| UNIPROT | Q02224 |
| Иммуноген | RPA276Hu01-Recombinant Centromere Protein E (CENPE) |
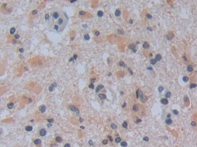
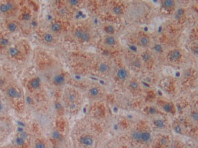
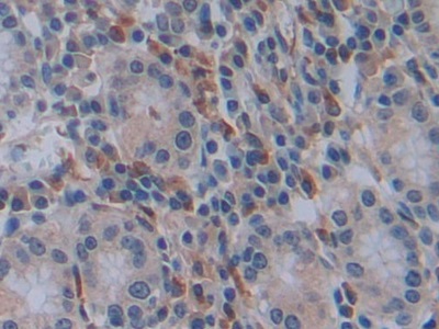
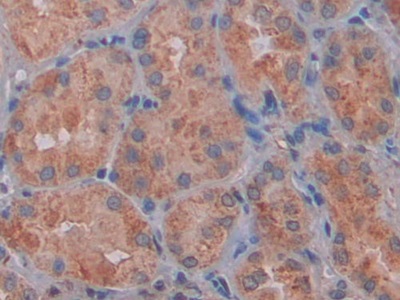
Polyclonal Antibody to Centromere Protein E (CENPE) (PAA276Hu01)
Реактивность подтвержденная:
человек
Источник (хозяин):
кролик
Валидировано для:
IHC
Характеристики
Техническое описание
| Русское название | PAA276Hu01 Поликлональное антитело к CENPE (человек) <Cloud-Clone,Китай> |
| Каталожный номер | PAA276Hu01 |
| Название антигена | Centromere Protein E (CENPE) |
| UNIPROT | Q02224 |
| Иммуноген | RPA276Hu01-Recombinant Centromere Protein E (CENPE) |
| Английские синонимы | CENP-E, KIF10, Centromere-Associated Protein E |
Реактивность подтвержденная Нужна другая реактивность? |
человек |
| Источник (хозяин) | кролик |
| Клональность | поликлональное |
| Рекомбинантное | нет |
| Готовое к использованию | нет |
| Концентрация | 500 мкг/мл |
| Конъюгат | По запросу: HRP, biotin, PerCP, PE, Cy3, FITC, Cy7, Cy5.5, PE-Cy5, PE-Cy7, PerCp-Cy5.5, APC, Cy5, PE-Cy3, PE-Cy5.5, APC-Cy7, Biotin-APC, FITC-Biotin, TRITC, APC-Cy5, AF488, AF594, AF405, AF555, AF700, AF647, AF750 |
| Валидировано для | IHC Иммуногистохимия |
| Рекомендуемые разведения | WB: 0.5-2 мкг/мл; IHC: 5-20 мкг/мл; ICC: 5-20 мкг/мл; Оптимальное разведение определяется конечным потребителем |
| Метод очистки | Антигенспецифическая аффинная хроматография с последующей аффинной хроматографией с белком А |
| Состав буфера | PBS, pH7.4, 0.02% NaN3, 50% глицерин |
| Условия доставки | термобокс с аккумуляторами холода |
| Условия хранения | Сразу после получения аликвотировать и хранить при -20ºС до 24 месяцев. Для частого использования хранить при +4ºС не более 2 недель. Избегать повторения циклов замерзания/оттаивания |
| Срок хранения | 24 месяца |
| Производитель | Cloud-Clone Corp. |
| Ссылка на страницу товара на сайте производителя | http://www.cloud-clone.com/products/PAA276Hu01.html |
|
Артикул
|
Наименование |
Производитель
|
|---|
|
Артикул
|
Наименование |
Производитель
|
|---|
|
Артикул
|
Наименование |
Производитель
|
|---|
|
Артикул
|
Наименование |
Производитель
|
|---|
Акции и предложения
Популярные продукты:
Diethylstilbestrol/DES ELISA Kit (KSK61506)
Организм: для всех
Диапазон определения: 1.56 - 100 нг/мл
Чувствительность: 0.5 нг/мл
Диапазон определения: 1.56 - 100 нг/мл
Чувствительность: 0.5 нг/мл
Canine G Protein Coupled Receptor 183 ELISA kit (E08G0466)
Организм: собака
Porcine Centromere Protein E ELISA kit (E07C0648)
Организм: свинья
Anti-LGALS3/Galectin-3 Antibody (R3E87) (RHD27109)
Источник (хозяин): мышь
Реактивность подтвержденная: человек
Валидировано для: IHC, IP
Реактивность подтвержденная: человек
Валидировано для: IHC, IP

