| UNIPROT | P04233 |
| Иммуноген | RPB369Hu01-Recombinant Cluster Of Differentiation 74 (CD74) |
Polyclonal Antibody to Cluster Of Differentiation 74 (CD74) (PAB369Hu01)
Реактивность подтвержденная:
человек
Источник (хозяин):
кролик
Валидировано для:
IHC
Характеристики
Техническое описание
| Русское название | PAB369Hu01 Поликлональное антитело к CD74 (человек) <Cloud-Clone,Китай> |
| Каталожный номер | PAB369Hu01 |
| Название антигена | Major Histocompatibility Complex Class II Invariant Chain (MHCDG) |
| UNIPROT | P04233 |
| Иммуноген | RPB369Hu01-Recombinant Cluster Of Differentiation 74 (CD74) |
| Английские синонимы | CD74, HLA-DG, HLADG, DHLAG, Ia-GAMMA, HLA class II histocompatibility antigen gamma chain, Ia antigen-associated invariant chain, HLA-DR antigens-associated invariant chain |
Реактивность подтвержденная Нужна другая реактивность? |
человек |
| Реактивность предсказываемая | мышь, крыса |
| Источник (хозяин) | кролик |
| Клональность | поликлональное |
| Рекомбинантное | нет |
| Готовое к использованию | нет |
| Концентрация | 0.5 мг/мл |
| Конъюгат | По запросу: HRP, biotin, PerCP, PE, Cy3, FITC, Cy7, Cy5.5, PE-Cy5, PE-Cy7, PerCp-Cy5.5, APC, Cy5, PE-Cy3, PE-Cy5.5, APC-Cy7, Biotin-APC, FITC-Biotin, TRITC, APC-Cy5, AF488, AF594, AF405, AF555, AF700, AF647, AF750 |
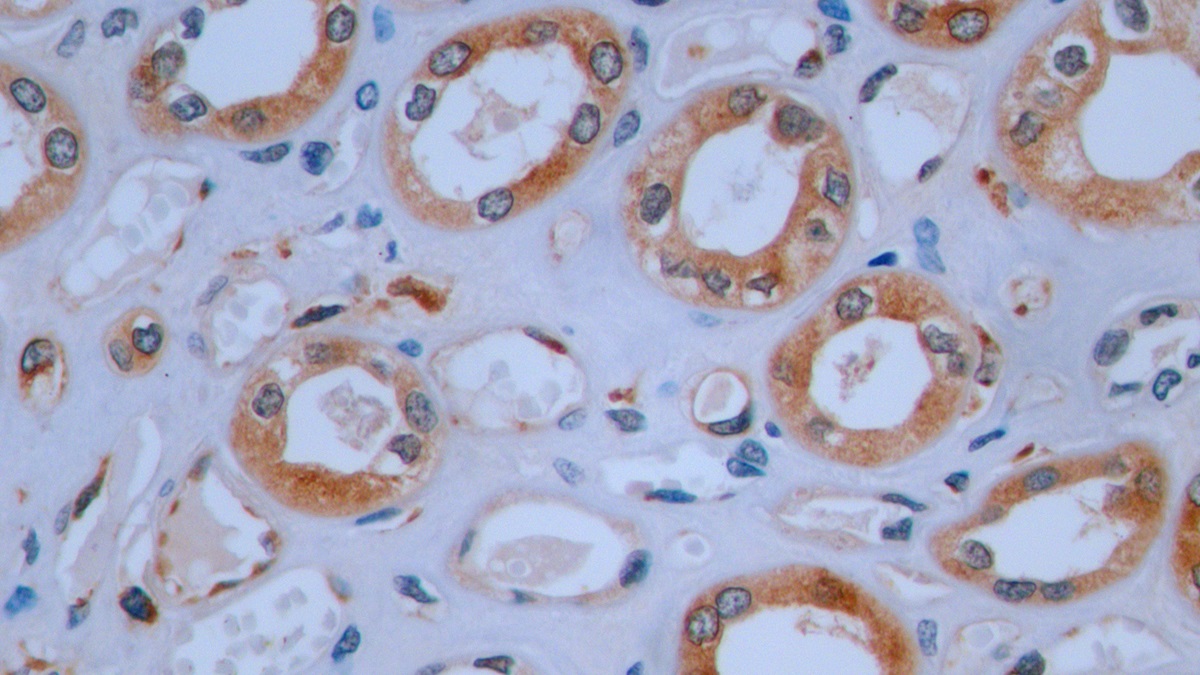
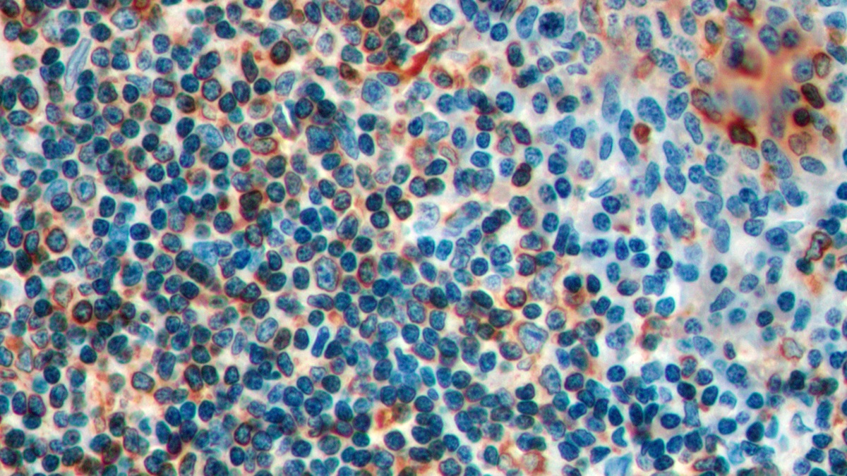
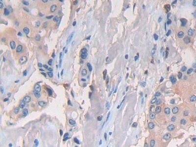
| Валидировано для | IHC Иммуногистохимия |
| Рекомендуемые разведения | WB: 0.5-2 мкг/мл; IHC: 5-20 мкг/мл; ICC: 5-20 мкг/мл; Оптимальное разведение определяется конечным потребителем |
