Ваш браузер устарел и не обеспечивает полноценную и безопасную работу с сайтом. Пожалуйста обновите браузер чтобы улучшить взаимодействие с сайтом.
Мы обновили сайт, попробуйте новые функции в личном кабинете!

+7 (495) 798-02-48

Polyclonal Antibody to Cluster Of Differentiation 26 (CD26) (PAA884Hu01)

Реактивность подтвержденная: человек
Источник (хозяин): кролик
Валидировано для:
IHC
WB
4639
4639
Western Blot; Sample: Lane1: HepG2 cell lysate; Lane2: 293T cell lysate; Lane3: Porcine Liver lysate; Lane4: Rat Liver lysate; Lane5: Mouse Liver lysate; Lane6: Mouse Heart lysate ;Primary Ab: 0.05μg/ml Rabbit Anti-Human CD26 Antibody ;Second Ab: 0.2μg/mL HRP-Linked Caprine Anti-Rabbit IgG Polyclonal Antibody ;(Catalog: SAA544Rb19) Selected
4640
4640
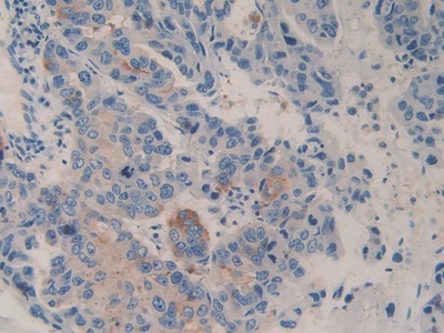
DAB staining on IHC-P; Samples: Human Glioma Tissue; Primary Ab: 15μg/ml Rabbit Anti-Human DPP4 Antibody Second Ab: 2μg/mL HRP-Linked Caprine Anti-Rabbit IgG Polyclonal Antibody (Catalog: SAA544Rb19)
4641
4641
DAB staining on IHC-P; Samples: Human Prostate Tissue; Primary Ab: 15μg/ml Rabbit Anti-Human DPP4 Antibody Second Ab: 2μg/mL HRP-Linked Caprine Anti-Rabbit IgG Polyclonal Antibody (Catalog: SAA544Rb19)
4642
4642
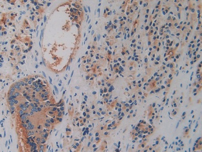
DAB staining on IHC-P; Samples: Human Skin cancer Tissue; Primary Ab: 15μg/ml Rabbit Anti-Human DPP4 Antibody Second Ab: 2μg/mL HRP-Linked Caprine Anti-Rabbit IgG Polyclonal Antibody (Catalog: SAA544Rb19)
15277
15277
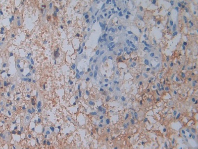
DAB staining on IHC-P; Samples: Human Breast cancer Tissue; Primary Ab: 15μg/ml Rabbit Anti-Human DPP4 Antibody Second Ab: 2μg/mL HRP-Linked Caprine Anti-Rabbit IgG Polyclonal Antibody (Catalog: SAA544Rb19)
15278
15278
DAB staining on IHC-P; Samples: Human Prostate cancer Tissue; Primary Ab: 15μg/ml Rabbit Anti-Human DPP4 Antibody Second Ab: 2μg/mL HRP-Linked Caprine Anti-Rabbit IgG Polyclonal Antibody (Catalog: SAA544Rb19)
22606
22606
FITC staining on IF; Samples: Human Hela cell; Primary Ab: 20μg/ml Rabbit Anti-Human DPP4 Antibody Second Ab: 1.5μg/ml FITC-Linked Caprine Anti-Rabbit IgG Polyclonal Antibody (Catalog: SAA544Rb18)
22764
22764
Western Blot; Sample: Human Placenta lysate ;Primary Ab: 0.2μg/ml Rabbit Anti-Human DPP4 Antibody ;Second Ab: 0.2μg/mL HRP-Linked Caprine Anti-Rabbit IgG Polyclonal Antibody ;(Catalog: SAA544Rb19) Selected
23063
23063
Western Blot; Sample: Lane1: Canine Liver lysate; Lane2: Bovine Liver lysate; Lane3: Caprine Liver lysate ;Primary Ab: 0.15μg/ml Rabbit Anti-Human CD26 Antibody ;Second Ab: 0.2μg/mL HRP-Linked Caprine Anti-Rabbit IgG Polyclonal Antibody ;(Catalog: SAA544Rb19) Selected
29513
29513
FITC staining on IF; Sample: Hela cell Primary Ab: 20μg/ml Rabbit Anti-Human CD26 Antibody Second Ab: 2μg/ml FITC-Linked Caprine Anti-Rabbit IgG Polyclonal Antibody (Catalog: SAA544Rb11)
39918
39918
Figure. Western Blot; Sample: Recombinant DPP4, Human.
4639
4640
4641
4642
15277
15278
22606
22764
23063
29513
39918
Ближайшая поставка
29.05.26
Характеристики
Техническое описание
Русское название PAA884Hu01 Поликлональное антитело к CD26 (человек) <Cloud-Clone,Китай>
Каталожный номер PAA884Hu01
Название антигена Dipeptidyl Peptidase IV (DPP4)
UNIPROT P27487
Иммуноген RPA884Hu01-Recombinant Cluster Of Differentiation 26 (CD26)
Английские синонимы CD26, CD 26, CD-26, ADA, DPPIV, DPP-IV, ADABP, ADCP2, TP103, Adenosine Deaminase Complexing Protein 2, T-cell activation antigen CD26
Реактивность подтвержденная
Нужна другая реактивность?
человек
Реактивность предсказываемая собака, свинья, корова, коза, овца
Источник (хозяин) кролик
Клональность поликлональное
Рекомбинантное нет
Готовое к использованию нет
Концентрация 0.39 мг/мл
Конъюгат По запросу: HRP, biotin, PerCP, PE, Cy3, FITC, Cy7, Cy5.5, PE-Cy5, PE-Cy7, PerCp-Cy5.5, APC, Cy5, PE-Cy3, PE-Cy5.5, APC-Cy7, Biotin-APC, FITC-Biotin, TRITC, APC-Cy5, AF488, AF594, AF405, AF555, AF700, AF647, AF750
Валидировано для
IHC
WB
Иммуногистохимия; Вестерн-блоттинг
Рекомендуемые разведения WB: 0.01-2 мкг/мл; IHC: 2-20 мкг/мл; ICC: 2-20 мкг/мл; Оптимальное разведение определяется конечным потребителем
Метод очистки Антигенспецифическая аффинная хроматография с последующей аффинной хроматографией с белком А
Состав буфера PBS, pH7.4, 0.02% NaN3, 50% глицерин
Условия доставки термобокс с аккумуляторами холода
Условия хранения Сразу после получения аликвотировать и хранить при -20ºС до 24 месяцев. Для частого использования хранить при +4ºС не более 2 недель. Избегать повторения циклов замерзания/оттаивания
Срок хранения 24 месяца
Производитель Cloud-Clone Corp.
Ссылка на страницу товара на сайте производителя http://www.cloud-clone.com/products/PAA884Hu01.html

