| UNIPROT | P26339 |
| Иммуноген | RPB212Mu01-Recombinant Chromogranin A (CHGA) |
Polyclonal Antibody to Chromogranin A (CHGA) (PAB212Mu01)
Реактивность подтвержденная:
мышь
Источник (хозяин):
кролик
Валидировано для:
IHC
WB
Характеристики
Техническое описание
| Русское название | PAB212Mu01 Поликлональное антитело к CHGA (мышь) <Cloud-Clone,Китай> |
| Каталожный номер | PAB212Mu01 |
| Название антигена | Chromogranin A (CHGA) |
| UNIPROT | P26339 |
| Иммуноген | RPB212Mu01-Recombinant Chromogranin A (CHGA) |
| Английские синонимы | CGA, SP-I, Parathyroid Secretory Protein 1, Vasostatin, Pancreastatin, Parastatin, Pituitary secretory protein I |
| Русские синонимы | вазостатин |
Реактивность подтвержденная Нужна другая реактивность? |
мышь |
| Реактивность предсказываемая | человек, крыса |
| Источник (хозяин) | кролик |
| Клональность | поликлональное |
| Рекомбинантное | нет |
| Готовое к использованию | нет |
| Концентрация | 500 мкг/мл |
| Конъюгат | По запросу: HRP, biotin, PerCP, PE, Cy3, FITC, Cy7, Cy5.5, PE-Cy5, PE-Cy7, PerCp-Cy5.5, APC, Cy5, PE-Cy3, PE-Cy5.5, APC-Cy7, Biotin-APC, FITC-Biotin, TRITC, APC-Cy5, AF488, AF594, AF405, AF555, AF700, AF647, AF750 |
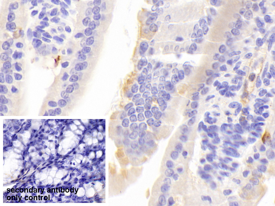
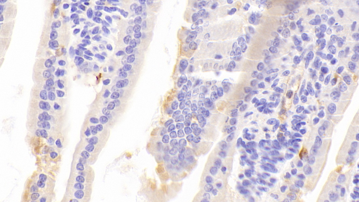
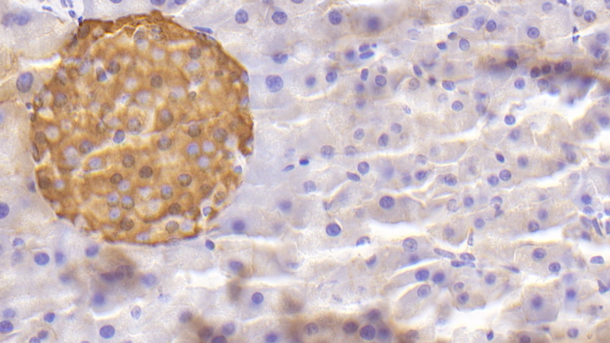
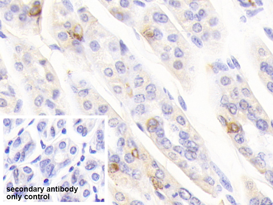
| Валидировано для | IHC WB Иммуногистохимия; Вестерн-блоттинг |
| Рекомендуемые разведения | WB: 0.5-2 мкг/мл; IHC: 5-20 мкг/мл; ICC: 5-20 мкг/мл Оптимальное разведение определяется конечным потребителем |
| Метод очистки | Антигенспецифическая аффинная хроматография с последующей аффинной хроматографией с белком А |
| Состав буфера | PBS, pH7.4, 0.02% NaN3, 50% глицерин |
| Условия доставки | термобокс с аккумуляторами холода |
| Условия хранения | Сразу после получения аликвотировать и хранить при -20ºС до 24 месяцев. Для частого использования хранить при +4ºС не более 2 недель. Избегать повторения циклов замерзания/оттаивания |
| Срок хранения | 24 месяца |
| Производитель | Cloud-Clone Corp. |
| Ссылка на страницу товара на сайте производителя | http://www.cloud-clone.com/products/PAB212Mu01.html |
|
Артикул
|
Наименование |
Производитель
|
|---|
|
Артикул
|
Наименование |
Производитель
|
|---|
|
Артикул
|
Наименование |
Производитель
|
|---|
|
Артикул
|
Наименование |
Производитель
|
|---|
|
Артикул
|
Наименование |
Производитель
|
|---|
|
Артикул
|
Наименование |
Производитель
|
|---|
Акции и предложения
Популярные продукты:
ELISA Kit DIY Materials for Retinoic Acid Receptor Alpha (RARa) (KSA976Hu01)
Организм: человек
Диапазон определения: 0.156-10 нг/мл
Чувствительность: 0.064 нг/мл
Диапазон определения: 0.156-10 нг/мл
Чувствительность: 0.064 нг/мл
Guinea Pig Secretagogin ELISA kit (E05S0807)
Организм: морская свинка
Canine Myogenin(MYOG) ELISA kit (E08M0424)
Организм: собака
Anti-CHGA Antibody (R3C21) (RHC82706)
Источник (хозяин): мышь
Реактивность подтвержденная: человек, мышь
Валидировано для: ELISA, WB
Реактивность подтвержденная: человек, мышь
Валидировано для: ELISA, WB
Recombinant Myogenin (MYOG) (RPB109Hu01)
Источник (хозяин): E.coli
Организм: человек
Теги: N-концевой His-Tag
Биоактивность: нет
Организм: человек
Теги: N-концевой His-Tag
Биоактивность: нет

