| UNIPROT | Q9H2X3 |
| Иммуноген | RPB730Hu01-Recombinant Cluster Of differentiation 299 (CD299) |
Polyclonal Antibody to Cluster Of differentiation 299 (CD299) (PAB730Hu01)
Реактивность подтвержденная:
человек
Источник (хозяин):
кролик
Валидировано для:
IHC
WB
Характеристики
Техническое описание
| Русское название | PAB730Hu01 Поликлональное антитело к CD299 (человек) <Cloud-Clone,Китай> |
| Каталожный номер | PAB730Hu01 |
| Название антигена | C-Type Lectin Domain Family 4, Member M (CLEC4M) |
| UNIPROT | Q9H2X3 |
| Иммуноген | RPB730Hu01-Recombinant Cluster Of differentiation 299 (CD299) |
| Английские синонимы | CD299, CD 299, CD-299, CD209L, DC-SIGN2, DC-SIGNR, L-SIGN, CD209 like 1, Dendritic cell-specific ICAM-3-grabbing non-integrin 2, Liver/lymph node-specific ICAM-3-grabbing non-integrin |
Реактивность подтвержденная Нужна другая реактивность? |
человек |
| Реактивность предсказываемая | мышь |
| Источник (хозяин) | кролик |
| Клональность | поликлональное |
| Рекомбинантное | нет |
| Готовое к использованию | нет |
| Концентрация | 500 мкг/мл |
| Конъюгат | По запросу: HRP, biotin, PerCP, PE, Cy3, FITC, Cy7, Cy5.5, PE-Cy5, PE-Cy7, PerCp-Cy5.5, APC, Cy5, PE-Cy3, PE-Cy5.5, APC-Cy7, Biotin-APC, FITC-Biotin, TRITC, APC-Cy5, AF488, AF594, AF405, AF555, AF700, AF647, AF750 |
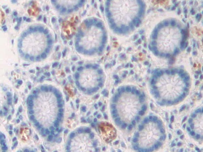
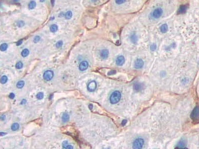
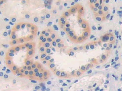
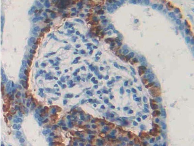
| Валидировано для | IHC WB Иммуногистохимия; Вестерн-блоттинг |
| Рекомендуемые разведения | WB: 0.01-2 мкг/мл; IHC: 5-20 мкг/мл; ICC: 5-20 мкг/мл; Оптимальное разведение определяется конечным потребителем |
| Метод очистки | Антигенспецифическая аффинная хроматография с последующей аффинной хроматографией с белком А |
| Состав буфера | PBS, pH7.4, 0.02% NaN3, 50% глицерин |
| Условия доставки | термобокс с аккумуляторами холода |
| Условия хранения | Сразу после получения аликвотировать и хранить при -20ºС до 24 месяцев. Для частого использования хранить при +4ºС не более 2 недель. Избегать повторения циклов замерзания/оттаивания |
| Срок хранения | 24 месяца |
| Производитель | Cloud-Clone Corp. |
| Ссылка на страницу товара на сайте производителя | http://www.cloud-clone.com/products/PAB730Hu01.html |
|
Артикул
|
Наименование |
Производитель
|
|---|
|
Артикул
|
Наименование |
Производитель
|
|---|
Акции и предложения
Популярные продукты:
Mouse Tryptophan 5 hydroxylase 1(TPH1) ELISA kit (E03T0726)
Организм: мышь
Bovine Cytochrome P450 2C18(CYP2C18) ELISA kit (E11C2238)
Организм: корова
Bovine Apolipoprotein A2 ELISA kit (E11A0510)
Организм: корова
Диапазон определения: 10-250 мг/л
Чувствительность: 1 мг/л
Диапазон определения: 10-250 мг/л
Чувствительность: 1 мг/л

