| UNIPROT | P23198 |
| Иммуноген | RPC363Mu01-Recombinant Chromobox Homolog 3 (CBX3) |
Polyclonal Antibody to Chromobox Homolog 3 (CBX3) (PAC363Mu01)
Реактивность подтвержденная:
мышь
Источник (хозяин):
кролик
Валидировано для:
IHC
WB
Характеристики
Техническое описание
| Русское название | PAC363Mu01 Поликлональное антитело к CBX3 (мышь) <Cloud-Clone,Китай> |
| Каталожный номер | PAC363Mu01 |
| Название антигена | Chromobox Homolog 3 (CBX3) |
| UNIPROT | P23198 |
| Иммуноген | RPC363Mu01-Recombinant Chromobox Homolog 3 (CBX3) |
| Английские синонимы | HECH, HP1-GAMMA, HP1Hs-Gamma, HP1 Gamma Homolog,Drosophila, Heterochromatin protein 1 homolog gamma, Modifier 2 protein |
Реактивность подтвержденная Нужна другая реактивность? |
мышь |
| Источник (хозяин) | кролик |
| Клональность | поликлональное |
| Рекомбинантное | нет |
| Готовое к использованию | нет |
| Концентрация | 500 мкг/мл |
| Конъюгат | По запросу: HRP, biotin, PerCP, PE, Cy3, FITC, Cy7, Cy5.5, PE-Cy5, PE-Cy7, PerCp-Cy5.5, APC, Cy5, PE-Cy3, PE-Cy5.5, APC-Cy7, Biotin-APC, FITC-Biotin, TRITC, APC-Cy5, AF488, AF594, AF405, AF555, AF700, AF647, AF750 |
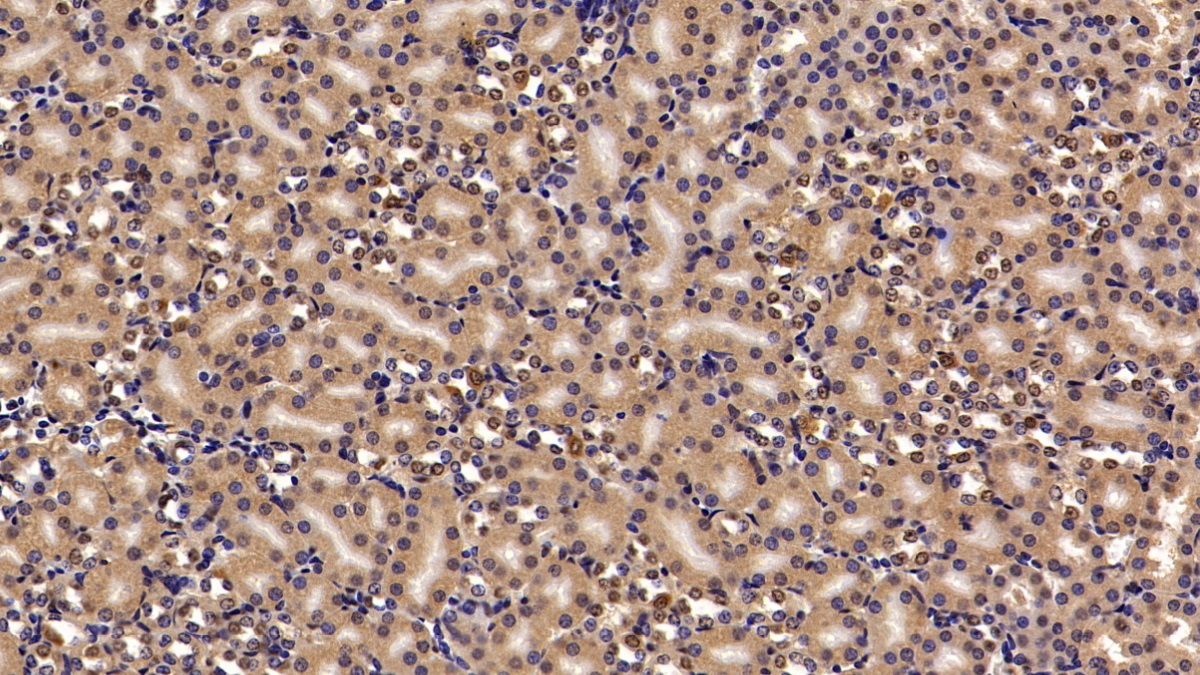
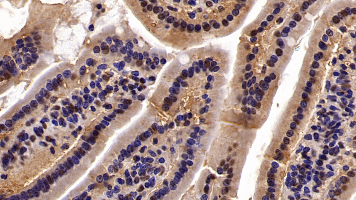
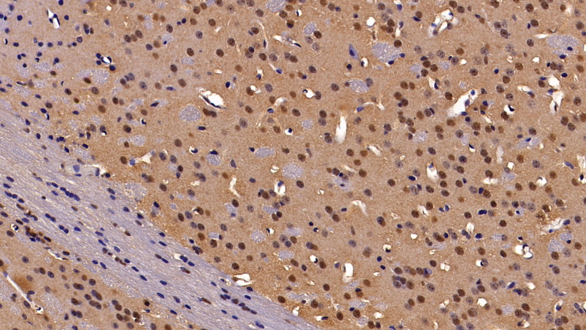
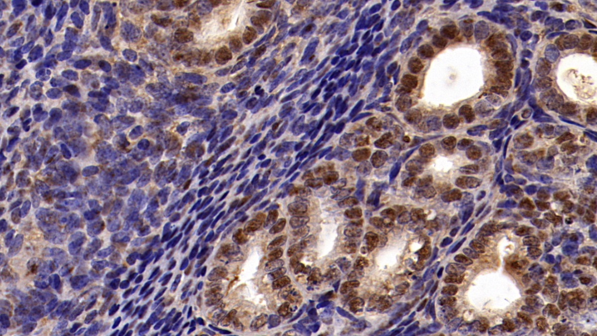
| Валидировано для | IHC WB Иммуногистохимия; Вестерн-блоттинг |
| Рекомендуемые разведения | WB: 0.2-2 мкг/мл; 1:250-2500; IHC: 5-20 мкг/мл; 1:25-100; ICC: 5-20 мкг/мл; 1:25-100; Оптимальное разведение определяется конечным потребителем |
