| UNIPROT | P04441 |
| Иммуноген | RPB369Mu01-Recombinant Cluster Of Differentiation 74 (CD74) |
Polyclonal Antibody to Cluster Of Differentiation 74 (CD74) (PAB369Mu01)
Реактивность подтвержденная:
мышь
Источник (хозяин):
кролик
Валидировано для:
IHC
WB
Характеристики
Техническое описание
| Русское название | PAB369Mu01 Поликлональное антитело к CD74 (мышь) <Cloud-Clone,Китай> |
| Каталожный номер | PAB369Mu01 |
| Название антигена | Major Histocompatibility Complex Class II Invariant Chain (MHCDG) |
| UNIPROT | P04441 |
| Иммуноген | RPB369Mu01-Recombinant Cluster Of Differentiation 74 (CD74) |
| Английские синонимы | CD74, HLA-DG, HLADG, DHLAG, Ia-GAMMA, HLA class II histocompatibility antigen gamma chain, Ia antigen-associated invariant chain, HLA-DR antigens-associated invariant chain |
Реактивность подтвержденная Нужна другая реактивность? |
мышь |
| Реактивность предсказываемая | крыса |
| Источник (хозяин) | кролик |
| Клональность | поликлональное |
| Рекомбинантное | нет |
| Готовое к использованию | нет |
| Концентрация | 0.5 мг/мл |
| Конъюгат | По запросу: HRP, biotin, PerCP, PE, Cy3, FITC, Cy7, Cy5.5, PE-Cy5, PE-Cy7, PerCp-Cy5.5, APC, Cy5, PE-Cy3, PE-Cy5.5, APC-Cy7, Biotin-APC, FITC-Biotin, TRITC, APC-Cy5, AF488, AF594, AF405, AF555, AF700, AF647, AF750 |
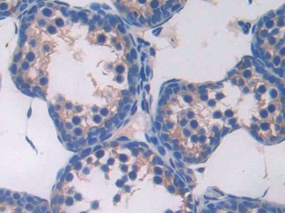
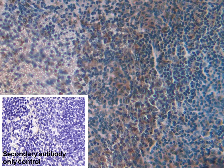
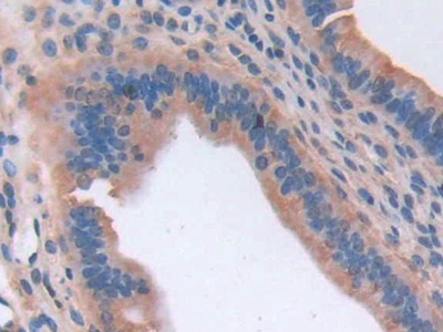
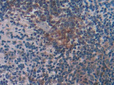
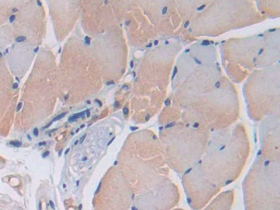
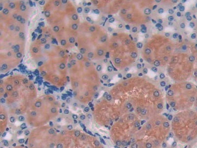
| Валидировано для | IHC WB Иммуногистохимия; Вестерн-блоттинг |
| Рекомендуемые разведения | WB: 0.01-2 мкг/мл; IHC: 5-30 мкг/мл; ICC: 5-30 мкг/мл; Оптимальное разведение определяется конечным потребителем |
| Метод очистки | Антигенспецифическая аффинная хроматография с последующей аффинной хроматографией с белком А |
| Состав буфера | 0.01M PBS, pH7.4, 0.05% Proclin-300, 50% глицерин |
| Условия доставки | термобокс с аккумуляторами холода |
| Условия хранения | Сразу после получения аликвотировать и хранить при -20ºС до 24 месяцев. Для частого использования хранить при +4ºС не более 2 недель. Избегать повторения циклов замерзания/оттаивания |
| Срок хранения | 24 месяца |
| Производитель | Cloud-Clone Corp. |
| Ссылка на страницу товара на сайте производителя | http://www.cloud-clone.com/products/PAB369Mu01.html |
|
Артикул
|
Наименование |
Производитель
|
|---|
|
Артикул
|
Наименование |
Производитель
|
|---|
|
Артикул
|
Наименование |
Производитель
|
|---|
|
Артикул
|
Наименование |
Производитель
|
|---|
|
Артикул
|
Наименование |
Производитель
|
|---|
Акции и предложения
Популярные продукты:
PGP9.5 Mouse Monoclonal Antibody (BF8987)
Источник (хозяин): мышь
Реактивность подтвержденная: человек, крыса
Валидировано для: WB
Реактивность подтвержденная: человек, крыса
Валидировано для: WB
ELISA Kit for Collagen Type IV Alpha 2 (COL4a2) (SEC144Hu)
Организм: человек
Диапазон определения: 1.56-100 нг/мл
Чувствительность: 0.057 нг/мл
Диапазон определения: 1.56-100 нг/мл
Чувствительность: 0.057 нг/мл
Guinea Pig Core histone macro H2A.1(H2AFY) ELISA kit (E05C2300)
Организм: морская свинка
Sheep Adipose Triglyceride Lipase,ATGL ELISA kit (E14A1943)
Организм: овца
Rabbit Rap guanine nucleotide exchange factor 3 ELISA kit (E04R0635)
Организм: кролик

