| UNIPROT | P25326 |
| Иммуноген | RPB933Bo01-Recombinant Cathepsin S (CTSS) |
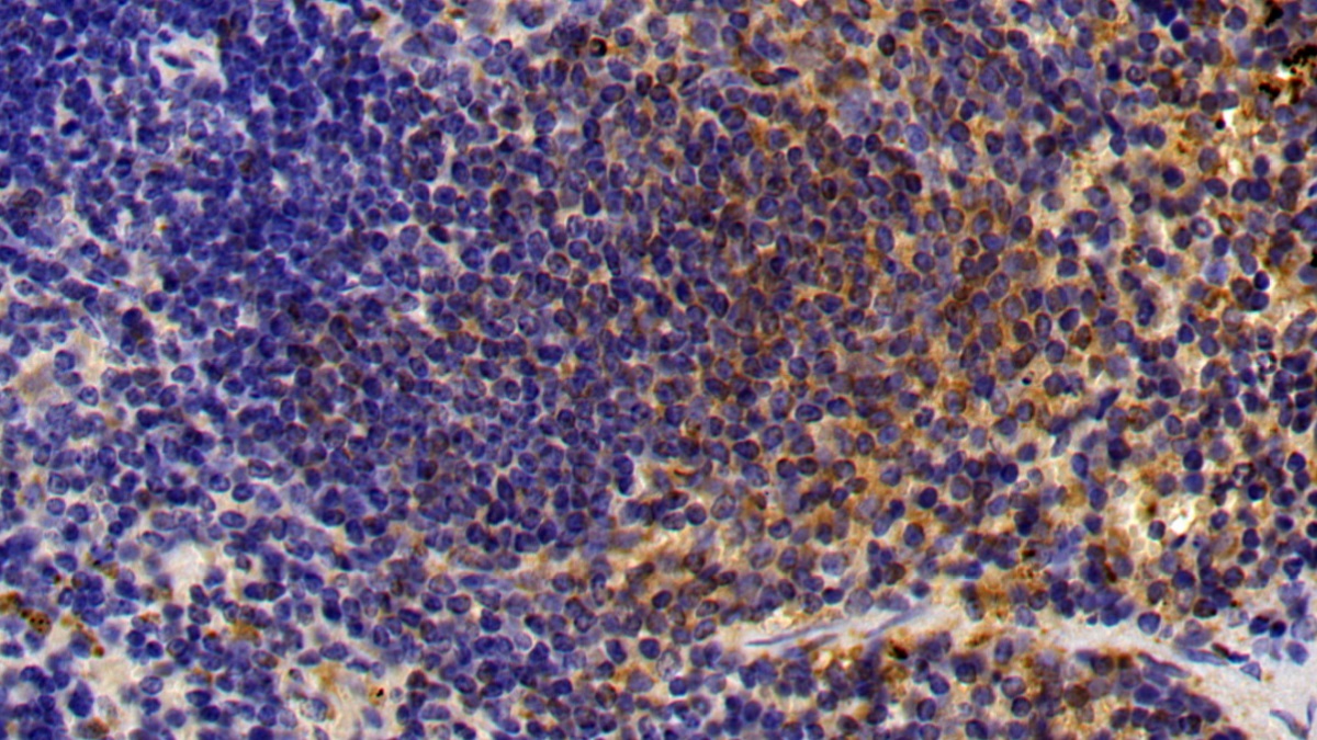
Polyclonal Antibody to Cathepsin S (CTSS) (PAB933Bo01)
Реактивность подтвержденная:
корова
Источник (хозяин):
кролик
Валидировано для:
IHC
WB
Характеристики
Техническое описание
| Русское название | PAB933Bo01 Поликлональное антитело к CTSS (корова) <Cloud-Clone,Китай> |
| Каталожный номер | PAB933Bo01 |
| Название антигена | Cathepsin S (CTSS) |
| UNIPROT | P25326 |
| Иммуноген | RPB933Bo01-Recombinant Cathepsin S (CTSS) |
| Английские синонимы | CTS-S |
| Русские синонимы | CTSS |
Реактивность подтвержденная Нужна другая реактивность? |
корова |
| Реактивность предсказываемая | мышь, крыса, свинья |
| Источник (хозяин) | кролик |
| Клональность | поликлональное |
| Рекомбинантное | нет |
| Готовое к использованию | нет |
| Концентрация | 0.59 мг/мл |
| Конъюгат | По запросу: HRP, biotin, PerCP, PE, Cy3, FITC, Cy7, Cy5.5, PE-Cy5, PE-Cy7, PerCp-Cy5.5, APC, Cy5, PE-Cy3, PE-Cy5.5, APC-Cy7, Biotin-APC, FITC-Biotin, TRITC, APC-Cy5, AF488, AF594, AF405, AF555, AF700, AF647, AF750 |
| Валидировано для | IHC WB Иммуногистохимия; Вестерн-блоттинг |
| Рекомендуемые разведения | WB: 0.01-2 мкг/мл; IHC: 5-20 мкг/мл; ICC: 5-20 мкг/мл; Оптимальное разведение определяется конечным потребителем |
| Метод очистки | Антигенспецифическая аффинная хроматография с последующей аффинной хроматографией с белком А |
| Состав буфера | PBS, pH7.4, 0.02% NaN3, 50% глицерин |
| Условия доставки | термобокс с аккумуляторами холода |
| Условия хранения | Сразу после получения аликвотировать и хранить при -20ºС до 24 месяцев. Для частого использования хранить при +4ºС не более 2 недель. Избегать повторения циклов замерзания/оттаивания |
| Срок хранения | 24 месяца |
| Производитель | Cloud-Clone Corp. |
| Ссылка на страницу товара на сайте производителя | http://www.cloud-clone.com/products/PAB933Bo01.html |
|
Артикул
|
Наименование |
Производитель
|
|---|
|
Артикул
|
Наименование |
Производитель
|
|---|
|
Артикул
|
Наименование |
Производитель
|
|---|
|
Артикул
|
Наименование |
Производитель
|
|---|
Акции и предложения
Популярные продукты:
HPV16/18 E7/Protein E7 ELISA Kit (KVV08903)
Организм: вирусы
Диапазон определения: 15.63 - 1,000 пг/мл
Чувствительность: 8.28 пг/мл
Диапазон определения: 15.63 - 1,000 пг/мл
Чувствительность: 8.28 пг/мл
ELISA Kit DIY Materials for Small Breast Epithelial Mucin (SBEM) (KSB840Hu01)
Организм: человек
Диапазон определения: 0.312-20 нг/мл
Чувствительность: 0.127 нг/мл
Диапазон определения: 0.312-20 нг/мл
Чувствительность: 0.127 нг/мл
ELISA Kit DIY Materials for A Disintegrin And Metalloproteinase With Thrombospondin 5 (ADAMTS5) (KSK205Ra01)
Организм: крыса
Диапазон определения: 0.312-20 нг/мл
Чувствительность: 0.116 нг/мл
Диапазон определения: 0.312-20 нг/мл
Чувствительность: 0.116 нг/мл
Monoclonal Antibody to Antithrombin (AT) (MAC313Ra22)
Источник (хозяин): мышь
Реактивность подтвержденная: крыса
Валидировано для: WB
Реактивность подтвержденная: крыса
Валидировано для: WB

