| UNIPROT | Q92674 |
| Иммуноген | RPA232Hu01-Recombinant Centromere Protein I (CENPI) |
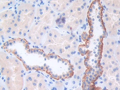
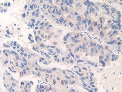
Polyclonal Antibody to Centromere Protein I (CENPI) (PAA232Hu01)
Реактивность подтвержденная:
человек
Источник (хозяин):
кролик
Валидировано для:
IHC
WB
Характеристики
Техническое описание
| Русское название | PAA232Hu01 Поликлональное антитело к CENPI (человек) <Cloud-Clone,Китай> |
| Каталожный номер | PAA232Hu01 |
| Название антигена | Centromere Protein I (CENPI) |
| UNIPROT | Q92674 |
| Иммуноген | RPA232Hu01-Recombinant Centromere Protein I (CENPI) |
| Английские синонимы | FSHPRH1, LRPR1, Mis6, ICEN19, Follicle-stimulating hormone primary response protein, Interphase centromere complex protein 19, Leucine-rich primary response protein 1 |
Реактивность подтвержденная Нужна другая реактивность? |
человек |
| Источник (хозяин) | кролик |
| Клональность | поликлональное |
| Рекомбинантное | нет |
| Готовое к использованию | нет |
| Концентрация | 0.5 мг/мл |
| Конъюгат | По запросу: HRP, biotin, PerCP, PE, Cy3, FITC, Cy7, Cy5.5, PE-Cy5, PE-Cy7, PerCp-Cy5.5, APC, Cy5, PE-Cy3, PE-Cy5.5, APC-Cy7, Biotin-APC, FITC-Biotin, TRITC, APC-Cy5, AF488, AF594, AF405, AF555, AF700, AF647, AF750 |
| Валидировано для | IHC WB Иммуногистохимия; Вестерн-блоттинг |
| Рекомендуемые разведения | WB: 0.5-2 мкг/мл; ICC (фиксация формалином): 5-20 мкг/мл; IHC (замороженные срезы): 5-20 мкг/мл; IHC (парафиновые срезы): 5-20 мкг/мл; ELISA: 0.05-2 мкг/мл; Оптимальное разведение определяется конечным потребителем |
| Метод очистки | Антигенспецифическая аффинная хроматография с последующей аффинной хроматографией с белком А |
| Состав буфера | 0.01M PBS, pH7.4, 0.05% Proclin-300, 50% глицерин |
| Условия доставки | термобокс с аккумуляторами холода |
| Условия хранения | Сразу после получения аликвотировать и хранить при -20ºС до 24 месяцев. Для частого использования хранить при +4ºС не более 2 недель. Избегать повторения циклов замерзания/оттаивания |
| Срок хранения | 24 месяца |
| Производитель | Cloud-Clone Corp. |
| Ссылка на страницу товара на сайте производителя | http://www.cloud-clone.com/products/PAA232Hu01.html |
|
Артикул
|
Наименование |
Производитель
|
|---|
|
Артикул
|
Наименование |
Производитель
|
|---|
Акции и предложения
Популярные продукты:
Bovine Mucin 5 subtype AC ELISA kit (E11M0350)
Организм: корова
Anti-TRIM34 Antibody (R4C42) (RHP01901)
Источник (хозяин): мышь
Реактивность подтвержденная: человек
Валидировано для: IHC, IP, WB
Реактивность подтвержденная: человек
Валидировано для: IHC, IP, WB
Polyclonal Antibody to Centromere Protein I (CENPI) (PAA232Hu01)
Источник (хозяин): кролик
Реактивность подтвержденная: человек
Валидировано для: IHC, WB
Реактивность подтвержденная: человек
Валидировано для: IHC, WB
ELISA Kit for Thymidylate Synthetase (TYMS) (SEG963Hu)
Организм: человек
Диапазон определения: 0.312-20 нг/мл
Чувствительность: 0.127 нг/мл
Диапазон определения: 0.312-20 нг/мл
Чувствительность: 0.127 нг/мл
Recombinant Centromere Protein I (CENPI) (RPA232Mu01)
Источник (хозяин): E.coli
Организм: мышь
Фрагмент: Thr321-Pro579
Теги: N-концевые His-Tag и GST-Tag
Биоактивность: нет
Организм: мышь
Фрагмент: Thr321-Pro579
Теги: N-концевые His-Tag и GST-Tag
Биоактивность: нет
Recombinant Membrane Protein, Palmitoylated 2 (MPP2) (RPA680Mu01)
Источник (хозяин): E.coli
Организм: мышь
Фрагмент: Val3-Lys214
Теги: N-концевой His-Tag
Биоактивность: нет
Организм: мышь
Фрагмент: Val3-Lys214
Теги: N-концевой His-Tag
Биоактивность: нет

