: 5-20 мкг/мл; 1:25-100; Оптимальное разведение определяется конечным потребителем |
| Метод очистки | Антигенспецифическая аффинная хроматография с последующей аффинной хроматографией с белком А |
| Состав буфера | 0.01M PBS, pH7.4, 0.05% Proclin-300, 50% глицерин |
| Условия доставки | термобокс с аккумуляторами холода |
| Условия хранения | Сразу после получения аликвотировать и хранить при -20ºС до 24 месяцев. Для частого использования хранить при +4ºС не более 2 недель. Избегать повторения циклов замерзания/оттаивания |
| Срок хранения | 24 месяца |
| Производитель | Cloud-Clone Corp. |
| Ссылка на страницу товара на сайте производителя | http://www.cloud-clone.com/products/PAB280Ra03.html |
|
Артикул
|
Наименование |
Производитель
|
|---|
|
Артикул
|
Наименование |
Производитель
|
|---|
|
Артикул
|
Наименование |
Производитель
|
|---|
|
Артикул
|
Наименование |
Производитель
|
|---|
|
Артикул
|
Наименование |
Производитель
|
|---|
|
Артикул
|
Наименование |
Производитель
|
|---|
Акции и предложения
Популярные продукты:
Canine Cystatin D(CST5) ELISA kit (E08C2124)
Организм: собака
Monkey Synapsin I ELISA kit (E09S0831)
Организм: обезьяна
Canine Methylglyoxal ELISA kit (E08M0040)
Организм: собака
Anti-CLDN3/Claudin-3 Antibody (R1D90) (RHA57402)
Источник (хозяин): кролик
Реактивность подтвержденная: человек
Валидировано для: IF, IP, WB
Реактивность подтвержденная: человек
Валидировано для: IF, IP, WB
Anti-Human CNR1 Antibody (SAA0121), PerCP (FHD46214)
Источник (хозяин): человек
Реактивность подтвержденная: человек
Валидировано для: FCM
Реактивность подтвержденная: человек
Валидировано для: FCM