| Метод очистки | Антигенспецифическая аффинная хроматография с последующей аффинной хроматографией с белком А |
| Состав буфера | PBS, pH7.4, 0.02% NaN3, 50% глицерин |
| Условия доставки | термобокс с аккумуляторами холода |
| Условия хранения | Сразу после получения аликвотировать и хранить при -20ºС до 24 месяцев. Для частого использования хранить при +4ºС не более 2 недель. Избегать повторения циклов замерзания/оттаивания |
| Срок хранения | 24 месяца |
| Производитель | Cloud-Clone Corp. |
| Ссылка на страницу товара на сайте производителя | http://www.cloud-clone.com/products/PAB369Hu01.html |
|
Артикул
|
Наименование |
Производитель
|
|---|
|
Артикул
|
Наименование |
Производитель
|
|---|
|
Артикул
|
Наименование |
Производитель
|
|---|
|
Артикул
|
Наименование |
Производитель
|
|---|
|
Артикул
|
Наименование |
Производитель
|
|---|
Акции и предложения
Популярные продукты:
MSK1 Mouse Monoclonal Antibody (BF8174)
Источник (хозяин): мышь
Реактивность подтвержденная: человек, мышь
Валидировано для: WB
Реактивность подтвержденная: человек, мышь
Валидировано для: WB
Mouse Adipose Triglyceride Lipase,ATGL ELISA kit (E03A1943)
Организм: мышь
Human Sarcoplasmic/endoplasmic reticulum calcium ATPase 3(ATP2A3) ELISA kit (E01S0331)
Организм: человек
Диапазон определения: 100-2500 пг/мл
Чувствительность: 1 пг/мл
Диапазон определения: 100-2500 пг/мл
Чувствительность: 1 пг/мл
Sheep Annexin A10(ANXA10) ELISA kit (E14A1542)
Организм: овца
Canine Proprotein Convertase Subtilisin/Kexin Type 9 ELISA kit (E08P0136)
Организм: собака
Диапазон определения: 50-1000 пг/мл
Чувствительность: 1 пг/мл
Диапазон определения: 50-1000 пг/мл
Чувствительность: 1 пг/мл

