| UNIPROT | P17538 |
| Иммуноген | RPE213Hu01-Recombinant Chymotrypsinogen B1 (CTRB1) |
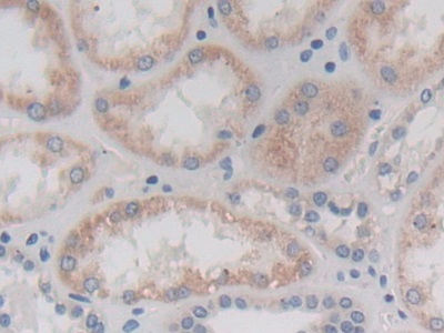
Polyclonal Antibody to Chymotrypsinogen B1 (CTRB1) (PAE213Hu01)
Реактивность подтвержденная:
человек
Источник (хозяин):
кролик
Валидировано для:
IHC
Характеристики
Техническое описание
| Русское название | PAE213Hu01 Поликлональное антитело к CTRB1 (человек) <Cloud-Clone,Китай> |
| Каталожный номер | PAE213Hu01 |
| Название антигена | Chymotrypsinogen B1 (CTRB1) |
| UNIPROT | P17538 |
| Иммуноген | RPE213Hu01-Recombinant Chymotrypsinogen B1 (CTRB1) |
Реактивность подтвержденная Нужна другая реактивность? |
человек |
| Реактивность предсказываемая | мышь |
| Источник (хозяин) | кролик |
| Клональность | поликлональное |
| Рекомбинантное | нет |
| Готовое к использованию | нет |
| Концентрация | 0.78 мг/мл |
| Конъюгат | По запросу: HRP, biotin, PerCP, PE, Cy3, FITC, Cy7, Cy5.5, PE-Cy5, PE-Cy7, PerCp-Cy5.5, APC, Cy5, PE-Cy3, PE-Cy5.5, APC-Cy7, Biotin-APC, FITC-Biotin, TRITC, APC-Cy5, AF488, AF594, AF405, AF555, AF700, AF647, AF750 |
| Валидировано для | IHC Иммуногистохимия |
| Рекомендуемые разведения | WB: 0.5-2 мкг/мл; IHC: 5-20 мкг/мл; ICC: 5-20 мкг/мл; Оптимальное разведение определяется конечным потребителем |
| Метод очистки | Антигенспецифическая аффинная хроматография с последующей аффинной хроматографией с белком А |
| Состав буфера | 0.01M PBS, pH7.4, 0.05% Proclin-300, 50% глицерин |
| Условия доставки | термобокс с аккумуляторами холода |
| Условия хранения | Сразу после получения аликвотировать и хранить при -20ºС до 24 месяцев. Для частого использования хранить при +4ºС не более 2 недель. Избегать повторения циклов замерзания/оттаивания |
| Срок хранения | 24 месяца |
| Производитель | Cloud-Clone Corp. |
| Ссылка на страницу товара на сайте производителя | http://www.cloud-clone.com/products/PAE213Hu01.html |
|
Артикул
|
Наименование |
Производитель
|
|---|
|
Артикул
|
Наименование |
Производитель
|
|---|
Акции и предложения
Популярные продукты:
ELISA Kit for Inhibitory Subunit Of NF Kappa B Beta (IkBb) (SEB849Hu)
Организм: человек
Диапазон определения: 0.156-10 нг/мл
Чувствительность: 4.7 пг/мл
Диапазон определения: 0.156-10 нг/мл
Чувствительность: 4.7 пг/мл
Goat Lymphocyte antigen 86 ELISA kit (E06L1200)
Организм: коза
Human Cyclooxygenase 2 ELISA kit (E01C0080)
Организм: человек
Диапазон определения: 5-100 нг/мл
Чувствительность: 1 нг/мл
Диапазон определения: 5-100 нг/мл
Чувствительность: 1 нг/мл
Rat Cyclooxygenase 2 ELISA kit (E02C0080)
Организм: крыса
Диапазон определения: 5-100 нг/мл
Чувствительность: 1 нг/мл
Диапазон определения: 5-100 нг/мл
Чувствительность: 1 нг/мл
p53 Polyclonal Antibody (E-AB-65674)
Источник (хозяин): кролик
Реактивность подтвержденная: человек, крыса
Валидировано для: IF, IHC, WB
Реактивность подтвержденная: человек, крыса
Валидировано для: IF, IHC, WB
Anti-Thioredoxin (Trx) Polyclonal Antibody (FAA702Mu01)
Источник (хозяин): кролик
Реактивность подтвержденная: мышь
Валидировано для: FCM
Реактивность подтвержденная: мышь
Валидировано для: FCM

