| UNIPROT | O60911 |
| Иммуноген | RPC970Hu01-Recombinant Cathepsin V (CTSV) |
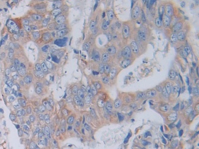
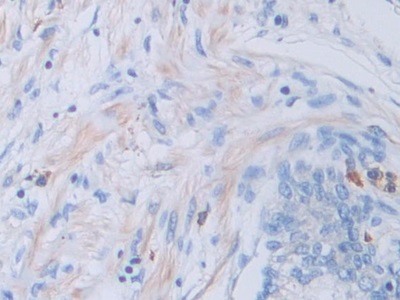
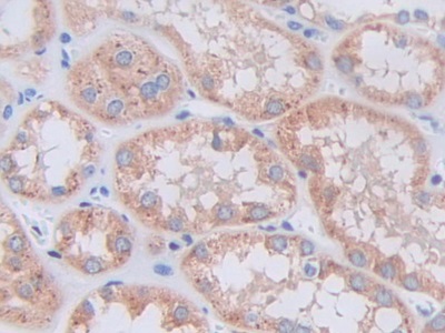
Polyclonal Antibody to Cathepsin V (CTSV) (PAC970Hu01)
Реактивность подтвержденная:
человек
Источник (хозяин):
кролик
Валидировано для:
IHC
Характеристики
Техническое описание
| Русское название | PAC970Hu01 Поликлональное антитело к CTSV (человек) <Cloud-Clone,Китай> |
| Каталожный номер | PAC970Hu01 |
| Название антигена | Cathepsin V (CTSV) |
| UNIPROT | O60911 |
| Иммуноген | RPC970Hu01-Recombinant Cathepsin V (CTSV) |
| Английские синонимы | CTS-L2, CTSL2, CATL2, CTSU, CTS-V, Cathepsin L2 |
| Русские синонимы | V/L2 |
Реактивность подтвержденная Нужна другая реактивность? |
человек |
| Источник (хозяин) | кролик |
| Клональность | поликлональное |
| Рекомбинантное | нет |
| Готовое к использованию | нет |
| Концентрация | 0.5 мг/мл |
| Конъюгат | По запросу: HRP, biotin, PerCP, PE, Cy3, FITC, Cy7, Cy5.5, PE-Cy5, PE-Cy7, PerCp-Cy5.5, APC, Cy5, PE-Cy3, PE-Cy5.5, APC-Cy7, Biotin-APC, FITC-Biotin, TRITC, APC-Cy5, AF488, AF594, AF405, AF555, AF700, AF647, AF750 |
| Валидировано для | IHC Иммуногистохимия |
| Рекомендуемые разведения | WB: 0.01-3 мкг/мл; IHC: 5-30 мкг/мл; ICC: 5-30 мкг/мл; Оптимальное разведение определяется конечным потребителем |
| Метод очистки | Антигенспецифическая аффинная хроматография с последующей аффинной хроматографией с белком А |
| Состав буфера | 0.01M PBS, pH7.4, 0.05% Proclin-300, 50% глицерин |
| Условия доставки | термобокс с аккумуляторами холода |
| Условия хранения | Сразу после получения аликвотировать и хранить при -20ºС до 24 месяцев. Для частого использования хранить при +4ºС не более 2 недель. Избегать повторения циклов замерзания/оттаивания |
| Срок хранения | 24 месяца |
| Производитель | Cloud-Clone Corp. |
| Ссылка на страницу товара на сайте производителя | http://www.cloud-clone.com/products/PAC970Hu01.html |
|
Артикул
|
Наименование |
Производитель
|
|---|
|
Артикул
|
Наименование |
Производитель
|
|---|
Акции и предложения
Популярные продукты:
Mouse Prefoldin subunit 5(PFDN5) ELISA kit (E03P0766)
Организм: мышь
Диапазон определения: 0.5-10 нг/мл
Чувствительность: 0.1 нг/мл
Диапазон определения: 0.5-10 нг/мл
Чувствительность: 0.1 нг/мл
Human Prefoldin subunit 5(PFDN5) ELISA kit (E01P0766)
Организм: человек
Диапазон определения: 0.5-10 нг/мл
Чувствительность: 0.1 нг/мл
Диапазон определения: 0.5-10 нг/мл
Чувствительность: 0.1 нг/мл
Guinea Pig Phospholipidase D ELISA kit (E05P0677)
Организм: морская свинка
Guinea Pig Pyruvate Dehydrogenase Beta ELISA kit (E05P1126)
Организм: морская свинка
Bovine Transcription factor SOX-1(SOX1) ELISA kit (E11T0642)
Организм: корова

