| UNIPROT | P05541 |
| Иммуноген | RPQ127Ra01-Recombinant Cluster Of Differentiation 8b (CD8b) |
Polyclonal Antibody to Cluster Of Differentiation 8b (CD8b) (PAQ127Ra01)
Реактивность подтвержденная:
крыса
Источник (хозяин):
кролик
Валидировано для:
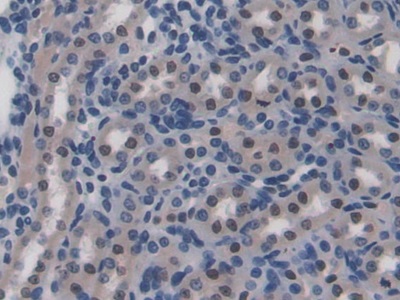
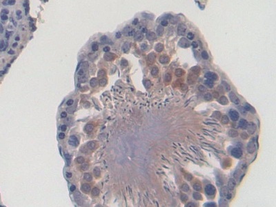
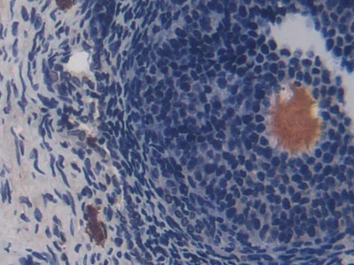
IHC
Характеристики
Техническое описание
| Русское название | PAQ127Ra01 Поликлональное антитело к CD8b (крыса) <Cloud-Clone,Китай> |
| Каталожный номер | PAQ127Ra01 |
| Название антигена | Cluster Of Differentiation 8b (CD8b) |
| UNIPROT | P05541 |
| Иммуноген | RPQ127Ra01-Recombinant Cluster Of Differentiation 8b (CD8b) |
| Английские синонимы | CD8B1, CD-8B, CD 8B, CD8 Antigen,Beta Polypeptide 1, T-cell surface glycoprotein CD8 beta chain |
| Русские синонимы | Кластер дифференцировки 8 бета |
Реактивность подтвержденная Нужна другая реактивность? |
крыса |
| Источник (хозяин) | кролик |
| Клональность | поликлональное |
| Рекомбинантное | нет |
| Готовое к использованию | нет |
| Концентрация | 500 мкг/мл |
| Конъюгат | По запросу: HRP, biotin, PerCP, PE, Cy3, FITC, Cy7, Cy5.5, PE-Cy5, PE-Cy7, PerCp-Cy5.5, APC, Cy5, PE-Cy3, PE-Cy5.5, APC-Cy7, Biotin-APC, FITC-Biotin, TRITC, APC-Cy5, AF488, AF594, AF405, AF555, AF700, AF647, AF750 |
| Валидировано для | IHC Иммуногистохимия |
| Рекомендуемые разведения | WB: 0.2-2 мкг/мл; 1:250-2500; IHC: 5-20 мкг/мл; 1:25-100; ICC: 5-20 мкг/мл; 1:25-100; Оптимальное разведение определяется конечным потребителем |
| Метод очистки | Антигенспецифическая аффинная хроматография с последующей аффинной хроматографией с белком А |
| Состав буфера | 0.01M PBS, pH7.4, 0.05% Proclin-300, 50% глицерин |
| Условия доставки | термобокс с аккумуляторами холода |
| Условия хранения | Сразу после получения аликвотировать и хранить при -20ºС до 24 месяцев. Для частого использования хранить при +4ºС не более 2 недель. Избегать повторения циклов замерзания/оттаивания |
| Срок хранения | 24 месяца |
| Производитель | Cloud-Clone Corp. |
| Ссылка на страницу товара на сайте производителя | http://www.cloud-clone.com/products/PAQ127Ra01.html |
|
Артикул
|
Наименование |
Производитель
|
|---|
|
Артикул
|
Наименование |
Производитель
|
|---|
|
Артикул
|
Наименование |
Производитель
|
|---|
Акции и предложения
Популярные продукты:
Chicken Acyloxyacyl hydrolase(AOAH) ELISA kit (E12A1552)
Организм: курица
Human Caskin 1(CASKIN1) ELISA kit (E01C1389)
Организм: человек
Mouse Guanylate kinase(GUK1) ELISA kit (E03G0445)
Организм: мышь
Rabbit Fatty Acid Transport Protein 4 ELISA kit (E04F0402)
Организм: кролик
Canine Aquaporin 4 ELISA kit (E08A0467)
Организм: собака
Диапазон определения: 2.5-50 нг/мл
Чувствительность: 0.1 нг/мл
Диапазон определения: 2.5-50 нг/мл
Чувствительность: 0.1 нг/мл

