| UNIPROT | P56528 |
| Иммуноген | RPA752Mu01-Recombinant Cluster Of Differentiation 38 (CD38) |
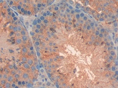
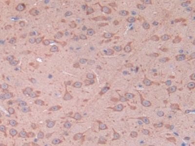
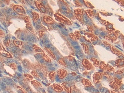
Polyclonal Antibody to Cluster Of Differentiation 38 (CD38) (PAA752Mu01)
Реактивность подтвержденная:
мышь
Источник (хозяин):
кролик
Валидировано для:
IHC
WB
Характеристики
Техническое описание
| Русское название | PAA752Mu01 Поликлональное антитело к CD38 (мышь) <Cloud-Clone,Китай> |
| Каталожный номер | PAA752Mu01 |
| Название антигена | Cyclic ADP Ribose Hydrolase (cADPRH) |
| UNIPROT | P56528 |
| Иммуноген | RPA752Mu01-Recombinant Cluster Of Differentiation 38 (CD38) |
| Английские синонимы | CD38, CD 38, CD-38, ADPRC 1, c-ADPRH, T10, p45, 2 |
| Русские синонимы | Кластер дифференцировки 38 |
Реактивность подтвержденная Нужна другая реактивность? |
мышь |
| Реактивность предсказываемая | человек, мышь |
| Источник (хозяин) | кролик |
| Клональность | поликлональное |
| Рекомбинантное | нет |
| Готовое к использованию | нет |
| Концентрация | 500 мкг/мл |
| Конъюгат | По запросу: HRP, biotin, PerCP, PE, Cy3, FITC, Cy7, Cy5.5, PE-Cy5, PE-Cy7, PerCp-Cy5.5, APC, Cy5, PE-Cy3, PE-Cy5.5, APC-Cy7, Biotin-APC, FITC-Biotin, TRITC, APC-Cy5, AF488, AF594, AF405, AF555, AF700, AF647, AF750 |
| Валидировано для | IHC WB Иммуногистохимия; Вестерн-блоттинг |
| Рекомендуемые разведения | WB: 0.5-2 мкг/мл; IHC: 5-20 мкг/мл; ICC: 5-20 мкг/мл; Оптимальное разведение определяется конечным потребителем |
| Метод очистки | Антигенспецифическая аффинная хроматография с последующей аффинной хроматографией с белком А |
| Состав буфера | PBS, pH7.4, 0.02% NaN3, 50% глицерин |
| Условия доставки | термобокс с аккумуляторами холода |
| Условия хранения | Сразу после получения аликвотировать и хранить при -20ºС до 24 месяцев. Для частого использования хранить при +4ºС не более 2 недель. Избегать повторения циклов замерзания/оттаивания |
| Срок хранения | 24 месяца |
| Производитель | Cloud-Clone Corp. |
| Ссылка на страницу товара на сайте производителя | http://www.cloud-clone.com/products/PAA752Mu01.html |
|
Артикул
|
Наименование |
Производитель
|
|---|
|
Артикул
|
Наименование |
Производитель
|
|---|
|
Артикул
|
Наименование |
Производитель
|
|---|
|
Артикул
|
Наименование |
Производитель
|
|---|
|
Артикул
|
Наименование |
Производитель
|
|---|
Акции и предложения
Популярные продукты:
ELISA Kit for Pirin (PIR) (SEC250Mu)
Организм: мышь
Диапазон определения: 0.156-10 нг/мл
Чувствительность: 1.94 пг/мл
Диапазон определения: 0.156-10 нг/мл
Чувствительность: 1.94 пг/мл
Monkey Peroxiredoxin 5 (PRDX5) ELISA Kit (E09T0338)
Организм: обезьяна
Bovine 5-Hydroxytryptamine Receptor 2A ELISA Kit (E11H1416)
Организм: корова

