| UNIPROT | P06307 |
| Иммуноген | RPA802Hu01-Recombinant Cholecystokinin (CCK) |
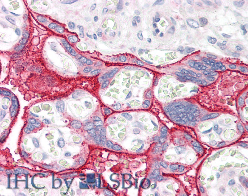
Polyclonal Antibody to Cholecystokinin (CCK) (PAA802Hu01)
Реактивность подтвержденная:
человек
Источник (хозяин):
кролик
Валидировано для:
IHC
Характеристики
Публикации
Техническое описание
| Русское название | PAA802Hu01 Поликлональное антитело к CCK (человек) <Cloud-Clone,Китай> |
| Каталожный номер | PAA802Hu01 |
| Название антигена | Cholecystokinin (CCK) |
| UNIPROT | P06307 |
| Иммуноген | RPA802Hu01-Recombinant Cholecystokinin (CCK) |
| Английские синонимы | CCK-PZ, Cholecystokinin-58 desnonopeptide |
| Русские синонимы | CCK, панкреозимин |
Реактивность подтвержденная Нужна другая реактивность? |
человек |
| Источник (хозяин) | кролик |
| Клональность | поликлональное |
| Рекомбинантное | нет |
| Готовое к использованию | нет |
| Концентрация | 0.5 мг/мл |
| Конъюгат | По запросу: HRP, biotin, PerCP, PE, Cy3, FITC, Cy7, Cy5.5, PE-Cy5, PE-Cy7, PerCp-Cy5.5, APC, Cy5, PE-Cy3, PE-Cy5.5, APC-Cy7, Biotin-APC, FITC-Biotin, TRITC, APC-Cy5, AF488, AF594, AF405, AF555, AF700, AF647, AF750 |
| Валидировано для | IHC Иммуногистохимия |
| Рекомендуемые разведения | WB: 0.01-2 мкг/мл; IHC: 5-20 мкг/мл; ICC: 5-20 мкг/мл; Оптимальное разведение определяется конечным потребителем |
| Метод очистки | Антигенспецифическая аффинная хроматография с последующей аффинной хроматографией с белком А |
| Состав буфера | PBS, pH7.4, 0.02% NaN3, 50% глицерин |
| Условия доставки | термобокс с аккумуляторами холода |
| Условия хранения | Сразу после получения аликвотировать и хранить при -20ºС до 24 месяцев. Для частого использования хранить при +4ºС не более 2 недель. Избегать повторения циклов замерзания/оттаивания |
| Срок хранения | 24 месяца |
| Производитель | Cloud-Clone Corp. |
| Ссылка на страницу товара на сайте производителя | http://www.cloud-clone.com/products/PAA802Hu01.html |
|
Артикул
|
Наименование |
Производитель
|
|---|
|
Артикул
|
Наименование |
Производитель
|
|---|
|
Артикул
|
Наименование |
Производитель
|
|---|
|
Артикул
|
Наименование |
Производитель
|
|---|
|
Артикул
|
Наименование |
Производитель
|
|---|
|
Артикул
|
Наименование |
Производитель
|
|---|
|
Артикул
|
Наименование |
Производитель
|
|---|
Акции и предложения
Популярные продукты:
Multiplex Assay Kit for Coagulation Factor II (F2) (LMA820Mu)
Организм: мышь
Диапазон определения: 0.1-100 нг/мл
Чувствительность: 0.033 нг/мл
Диапазон определения: 0.1-100 нг/мл
Чувствительность: 0.033 нг/мл
ELISA Kit DIY Materials for RAB5A, Member RAS Oncogene Family (RAB5A) (KSK305Hu01)
Организм: человек
Диапазон определения: 0.312-20 нг/мл
Чувствительность: 0.113 нг/мл
Диапазон определения: 0.312-20 нг/мл
Чувствительность: 0.113 нг/мл
Monkey Prothrombin ELISA kit (E09P0044)
Организм: обезьяна
Диапазон определения: 2.5-50 нг/мл
Чувствительность: 0.1 нг/мл
Диапазон определения: 2.5-50 нг/мл
Чувствительность: 0.1 нг/мл
Bovine Oncomodulin ELISA kit (E11O0894)
Организм: корова
Monkey Coagulation Factor II ELISA kit (E09F0193)
Организм: обезьяна
Human Complement Component 3a Receptor 1 ELISA kit (E01C0363)
Организм: человек
Диапазон определения: 1-25 мг/мл
Чувствительность: 0.1 мг/мл
Диапазон определения: 1-25 мг/мл
Чувствительность: 0.1 мг/мл

