| UNIPROT | P21589 |
| Иммуноген | RPB250Hu01-Recombinant Cluster Of Differentiation 73 (CD73) |
Polyclonal Antibody to Cluster Of Differentiation 73 (CD73) (PAB250Hu01)
Реактивность подтвержденная:
человек
Источник (хозяин):
кролик
Валидировано для:
IHC
WB
Характеристики
Техническое описание
| Русское название | PAB250Hu01 Поликлональное антитело к CD73 (человек) <Cloud-Clone,Китай> |
| Каталожный номер | PAB250Hu01 |
| Название антигена | 5''-nucleotidase-ecto (NT5E) |
| UNIPROT | P21589 |
| Иммуноген | RPB250Hu01-Recombinant Cluster Of Differentiation 73 (CD73) |
| Английские синонимы | CD73, CD 73, CD-73, NT5-E, E5NT, E5-NT, NTE, EN, ENT |
Реактивность подтвержденная Нужна другая реактивность? |
человек |
| Реактивность предсказываемая | мышь |
| Источник (хозяин) | кролик |
| Клональность | поликлональное |
| Рекомбинантное | нет |
| Готовое к использованию | нет |
| Концентрация | 0.5 мг/мл |
| Конъюгат | По запросу: HRP, biotin, PerCP, PE, Cy3, FITC, Cy7, Cy5.5, PE-Cy5, PE-Cy7, PerCp-Cy5.5, APC, Cy5, PE-Cy3, PE-Cy5.5, APC-Cy7, Biotin-APC, FITC-Biotin, TRITC, APC-Cy5, AF488, AF594, AF405, AF555, AF700, AF647, AF750 |
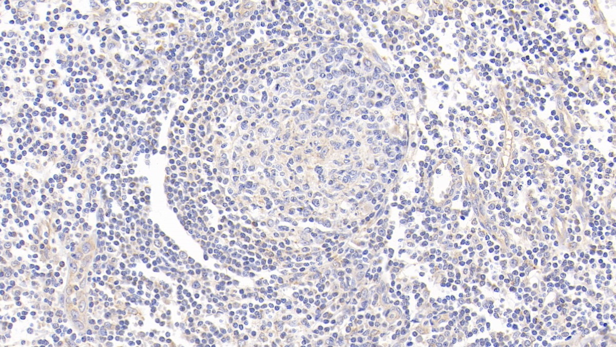
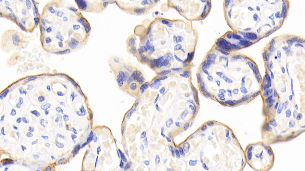
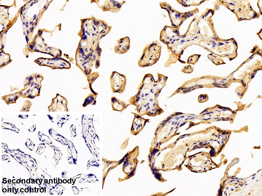
| Валидировано для | IHC WB Иммуногистохимия; Вестерн-блоттинг |
| Рекомендуемые разведения | WB: 0.01-2 мкг/мл; IHC: 5-20 мкг/мл; IF: 5-20 мкг/мл; Оптимальное разведение определяется конечным потребителем |
| Метод очистки | Антигенспецифическая аффинная хроматография с последующей аффинной хроматографией с белком А |
| Состав буфера | 0.01M PBS, pH7.4, 0.05% Proclin-300, 50% глицерин |
| Условия доставки | термобокс с аккумуляторами холода |
| Условия хранения | Сразу после получения аликвотировать и хранить при -20ºС до 24 месяцев. Для частого использования хранить при +4ºС не более 2 недель. Избегать повторения циклов замерзания/оттаивания |
| Срок хранения | 24 месяца |
| Производитель | Cloud-Clone Corp. |
| Ссылка на страницу товара на сайте производителя | http://www.cloud-clone.com/products/PAB250Hu01.html |
|
Артикул
|
Наименование |
Производитель
|
|---|
|
Артикул
|
Наименование |
Производитель
|
|---|
|
Артикул
|
Наименование |
Производитель
|
|---|
|
Артикул
|
Наименование |
Производитель
|
|---|
|
Артикул
|
Наименование |
Производитель
|
|---|
|
Артикул
|
Наименование |
Производитель
|
|---|
Акции и предложения
Популярные продукты:
Sheep Arfaptin 1(ARFIP1) ELISA kit (E14A1630)
Организм: овца
Chicken Granulin ELISA kit (E12G0258)
Организм: курица
Canine Granulin ELISA kit (E08G0258)
Организм: собака
Guinea Pig Granulin ELISA kit (E05G0258)
Организм: морская свинка
Porcine calpastatin/calpain inhibitor ELISA kit (E07C1397)
Организм: свинья
Bovine Apolipoprotein H ELISA kit (E11A0521)
Организм: корова