Назначение

поликлональное антитело от производителя Cloud-Clone Corp. к Dipeptidyl Peptidase IV (DPP4) источник — кролик предназначено для детекции целевого антигена в биологических образцах. Продукт характеризуется подтвержденной реактивностью к человек.

Преимущества

  • Высокая специфичность и аффинность
  • Концентрация: 0.39 мг/мл
  • Оптимизированный состав буфера: PBS, pH7.4, 0.02% NaN3, 50% глицерин
  • Стабильность: 24 месяца

Применение в исследованиях

Антитело валидировано для методов: IHC, WB. Подходит для научных исследований в области иммунологии, клеточной биологии и молекулярной диагностики.

Условия хранения

Срок годности: 24 месяца. Сразу после получения аликвотировать и хранить при -20ºС до 24 месяцев. Для частого использования хранить при +4ºС не более 2 недель. Избегать повторения циклов замерзания/оттаивания. Рекомендуется соблюдать температурный режим при транспортировке и хранении.
Артикул
Наименование
Производитель
Артикул
Наименование
Производитель
Артикул
Наименование
Производитель
Артикул
Наименование
Производитель
Артикул
Наименование
Производитель
Артикул
Наименование
Производитель

С нами успешно сотрудничают:

Московский государственный университет им. Ломоносова
Московский государственный университет им. Ломоносова
Московский государственный университет им. Ломоносова
МФТИ
МФТИ
МФТИ
Центр вирусологии и биотехнологии „Вектор“
Центр вирусологии и биотехнологии „Вектор“
Центр вирусологии и биотехнологии „Вектор“
Институт физиологии имени Павлова
Институт физиологии имени Павлова
Институт физиологии имени Павлова
Сеченовский университет
Сеченовский университет
Сеченовский университет
Исследовательский центр им. Алмазова
Исследовательский центр им. Алмазова
Исследовательский центр им. Алмазова
BIOCAD
BIOCAD
BIOCAD
Университет Сириус
Университет Сириус
Университет Сириус
Р-Фарм
Р-Фарм
Р-Фарм
Сколтех
Сколтех
Сколтех
Курчатовский институт
Курчатовский институт
Курчатовский институт
ИБХ РАН
ИБХ РАН
ИБХ РАН
НИЦ эпидемиологии и микробиологии им. Н.Ф.Гамалеи
НИЦ эпидемиологии и микробиологии им. Н.Ф.Гамалеи
НИЦ эпидемиологии и микробиологии им. Н.Ф.Гамалеи
Томский НИМЦ
Томский НИМЦ
Томский НИМЦ
ФИЦ ВИЖ имени Л.К. Эрнста
ФИЦ ВИЖ имени Л.К. Эрнста
ФИЦ ВИЖ имени Л.К. Эрнста
Фонд "Наука - Детям"
Фонд "Наука - Детям"
Фонд "Наука - Детям"
Институт цитологии и генетики СО РАН
Институт цитологии и генетики СО РАН
Институт цитологии и генетики СО РАН
Генериум
Генериум
Генериум

Новости

0
0
0