| UNIPROT | P26453 |
| Иммуноген | RPB540Ra01-Recombinant Cluster Of Differentiation 147 (CD147) |
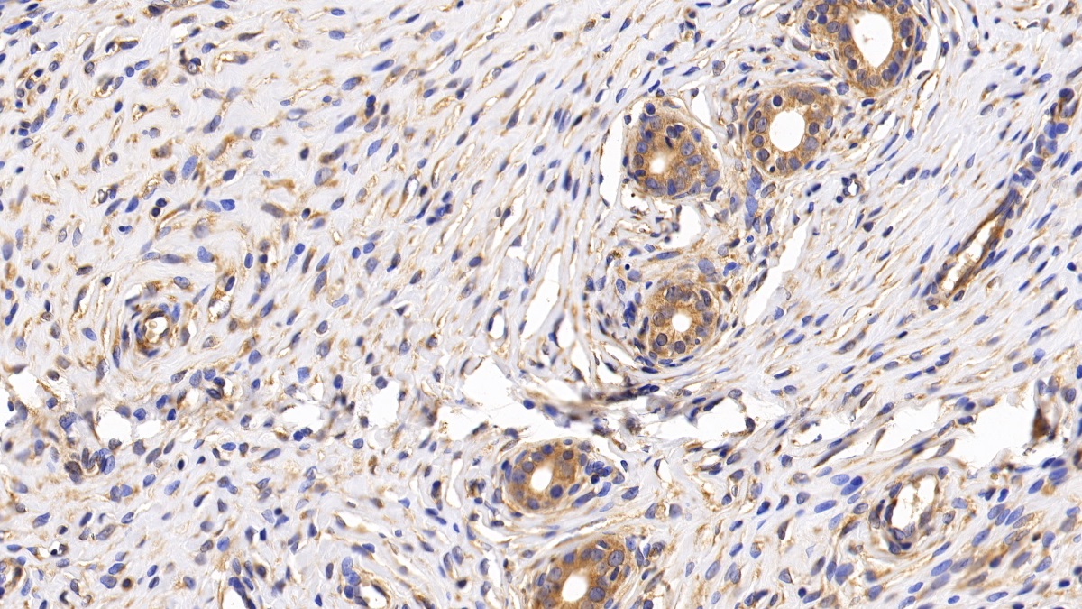
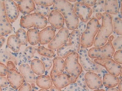
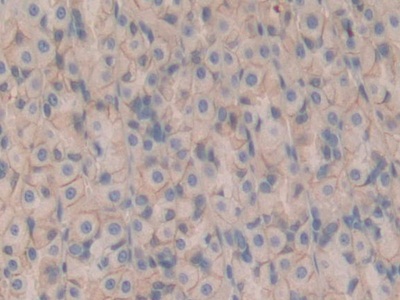
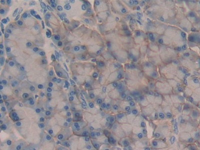
Polyclonal Antibody to Cluster Of Differentiation 147 (CD147) (PAB540Ra01)
Реактивность подтвержденная:
крыса
Источник (хозяин):
кролик
Валидировано для:
IHC
WB
Характеристики
Техническое описание
| Русское название | PAB540Ra01 Поликлональное антитело к CD147 (крыса) <Cloud-Clone,Китай> |
| Каталожный номер | PAB540Ra01 |
| Название антигена | Extracellular Matrix Metalloproteinase Inducer (EMMPRIN) |
| UNIPROT | P26453 |
| Иммуноген | RPB540Ra01-Recombinant Cluster Of Differentiation 147 (CD147) |
| Английские синонимы | CD147, CD 147, CD-147, BSG, 5F7, M6, OK, TCSF, Basigin(Ok Blood Group), Collagenase stimulatory factor, OK blood group antigen, Tumor cell-derived collagenase stimulatory factor |
| Русские синонимы | Базигин, Кластер дифференцировки 147 |
Реактивность подтвержденная Нужна другая реактивность? |
крыса |
| Реактивность предсказываемая | мышь, свинья |
| Источник (хозяин) | кролик |
| Клональность | поликлональное |
| Рекомбинантное | нет |
| Готовое к использованию | нет |
| Концентрация | 0.31 мг/мл |
| Конъюгат | По запросу: HRP, biotin, PerCP, PE, Cy3, FITC, Cy7, Cy5.5, PE-Cy5, PE-Cy7, PerCp-Cy5.5, APC, Cy5, PE-Cy3, PE-Cy5.5, APC-Cy7, Biotin-APC, FITC-Biotin, TRITC, APC-Cy5, AF488, AF594, AF405, AF555, AF700, AF647, AF750 |
| Валидировано для | IHC WB Иммуногистохимия; Вестерн-блоттинг |
| Рекомендуемые разведения | WB: 0.3-2 мкг/мл; IHC: 5-20 мкг/мл; ICC: 5-20 мкг/мл; Оптимальное разведение определяется конечным потребителем |
| Метод очистки | Антигенспецифическая аффинная хроматография с последующей аффинной хроматографией с белком А |
| Состав буфера | PBS, pH7.4, 0.02% NaN3, 50% глицерин |
| Условия доставки | термобокс с аккумуляторами холода |
| Условия хранения | Сразу после получения аликвотировать и хранить при -20ºС до 24 месяцев. Для частого использования хранить при +4ºС не более 2 недель. Избегать повторения циклов замерзания/оттаивания |
| Срок хранения | 24 месяца |
| Производитель | Cloud-Clone Corp. |
| Ссылка на страницу товара на сайте производителя | http://www.cloud-clone.com/products/PAB540Ra01.html |
|
Артикул
|
Наименование |
Производитель
|
|---|
|
Артикул
|
Наименование |
Производитель
|
|---|
|
Артикул
|
Наименование |
Производитель
|
|---|
|
Артикул
|
Наименование |
Производитель
|
|---|
|
Артикул
|
Наименование |
Производитель
|
|---|
Акции и предложения
Популярные продукты:
Rabbit Sulfite oxidase, mitochondrial(SUOX) ELISA kit (E04S0425)
Организм: кролик
Bovine Adenosine receptor A2a(ADORA2A) ELISA kit (E11A1280)
Организм: корова
Canine Endothelin 3(EDN3) ELISA kit (E08E0367)
Организм: собака
Bovine Protein kinase C Alpha ELISA kit (E11P0670)
Организм: корова
Mouse Protein kinase C Alpha ELISA kit (E03P0670)
Организм: мышь
Porcine Actinin Alpha 3 ELISA kit (E07A0383)
Организм: свинья