| Метод очистки | Антигенспецифическая аффинная хроматография с последующей аффинной хроматографией с белком А |
| Состав буфера | PBS, pH7.4, 0.02% NaN3, 50% глицерин |
| Условия доставки | термобокс с аккумуляторами холода |
| Условия хранения | Сразу после получения аликвотировать и хранить при -20ºС до 24 месяцев. Для частого использования хранить при +4ºС не более 2 недель. Избегать повторения циклов замерзания/оттаивания |
| Срок хранения | 24 месяца |
| Производитель | Cloud-Clone Corp. |
| Ссылка на страницу товара на сайте производителя | http://www.cloud-clone.com/products/PAC363Mu01.html |
|
Артикул
|
Наименование |
Производитель
|
|---|
|
Артикул
|
Наименование |
Производитель
|
|---|
|
Артикул
|
Наименование |
Производитель
|
|---|
|
Артикул
|
Наименование |
Производитель
|
|---|
Акции и предложения
Популярные продукты:
Anti-Acid Phosphatase 2, Lysosomal (ACP2) Polyclonal Antibody (FAD089Hu01)
Источник (хозяин): кролик
Реактивность подтвержденная: человек
Валидировано для: FCM
Реактивность подтвержденная: человек
Валидировано для: FCM
Monoclonal Antibody to Bleomycin Hydrolase (BLMH) (MAC220Hu23)
Источник (хозяин): мышь
Реактивность подтвержденная: человек
Валидировано для: WB
Реактивность подтвержденная: человек
Валидировано для: WB
ELISA Kit for Growth Factor Receptor Bound Protein 14 (Grb14) (SEF469Mu)
Организм: мышь
Диапазон определения: 0.156-10 нг/мл
Чувствительность: 0.55 нг/мл
Диапазон определения: 0.156-10 нг/мл
Чувствительность: 0.55 нг/мл
Porcine Cyclophosphamide ELISA kit (E07C0842)
Организм: свинья
Rabbit Dynamin 1 Like Protein ELISA kit (E04D0450)
Организм: кролик

