| UNIPROT | P10645 |
| Иммуноген | RPB212Hu01-Recombinant Chromogranin A (CHGA) |
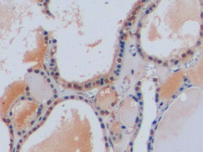
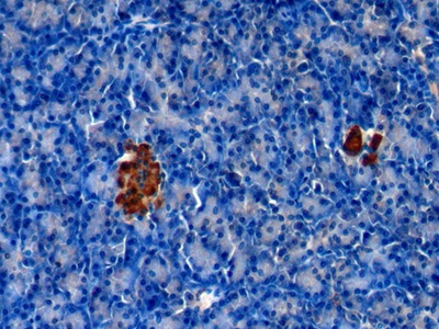
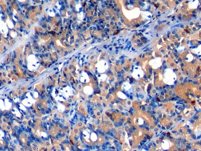
Polyclonal Antibody to Chromogranin A (CHGA) (PAB212Hu01)
Реактивность подтвержденная:
человек
Источник (хозяин):
кролик
Валидировано для:
IHC
WB
Характеристики
Техническое описание
| Русское название | PAB212Hu01 Поликлональное антитело к CHGA (человек) <Cloud-Clone,Китай> |
| Каталожный номер | PAB212Hu01 |
| Название антигена | Chromogranin A (CHGA) |
| UNIPROT | P10645 |
| Иммуноген | RPB212Hu01-Recombinant Chromogranin A (CHGA) |
| Английские синонимы | CGA, SP-I, Parathyroid Secretory Protein 1, Vasostatin, Pancreastatin, Parastatin, Pituitary secretory protein I |
| Русские синонимы | вазостатин |
Реактивность подтвержденная Нужна другая реактивность? |
человек |
| Источник (хозяин) | кролик |
| Клональность | поликлональное |
| Рекомбинантное | нет |
| Готовое к использованию | нет |
| Концентрация | 0.23 мг/мл |
| Конъюгат | По запросу: HRP, biotin, PerCP, PE, Cy3, FITC, Cy7, Cy5.5, PE-Cy5, PE-Cy7, PerCp-Cy5.5, APC, Cy5, PE-Cy3, PE-Cy5.5, APC-Cy7, Biotin-APC, FITC-Biotin, TRITC, APC-Cy5, AF488, AF594, AF405, AF555, AF700, AF647, AF750 |
| Валидировано для | IHC WB Иммуногистохимия; Вестерн-блоттинг |
| Рекомендуемые разведения | WB: 0.01-5 мкг/мл; IHC: 5-20 мкг/мл; ICC: 5-20 мкг/мл; Оптимальное разведение определяется конечным потребителем |
| Метод очистки | Антигенспецифическая аффинная хроматография с последующей аффинной хроматографией с белком А |
| Состав буфера | PBS, pH7.4, 0.02% NaN3, 50% глицерин |
| Условия доставки | термобокс с аккумуляторами холода |
| Условия хранения | Сразу после получения аликвотировать и хранить при -20ºС до 24 месяцев. Для частого использования хранить при +4ºС не более 2 недель. Избегать повторения циклов замерзания/оттаивания |
| Срок хранения | 24 месяца |
| Производитель | Cloud-Clone Corp. |
| Ссылка на страницу товара на сайте производителя | http://www.cloud-clone.com/products/PAB212Hu01.html |
|
Артикул
|
Наименование |
Производитель
|
|---|
|
Артикул
|
Наименование |
Производитель
|
|---|
|
Артикул
|
Наименование |
Производитель
|
|---|
|
Артикул
|
Наименование |
Производитель
|
|---|
|
Артикул
|
Наименование |
Производитель
|
|---|
|
Артикул
|
Наименование |
Производитель
|
|---|
|
Артикул
|
Наименование |
Производитель
|
|---|
Акции и предложения
Популярные продукты:
Canine Protein BTG3(BTG3) ELISA kit (E08P0800)
Организм: собака
Guinea Pig B lymphocyte antigen CD20(MS4A1) ELISA kit (E05B0948)
Организм: морская свинка
Anti-HLA-A2-peptide (FMNKFIYEI) Complex Antibody (AMC-61) (RHM03032)
Источник (хозяин): мышь
Реактивность подтвержденная: человек
Валидировано для: ELISA, SPR
Реактивность подтвержденная: человек
Валидировано для: ELISA, SPR
CD30 Monoclonal Antibody (ELAB6719-R)
Источник (хозяин): кролик
Реактивность подтвержденная: человек
Валидировано для: IHC
Реактивность подтвержденная: человек
Валидировано для: IHC
AGT Polyclonal Antibody (E-AB-70276)
Источник (хозяин): кролик
Реактивность подтвержденная: мышь, крыса
Валидировано для: WB
Реактивность подтвержденная: мышь, крыса
Валидировано для: WB

